ARG42835
anti-hnRNP D / AUF1 antibody
anti-hnRNP D / AUF1 antibody for Flow cytometry,ICC/IF,IHC-Formalin-fixed paraffin-embedded sections,Western blot and Human,Mouse,Rat
Overview
| Product Description | Rabbit Polyclonal antibody recognizes hnRNP D / AUF1 |
|---|---|
| Tested Reactivity | Hu, Ms, Rat |
| Tested Application | FACS, ICC/IF, IHC-P, WB |
| Host | Rabbit |
| Clonality | Polyclonal |
| Isotype | IgG |
| Target Name | hnRNP D / AUF1 |
| Antigen Species | Human |
| Immunogen | Recombinant protein corresponding to E88-N246 of Human hnRNP D / AUF1. |
| Conjugation | Un-conjugated |
| Alternate Names | HNRPD; hnRNP D0; AU-rich element RNA-binding protein 1; AUF1A; hnRNPD0; Heterogeneous nuclear ribonucleoprotein D0; AUF1; P37 |
Application Instructions
| Application Suggestion |
|
||||||||||
|---|---|---|---|---|---|---|---|---|---|---|---|
| Application Note | IHC-P: Antigen Retrieval: Heat mediation was performed in EDTA buffer (pH 8.0). * The dilutions indicate recommended starting dilutions and the optimal dilutions or concentrations should be determined by the scientist. |
||||||||||
| Observed Size | 38, 46 kDa |
Properties
| Form | Liquid |
|---|---|
| Purification | Affinity purification with immunogen. |
| Buffer | 0.2% Na2HPO4, 0.9% NaCl, 0.05% Sodium azide and 4% Trehalose. |
| Preservative | 0.05% Sodium azide |
| Stabilizer | 4% Trehalose |
| Concentration | 0.5 mg/ml |
| Storage Instruction | For continuous use, store undiluted antibody at 2-8°C for up to a week. For long-term storage, aliquot and store at -20°C or below. Storage in frost free freezers is not recommended. Avoid repeated freeze/thaw cycles. Suggest spin the vial prior to opening. The antibody solution should be gently mixed before use. |
| Note | For laboratory research only, not for drug, diagnostic or other use. |
Bioinformation
| Database Links | |
|---|---|
| Gene Symbol | HNRNPD |
| Gene Full Name | heterogeneous nuclear ribonucleoprotein D (AU-rich element RNA binding protein 1, 37kDa) |
| Background | This gene belongs to the subfamily of ubiquitously expressed heterogeneous nuclear ribonucleoproteins (hnRNPs). The hnRNPs are nucleic acid binding proteins and they complex with heterogeneous nuclear RNA (hnRNA). These proteins are associated with pre-mRNAs in the nucleus and appear to influence pre-mRNA processing and other aspects of mRNA metabolism and transport. While all of the hnRNPs are present in the nucleus, some seem to shuttle between the nucleus and the cytoplasm. The hnRNP proteins have distinct nucleic acid binding properties. The protein encoded by this gene has two repeats of quasi-RRM domains that bind to RNAs. It localizes to both the nucleus and the cytoplasm. This protein is implicated in the regulation of mRNA stability. Alternative splicing of this gene results in four transcript variants. [provided by RefSeq, Jul 2008] |
| Function | Binds with high affinity to RNA molecules that contain AU-rich elements (AREs) found within the 3'-UTR of many proto-oncogenes and cytokine mRNAs. Also binds to double- and single-stranded DNA sequences in a specific manner and functions a transcription factor. Each of the RNA-binding domains specifically can bind solely to a single-stranded non-monotonous 5'-UUAG-3' sequence and also weaker to the single-stranded 5'-TTAGGG-3' telomeric DNA repeat. Binds RNA oligonucleotides with 5'-UUAGGG-3' repeats more tightly than the telomeric single-stranded DNA 5'-TTAGGG-3' repeats. Binding of RRM1 to DNA inhibits the formation of DNA quadruplex structure which may play a role in telomere elongation. May be involved in translationally coupled mRNA turnover. Implicated with other RNA-binding proteins in the cytoplasmic deadenylation/translational and decay interplay of the FOS mRNA mediated by the major coding-region determinant of instability (mCRD) domain. May play a role in the regulation of the rhythmic expression of circadian clock core genes. Directly binds to the 3'UTR of CRY1 mRNA and induces CRY1 rhythmic translation. May also be involved in the regulation of PER2 translation. [UniProt] |
| Cellular Localization | Nucleus. Cytoplasm. Note=Localized in cytoplasmic mRNP granules containing untranslated mRNAs. Component of ribonucleosomes. Cytoplasmic localization oscillates diurnally. [UniProt] |
| Calculated MW | 38 kDa |
| PTM | Arg-345 is dimethylated, probably to asymmetric dimethylarginine. Methylated by PRMT1, in an insulin-dependent manner. The PRMT1-mediated methylation regulates tyrosine phosphorylation (By similarity). [UniProt] |
Images (10) Click the Picture to Zoom In
-
ARG42835 anti-hnRNP D / AUF1 antibody ICC/IF image
Immunofluorescence: A431 cells were blocked with 10% goat serum and then stained with ARG42835 anti-hnRNP D / AUF1 antibody (green) at 2 µg/ml dilution, overnight at 4°C. DAPI (blue) for nuclear staining.
-
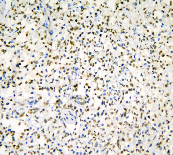
ARG42835 anti-hnRNP D / AUF1 antibody IHC-P image
Immunohistochemistry: Paraffin-embedded B lymphocytoma tissue. Antigen Retrieval: Heat mediation was performed in EDTA buffer (pH 8.0). The tissue section was blocked with 10% goat serum. The tissue section was then stained with ARG42835 anti-hnRNP D / AUF1 antibody at 1 µg/ml dilution, overnight at 4°C.
-
ARG42835 anti-hnRNP D / AUF1 antibody WB image
Western blot: 50 µg of sample under reducing conditions. Human placenta, HEK293, HL-60, K562 and A431 whole cell lysates stained with ARG42835 anti-hnRNP D / AUF1 antibody at 0.25 µg/ml dilution, overnight at 4°C.
-
ARG42835 anti-hnRNP D / AUF1 antibody FACS image
Flow Cytometry: A431 cells were blocked with 10% normal goat serum and then stained with ARG42835 anti-hnRNP D / AUF1 antibody (blue) at 1 µg/10^6 cells for 30 min at 20°C, followed by incubation with DyLight®488 labelled secondary antibody. Isotype control antibody (green) was Rabbit IgG (1 µg/10^6 cells) used under the same conditions. Unlabelled sample (red) was also used as a control.
-
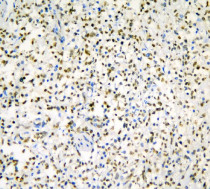
ARG42835 anti-hnRNP D / AUF1 antibody IHC-P image
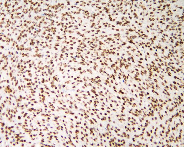
Immunohistochemistry: Paraffin-embedded Human lung cancer tissue. Antigen Retrieval: Heat mediation was performed in EDTA buffer (pH 8.0). The tissue section was blocked with 10% goat serum. The tissue section was then stained with ARG42835 anti-hnRNP D / AUF1 antibody at 1 µg/ml dilution, overnight at 4°C.
-
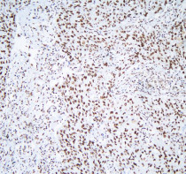
ARG42835 anti-hnRNP D / AUF1 antibody IHC-P image
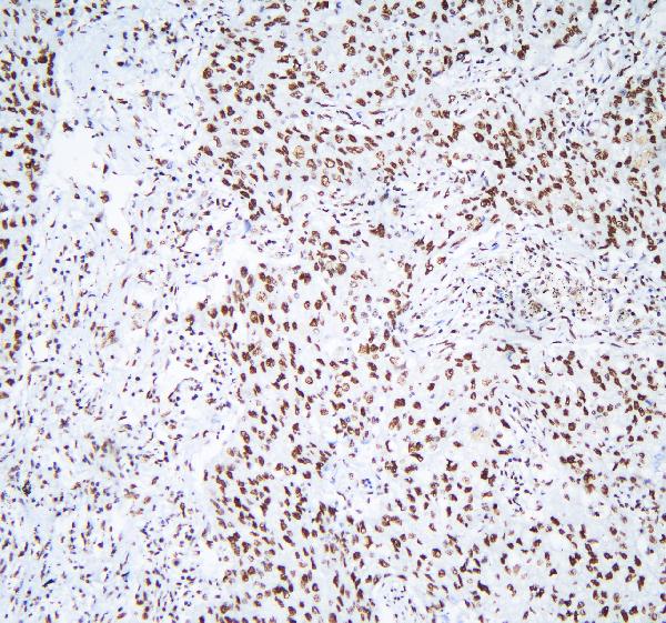
Immunohistochemistry: Paraffin-embedded Human renal cancer tissue. Antigen Retrieval: Heat mediation was performed in EDTA buffer (pH 8.0). The tissue section was blocked with 10% goat serum. The tissue section was then stained with ARG42835 anti-hnRNP D / AUF1 antibody at 1 µg/ml dilution, overnight at 4°C.
-
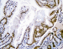
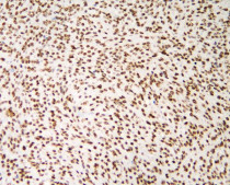
ARG42835 anti-hnRNP D / AUF1 antibody IHC-P image
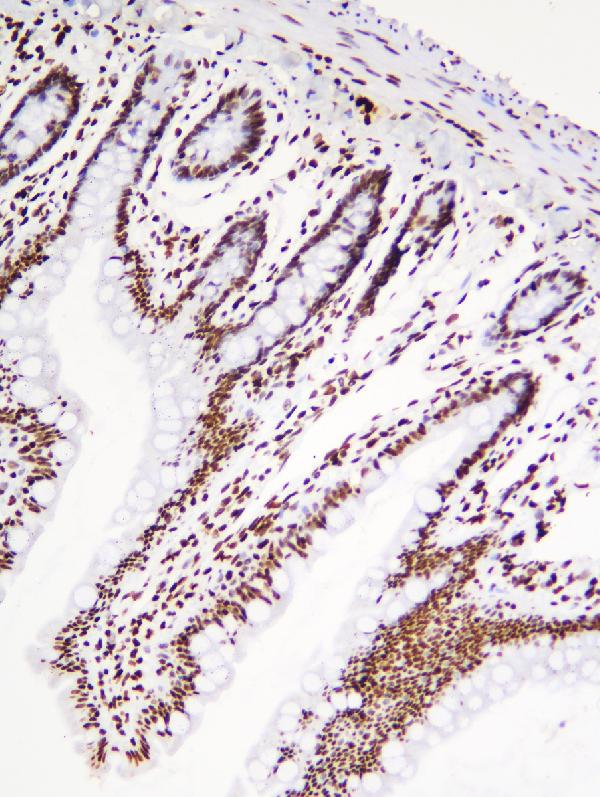
Immunohistochemistry: Paraffin-embedded Rat intestine tissue. Antigen Retrieval: Heat mediation was performed in EDTA buffer (pH 8.0). The tissue section was blocked with 10% goat serum. The tissue section was then stained with ARG42835 anti-hnRNP D / AUF1 antibody at 1 µg/ml dilution, overnight at 4°C.
-
ARG42835 anti-hnRNP D / AUF1 antibody IHC-P image
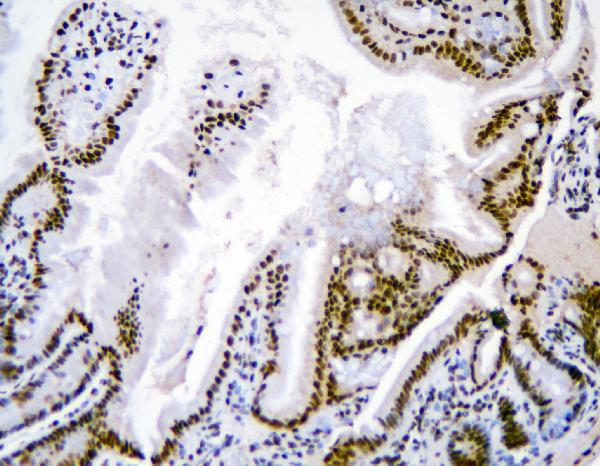
Immunohistochemistry: Paraffin-embedded Human intestine cancer tissue. Antigen Retrieval: Heat mediation was performed in EDTA buffer (pH 8.0). The tissue section was blocked with 10% goat serum. The tissue section was then stained with ARG42835 anti-hnRNP D / AUF1 antibody (green) at 2 µg/ml dilution, overnight at 4°C. DAPI (blue) for nuclear staining.
-
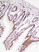
ARG42835 anti-hnRNP D / AUF1 antibody IHC-P image
Immunohistochemistry: Paraffin-embedded Mouse intestine tissue. Antigen Retrieval: Heat mediation was performed in EDTA buffer (pH 8.0). The tissue section was blocked with 10% goat serum. The tissue section was then stained with ARG42835 anti-hnRNP D / AUF1 antibody at 1 µg/ml dilution, overnight at 4°C.
-
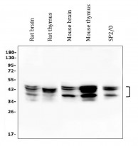
ARG42835 anti-hnRNP D / AUF1 antibody WB image
Western blot: 50 µg of sample under reducing conditions. Rat brain, Rat thymus, Mouse brain, Mouse thymus and SP2/0 whole cell lysates stained with ARG42835 anti-hnRNP D / AUF1 antibody at 0.25 µg/ml dilution, overnight at 4°C.
