ARG40666
anti-mTOR phospho (Ser2448) antibody
anti-mTOR phospho (Ser2448) antibody for IHC-Formalin-fixed paraffin-embedded sections,Western blot and Human,Mouse,Pig
Overview
| Product Description | Rabbit Polyclonal antibody recognizes mTOR phospho (Ser2448) |
|---|---|
| Tested Reactivity | Hu, Ms, Pig |
| Tested Application | IHC-P, WB |
| Host | Rabbit |
| Clonality | Polyclonal |
| Isotype | IgG |
| Target Name | mTOR |
| Antigen Species | Human |
| Immunogen | Phosphospecific peptide around Ser2448 of Human mTOR. |
| Conjugation | Un-conjugated |
| Alternate Names | Mammalian target of rapamycin; RAFT1; Mechanistic target of rapamycin; Rapamycin target protein 1; FRAP1; FRAP2; Rapamycin and FKBP12 target 1; FK506-binding protein 12-rapamycin complex-associated protein 1; mTOR; RAPT1; FKBP12-rapamycin complex-associated protein; FRAP; Serine/threonine-protein kinase mTOR; EC 2.7.11.1 |
Application Instructions
| Application Suggestion |
|
||||||
|---|---|---|---|---|---|---|---|
| Application Note | * The dilutions indicate recommended starting dilutions and the optimal dilutions or concentrations should be determined by the scientist. |
Properties
| Form | Liquid |
|---|---|
| Purification | Affinity purified. |
| Buffer | PBS (pH 7.4), 150 mM NaCl, 0.02% Sodium azide and 50% Glycerol. |
| Preservative | 0.02% Sodium azide |
| Stabilizer | 50% Glycerol |
| Storage Instruction | For continuous use, store undiluted antibody at 2-8°C for up to a week. For long-term storage, aliquot and store at -20°C. Storage in frost free freezers is not recommended. Avoid repeated freeze/thaw cycles. Suggest spin the vial prior to opening. The antibody solution should be gently mixed before use. |
| Note | For laboratory research only, not for drug, diagnostic or other use. |
Bioinformation
| Database Links |
Swiss-port # P42345 Human Serine/threonine-protein kinase mTOR Swiss-port # Q9JLN9 Mouse Serine/threonine-protein kinase mTOR |
|---|---|
| Gene Symbol | MTOR |
| Gene Full Name | mechanistic target of rapamycin (serine/threonine kinase) |
| Background | The protein encoded by this gene belongs to a family of phosphatidylinositol kinase-related kinases. These kinases mediate cellular responses to stresses such as DNA damage and nutrient deprivation. This protein acts as the target for the cell-cycle arrest and immunosuppressive effects of the FKBP12-rapamycin complex. The ANGPTL7 gene is located in an intron of this gene. [provided by RefSeq, Sep 2008] |
| Function | Serine/threonine protein kinase which is a central regulator of cellular metabolism, growth and survival in response to hormones, growth factors, nutrients, energy and stress signals. MTOR directly or indirectly regulates the phosphorylation of at least 800 proteins. Functions as part of 2 structurally and functionally distinct signaling complexes mTORC1 and mTORC2 (mTOR complex 1 and 2). Activated mTORC1 up-regulates protein synthesis by phosphorylating key regulators of mRNA translation and ribosome synthesis. This includes phosphorylation of EIF4EBP1 and release of its inhibition toward the elongation initiation factor 4E (eiF4E). Moreover, phosphorylates and activates RPS6KB1 and RPS6KB2 that promote protein synthesis by modulating the activity of their downstream targets including ribosomal protein S6, eukaryotic translation initiation factor EIF4B, and the inhibitor of translation initiation PDCD4. Stimulates the pyrimidine biosynthesis pathway, both by acute regulation through RPS6KB1-mediated phosphorylation of the biosynthetic enzyme CAD, and delayed regulation, through transcriptional enhancement of the pentose phosphate pathway which produces 5-phosphoribosyl-1-pyrophosphate (PRPP), an allosteric activator of CAD at a later step in synthesis, this function is dependent on the mTORC1 complex. Regulates ribosome synthesis by activating RNA polymerase III-dependent transcription through phosphorylation and inhibition of MAF1 an RNA polymerase III-repressor. In parallel to protein synthesis, also regulates lipid synthesis through SREBF1/SREBP1 and LPIN1. To maintain energy homeostasis mTORC1 may also regulate mitochondrial biogenesis through regulation of PPARGC1A. mTORC1 also negatively regulates autophagy through phosphorylation of ULK1. Under nutrient sufficiency, phosphorylates ULK1 at 'Ser-758', disrupting the interaction with AMPK and preventing activation of ULK1. Also prevents autophagy through phosphorylation of the autophagy inhibitor DAP. mTORC1 exerts a feedback control on upstream growth factor signaling that includes phosphorylation and activation of GRB10 a INSR-dependent signaling suppressor. Among other potential targets mTORC1 may phosphorylate CLIP1 and regulate microtubules. As part of the mTORC2 complex MTOR may regulate other cellular processes including survival and organization of the cytoskeleton. Plays a critical role in the phosphorylation at 'Ser-473' of AKT1, a pro-survival effector of phosphoinositide 3-kinase, facilitating its activation by PDK1. mTORC2 may regulate the actin cytoskeleton, through phosphorylation of PRKCA, PXN and activation of the Rho-type guanine nucleotide exchange factors RHOA and RAC1A or RAC1B. mTORC2 also regulates the phosphorylation of SGK1 at 'Ser-422'. Regulates osteoclastogensis by adjusting the expression of CEBPB isoforms (By similarity). [UniProt] |
| Cellular Localization | Endoplasmic reticulum membrane; Peripheral membrane protein; Cytoplasmic side. Golgi apparatus membrane; Peripheral membrane protein; Cytoplasmic side. Mitochondrion outer membrane; Peripheral membrane protein; Cytoplasmic side. Lysosome. Cytoplasm. Nucleus, PML body. Microsome membrane. [UniProt] |
| Calculated MW | 289 kDa |
| PTM | Autophosphorylates when part of mTORC1 or mTORC2. Phosphorylation at Ser-1261, Ser-2159 and Thr-2164 promotes autophosphorylation. Phosphorylation in the kinase domain modulates the interactions of MTOR with RPTOR and PRAS40 and leads to increased intrinsic mTORC1 kinase activity. Phosphorylation at Thr-2173 in the ATP-binding region by AKT1 strongly reduces kinase activity. [UniProt] |
Images (6) Click the Picture to Zoom In
-
ARG40666 anti-mTOR phospho (Ser2448) antibody IHC-P image
Immunohistochemistry: Mouse xenograft tumor stained with ARG22104 anti-Ly6G + Ly6C antibody [RB6-8C5] , ARG40666 anti-mTOR phospho (Ser2448) antibody, ARG51558 anti-Akt phospho (Ser473) antibody and ARG62605 anti-PCNA antibody [PC10] .
From Wu LH et al. J Cancer (2022), doi: 10.7150/jca.75163, Fig. 5. D.
-
ARG40666 anti-mTOR phospho (Ser2448) antibody WB image
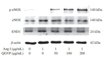
Western blot: Human endothelial cell stained with ARG20524 anti-eNOS phospho (Ser1177) antibody and ARG40666 anti-mTOR phospho (Ser2448) antibody.
From Qiang Wu et al. Food Science and Human Wellness. (2022), doi: 10.1016-j-fshw-2022-06-023, Fig. 5. F.
-
ARG40666 anti-mTOR phospho (Ser2448) antibody WB image
Western blot: Mouse skin wound tissues stained with ARG40666 anti-mTOR phospho (Ser2448) antibody.
From Hao M et al. J Inflamm Res. (2022), doi: 10.3389/fphar.2022.913408, Fig. 6. C.
-
ARG40666 anti-mTOR phospho (Ser2448) antibody WB image
Western blot: R‑HL60 stained with ARG57640 anti-mTOR antibody and ARG40666 anti-mTOR phospho (Ser2448) antibody.
From Tseng YH et al. Mol Med Rep- (2021), doi: 10.3892/mmr.2021.12204, Fig. 3. A.
-
ARG40666 anti-mTOR phospho (Ser2448) antibody IHC-P image
Immunohistochemistry: Paraffin-embedded Human breast cancer tissue stained with ARG40666 anti-mTOR phospho (Ser2448) antibody.
-
ARG40666 anti-mTOR phospho (Ser2448) antibody WB image
Western blot: HEK293 cell lysate stained with ARG40666 anti-mTOR phospho (Ser2448) antibody.
Specific References

