ARG58939
anti-hnRNP F antibody
anti-hnRNP F antibody for ICC/IF,IHC-Formalin-fixed paraffin-embedded sections,Western blot and Human,Mouse,Rat
Overview
| Product Description | Rabbit Polyclonal antibody recognizes hnRNP F |
|---|---|
| Tested Reactivity | Hu, Ms, Rat |
| Predict Reactivity | Cow, Dog, Gpig, Hrs, Rb |
| Tested Application | ICC/IF, IHC-P, WB |
| Host | Rabbit |
| Clonality | Polyclonal |
| Isotype | IgG |
| Target Name | hnRNP F |
| Antigen Species | Human |
| Immunogen | Synthetic peptide around the C-terminal region of Human hnRNP F. (within the following region: LNSTTGASNGAYSSQVMQGMGVSAAQATYSGLESQSVSGCYGAGYSGQNS) |
| Conjugation | Un-conjugated |
| Alternate Names | HNRPF; Nucleolin-like protein mcs94-1; mcs94-1; hnRNP F; Heterogeneous nuclear ribonucleoprotein F; OK/SW-cl.23 |
Application Instructions
| Predict Reactivity Note | Predicted Homology Based On Immunogen Sequence: Cow: 91%; Dog: 92%; Guinea pig: 100%; Horse: 92%; Rabbit: 100% | ||||||||
|---|---|---|---|---|---|---|---|---|---|
| Application Suggestion |
|
||||||||
| Application Note | * The dilutions indicate recommended starting dilutions and the optimal dilutions or concentrations should be determined by the scientist. | ||||||||
| Positive Control | HepG2 |
Properties
| Form | Liquid |
|---|---|
| Purification | Purification with Protein A. |
| Buffer | PBS, 0.09% (w/v) Sodium azide and 2% Sucrose. |
| Preservative | 0.09% (w/v) Sodium azide |
| Stabilizer | 2% Sucrose |
| Concentration | Batch dependent: 0.5 - 1 mg/ml |
| Storage Instruction | For continuous use, store undiluted antibody at 2-8°C for up to a week. For long-term storage, aliquot and store at -20°C or below. Storage in frost free freezers is not recommended. Avoid repeated freeze/thaw cycles. Suggest spin the vial prior to opening. The antibody solution should be gently mixed before use. |
| Note | For laboratory research only, not for drug, diagnostic or other use. |
Bioinformation
| Database Links | |
|---|---|
| Gene Symbol | HNRNPF |
| Gene Full Name | heterogeneous nuclear ribonucleoprotein F |
| Background | This gene belongs to the subfamily of ubiquitously expressed heterogeneous nuclear ribonucleoproteins (hnRNPs). The hnRNPs are RNA binding proteins that complex with heterogeneous nuclear RNA (hnRNA). These proteins are associated with pre-mRNAs in the nucleus and regulate alternative splicing, polyadenylation, and other aspects of mRNA metabolism and transport. While all of the hnRNPs are present in the nucleus, some seem to shuttle between the nucleus and the cytoplasm. The hnRNP proteins have distinct nucleic acid binding properties. The protein encoded by this gene has three repeats of quasi-RRM domains that bind to RNAs which have guanosine-rich sequences. This protein is very similar to the family member hnRPH. Multiple alternatively spliced variants, encoding the same protein, have been identified. [provided by RefSeq, Jul 2008] |
| Function | Component of the heterogeneous nuclear ribonucleoprotein (hnRNP) complexes which provide the substrate for the processing events that pre-mRNAs undergo before becoming functional, translatable mRNAs in the cytoplasm. Plays a role in the regulation of alternative splicing events. Binds G-rich sequences in pre-mRNAs and keeps target RNA in an unfolded state. [UniProt] |
| Cellular Localization | Nucleus, nucleoplasm. [UniProt] |
| Calculated MW | 46 kDa |
| PTM | Sumoylated. [UniProt] |
Images (3) Click the Picture to Zoom In
-
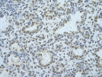
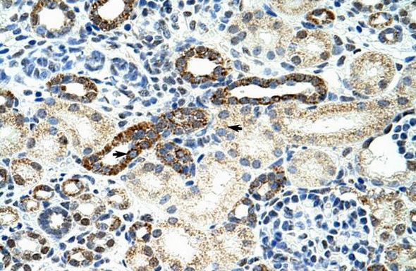
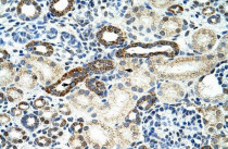
ARG58939 anti-hnRNP F antibody IHC-P image
Immunohistochemistry: Paraffin-embedded Human kidney (Epithelial cells of renal tubule) stained with ARG58939 anti-hnRNP F antibody at 4 - 8 µg/ml dilution.
-
ARG58939 anti-hnRNP F antibody WB image
Western blot: HepG2 cell lysate stained with ARG58939 anti-hnRNP F antibody at 1.25 µg/ml dilution.
-
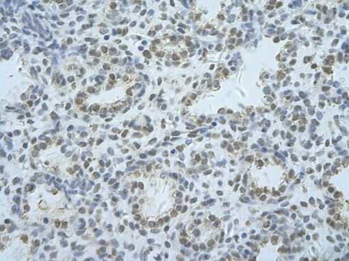
ARG58939 anti-hnRNP F antibody IHC-P image
Immunohistochemistry: Paraffin-embedded Human lung (alveolar cell; Epithelial cells of renal tubule) stained with ARG58939 anti-hnRNP F antibody at 4 - 8 µg/ml dilution.
