ARG55997
anti-tag-72 antibody [B72.3]
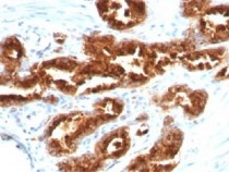
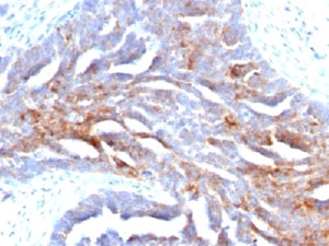
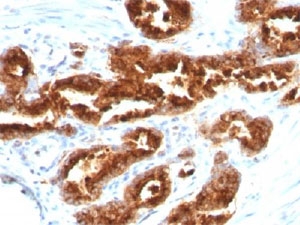
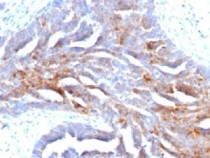
anti-tag-72 antibody [B72.3] for Flow cytometry,ICC/IF,IHC-Formalin-fixed paraffin-embedded sections and Human
Overview
| Product Description | Mouse Monoclonal antibody [B72.3] recognizes tag-72 |
|---|---|
| Tested Reactivity | Hu |
| Tested Application | FACS, ICC/IF, IHC-P |
| Host | Mouse |
| Clonality | Monoclonal |
| Clone | B72.3 |
| Isotype | IgG1, kappa |
| Target Name | tag-72 |
| Antigen Species | Human |
| Immunogen | The membrane-enriched fraction of a Human breast carcinoma liver metastasis. |
| Conjugation | Un-conjugated |
| Alternate Names | mRNA (guanine-N(7)-)-methyltransferase |
Application Instructions
| Application Suggestion |
|
||||||||
|---|---|---|---|---|---|---|---|---|---|
| Application Note | * The dilutions indicate recommended starting dilutions and the optimal dilutions or concentrations should be determined by the scientist. |
Properties
| Form | Liquid |
|---|---|
| Purification | Purification with Protein G. |
| Buffer | PBS (pH 7.4), 0.05% Sodium azide and 0.1 mg/ml BSA |
| Preservative | 0.05% Sodium azide |
| Stabilizer | 0.1 mg/ml BSA |
| Concentration | 0.2 mg/ml |
| Storage Instruction | For continuous use, store undiluted antibody at 2-8°C for up to a week. For long-term storage, aliquot and store at -20°C or below. Storage in frost free freezers is not recommended. Avoid repeated freeze/thaw cycles. Suggest spin the vial prior to opening. The antibody solution should be gently mixed before use. |
| Note | For laboratory research only, not for drug, diagnostic or other use. |
Bioinformation
| Gene Symbol | tag-72 |
|---|---|
| Gene Full Name | mRNA cap guanine-N7 methyltransferase |
| Function | mRNA-capping methyltransferase that methylates the N7 position of the added guanosine to the 5'-cap structure of mRNAs. Binds RNA containing 5'-terminal GpppC (By similarity). [UniProt] |
| Cellular Localization | Cytoplasmic and cell surface |
| Calculated MW | 43 kDa |
Images (2) Click the Picture to Zoom In
