ARG20524
anti-eNOS phospho (Ser1177) antibody
anti-eNOS phospho (Ser1177) antibody for ELISA,Western blot and Human,Mouse,Rat
Cancer antibody; Cell Biology and Cellular Response antibody; Metabolism antibody; Neuroscience antibody
Overview
| Product Description | Rabbit Polyclonal antibody recognizes eNOS phospho (Ser1177) |
|---|---|
| Tested Reactivity | Hu, Ms, Rat |
| Tested Application | ELISA, WB |
| Specificity | The antibody detects a ~140 kDa band corresponding to eNOS on SDS-PAGE immunoblots of human umbilical vein endothelial cells grown normally or treated with calyculin A. This reactivity is not observed after lambda phosphatase treatment. |
| Host | Rabbit |
| Clonality | Polyclonal |
| Isotype | IgG |
| Target Name | eNOS |
| Antigen Species | Human |
| Immunogen | Synthetic peptide (coupled to carrier protein) around Ser1177 of Human eNOS. This sequence is conserved in rat and mouse eNOS. |
| Conjugation | Un-conjugated |
| Alternate Names | Constitutive NOS; NOS type III; Nitric oxide synthase, endothelial; Endothelial NOS; eNOS; EC-NOS; NOSIII; cNOS; EC 1.14.13.39; ECNOS |
Application Instructions
| Application Suggestion |
|
||||||
|---|---|---|---|---|---|---|---|
| Application Note | WB: Antibody is suggested to be diluted in 5% skimmed milk/Tris buffer with 0.04% Tween20 and incubated for 1 hour at room temperature. * The dilutions indicate recommended starting dilutions and the optimal dilutions or concentrations should be determined by the scientist. |
Properties
| Form | Liquid |
|---|---|
| Purification | Affinity purification with immunogen. |
| Buffer | PBS, 50% glycerol, 1 mg/ml BSA, and 0.05% Sodium azide |
| Preservative | 0.05% Sodium azide |
| Stabilizer | 1 mg/ml BSA |
| Storage Instruction | For continuous use, store undiluted antibody at 2-8°C for up to a week. For long-term storage, aliquot and store at -20°C. Storage in frost free freezers is not recommended. Avoid repeated freeze/thaw cycles. Suggest spin the vial prior to opening. The antibody solution should be gently mixed before use. |
| Note | For laboratory research only, not for drug, diagnostic or other use. |
Bioinformation
| Database Links | |
|---|---|
| Gene Symbol | NOS3 |
| Gene Full Name | nitric oxide synthase 3 (endothelial cell) |
| Background | Nitric oxide (NO) has a broad range of biological activities and is implicated in signaling pathways in phylogenetically diverse species. Nitric oxide synthases (NOS), the enzymes responsible for synthesis of NO, are homodimers whose monomers are themselves two fused enzymes: a cytochrome reductase and a cytochrome that requires three cosubstrates (L-arginine, NADPH, and oxygen) and five cofactors or prosthetic groups (FAD, FMN, calmodulin, tetrahydrobiopterin, and heme). Several distinct NOS isoforms are produced from three distinct genes, inducible NOS (iNOS, NOS-II), neuronal NOS (bNOS, NOS-I), and endothelial NOS (eNOS, ecNOS, NOS-III). Regulation of eNOS activity occurs through phosphorylation at multiple sites. Phosphorylation of Ser-633 (mouse Ser-632) in the FMN binding domain increases eNOS activity and may be important for the maintenance of NO synthesis after initial activation by Ca2+ flux and Ser-1177 phosphorylation. Tyr-657 is phosphorylated by PYK2 in response to fluid shear stress and this phosphorylation leads to attenuation of enzyme activity. |
| Function | Produces nitric oxide (NO) which is implicated in vascular smooth muscle relaxation through a cGMP-mediated signal transduction pathway. NO mediates vascular endothelial growth factor (VEGF)-induced angiogenesis in coronary vessels and promotes blood clotting through the activation of platelets. Isoform eNOS13C: Lacks eNOS activity, dominant-negative form that may down-regulate eNOS activity by forming heterodimers with isoform 1. [UniProt] |
| Highlight | Related Antibody Duos and Panels: ARG30247 Phospho eNOS Antibody Duo (Total, pY1177) Related products: eNOS antibodies; eNOS ELISA Kits; eNOS Duos / Panels; Anti-Rabbit IgG secondary antibodies; |
| Research Area | Cancer antibody; Cell Biology and Cellular Response antibody; Metabolism antibody; Neuroscience antibody |
| Calculated MW | 133 kDa |
| PTM | Phosphorylation by AMPK at Ser-1177 in the presence of Ca(2+)-calmodulin (CaM) activates activity. In absence of Ca(2+)-calmodulin, AMPK also phosphorylates Thr-495, resulting in inhibition of activity (By similarity). Phosphorylation of Ser-114 by CDK5 reduces activity. |
Images (2) Click the Picture to Zoom In
-
ARG20524 anti-eNOS phospho (Ser1177) antibody WB image
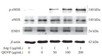
Western blot: Human endothelial cell stained with ARG20524 anti-eNOS phospho (Ser1177) antibody and ARG40666 anti-mTOR phospho (Ser2448) antibody .
From Qiang Wu et al. Food Science and Human Wellness. (2022), doi: 10.1016-j-fshw-2022-06-023, Fig. 5. F.
-
ARG20524 anti-eNOS phospho (Ser1177) antibody WB image
Western blot: 1) and 2) calyculin A (100 nM) treated Human umbilical vein endothelial cells for 30 min, 2) then the blots were treated with lambda phosphatase. The blots were stained with ARG20524 anti-eNOS phospho (Ser1177) antibody.
Specific References

