ARG58799
anti-hnRNP L antibody
anti-hnRNP L antibody for ICC/IF,IHC-Formalin-fixed paraffin-embedded sections,Western blot and Human,Mouse,Rat
Overview
| Product Description | Rabbit Polyclonal antibody recognizes hnRNP L |
|---|---|
| Tested Reactivity | Hu, Ms, Rat |
| Tested Application | ICC/IF, IHC-P, WB |
| Host | Rabbit |
| Clonality | Polyclonal |
| Isotype | IgG |
| Target Name | hnRNP L |
| Antigen Species | Human |
| Immunogen | Synthetic peptide corresponding to aa. 546-571 of Human hnRNP L (LLEWESKSDALETLGFLNHYQMKNPN). |
| Conjugation | Un-conjugated |
| Alternate Names | hnRNP L; HNRPL; hnRNP-L; P/OKcl.14; Heterogeneous nuclear ribonucleoprotein L |
Application Instructions
| Application Suggestion |
|
||||||||
|---|---|---|---|---|---|---|---|---|---|
| Application Note | IHC-P: Antigen Retrieval: Heat mediation was performed in Citrate buffer (pH 6.0) for 20 min. * The dilutions indicate recommended starting dilutions and the optimal dilutions or concentrations should be determined by the scientist. |
Properties
| Form | Liquid |
|---|---|
| Purification | Affinity purification with immunogen. |
| Buffer | 0.9% NaCl, 0.2% Na2HPO4, 0.05% Sodium azide and 5% BSA. |
| Preservative | 0.05% Sodium azide |
| Stabilizer | 5% BSA |
| Concentration | 0.5 mg/ml |
| Storage Instruction | For continuous use, store undiluted antibody at 2-8°C for up to a week. For long-term storage, aliquot and store at -20°C or below. Storage in frost free freezers is not recommended. Avoid repeated freeze/thaw cycles. Suggest spin the vial prior to opening. The antibody solution should be gently mixed before use. |
| Note | For laboratory research only, not for drug, diagnostic or other use. |
Bioinformation
| Database Links |
Swiss-port # P14866 Human Heterogeneous nuclear ribonucleoprotein L Swiss-port # Q8R081 Mouse Heterogeneous nuclear ribonucleoprotein L |
|---|---|
| Gene Symbol | HNRNPL |
| Gene Full Name | heterogeneous nuclear ribonucleoprotein L |
| Background | Heterogeneous nuclear RNAs (hnRNAs) which include mRNA precursors and mature mRNAs are associated with specific proteins to form heterogenous ribonucleoprotein (hnRNP) complexes. Heterogeneous nuclear ribonucleoprotein L is among the proteins that are stably associated with hnRNP complexes and along with other hnRNP proteins is likely to play a major role in the formation, packaging, processing, and function of mRNA. Heterogeneous nuclear ribonucleoprotein L is present in the nucleoplasm as part of the HNRP complex. HNRP proteins have also been identified outside of the nucleoplasm. Exchange of hnRNP for mRNA-binding proteins accompanies transport of mRNA from the nucleus to the cytoplasm. Since HNRP proteins have been shown to shuttle between the nucleus and the cytoplasm, it is possible that they also have cytoplasmic functions. Two transcript variants encoding different isoforms have been found for this gene. [provided by RefSeq, Jul 2008] |
| Function | Splicing factor binding to exonic or intronic sites and acting as either an activator or repressor of exon inclusion. Exhibits a binding preference for CA-rich elements. Component of the heterogeneous nuclear ribonucleoprotein (hnRNP) complexes and associated with most nascent transcripts. Associates, together with APEX1, to the negative calcium responsive element (nCaRE) B2 of the APEX2 promoter. [UniProt] |
| Cellular Localization | Nucleus, nucleoplasm. Cytoplasm. Localized in cytoplasmic mRNP granules containing untranslated mRNAs. These granules are not identical with P bodies or stress granules. [UniProt] |
| Calculated MW | 64 kDa |
| PTM | Several isoelectric forms of the L protein are probably the results of post-translational modifications. Phosphorylation at Ser-544 by CaMK4 enhances interaction with a CaMK4-responsive RNA element (CaRRE1), and prevents inclusion of the stress axis-regulated exon (STREX) of the KCNMA1 potassium channel transcripts upon membrane depolarization. [UniProt] |
Images (4) Click the Picture to Zoom In
-
ARG58799 anti-hnRNP L antibody ICC/IF image
Immunofluorescence: U2OS cells were blocked with 10% goat serum and then stained with ARG58799 anti-hnRNP L antibody (green) at 2 µg/ml dilution, overnight at 4°C.
-
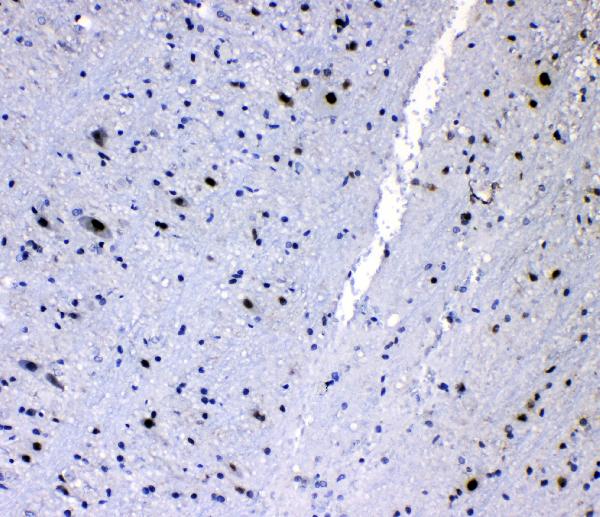
ARG58799 anti-hnRNP L antibody IHC-P image
Immunohistochemistry: Paraffin-embedded Rat brain tissue. Antigen Retrieval: Heat mediation was performed in Citrate buffer (pH 6.0) for 20 min. The tissue section was blocked with 10% goat serum. The tissue section was then stained with ARG58799 anti-hnRNP L antibody at 1 µg/ml dilution, overnight at 4°C.
-
ARG58799 anti-hnRNP L antibody WB image
Western blot: PANC and Jurkat cell lysates stained with ARG58799 anti-hnRNP L antibody at 0.5 µg/ml dilution.
-
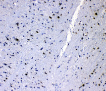
ARG58799 anti-hnRNP L antibody IHC-P image
Immunohistochemistry: Paraffin-embedded Mouse brain tissue. Antigen Retrieval: Heat mediation was performed in Citrate buffer (pH 6.0) for 20 min. The tissue section was blocked with 10% goat serum. The tissue section was then stained with ARG58799 anti-hnRNP L antibody at 1 µg/ml dilution, overnight at 4°C.
