Search Result - Primary Antibodies

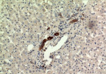
  • anti-ITK antibody
  • Cat. No: ARG11026  (Rabbit pAb)
  • Reactivity: Hu, Ms, Rat
  • Application: IHC-P
  • Conjugation: Un-conjugated
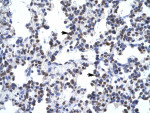
  • anti-Neuropeptide Y antibody
  • Cat. No: ARG57559  (Rabbit pAb)
  • Reactivity: Hu, Ms, Rat
  • Application: IHC-P
  • Specificity: The sequence of immunogen for this Neuropeptide Y antibody is 100% homologous in Human, Mouse and Rat.
  • Conjugation: Un-conjugated
  • anti-SCUBE2 antibody
  • Cat. No: ARG57560  (Rabbit pAb)
  • Reactivity: Hu
  • Application: ICC/IF, WB
  • Conjugation: Un-conjugated
  • anti-CD165 antibody [SN2] (PE)
  • Cat. No: ARG57566  (Mouse mAb)
  • Reactivity: Hu
  • Application: FACS, ICC/IF, IHC-Fr, WB
  • Specificity: The antibody recognizes CD165, an approximately 37-42 kDa transmembrane glycoprotein expressed mainly on leukemic T cells, double positive and double negative thymocytes (CD4-CD8-, CD4+CD8+), and platelets.
  • Conjugation: PE
  • anti-CD279 / PD-1 antibody [EH12.2H7] (PE)
  • Cat. No: ARG57577  (Mouse mAb)
  • Reactivity: Hu, NHuPrm
  • Application: FACS, IHC-Fr, FuncSt
  • Specificity: The antibody recognizes CD279 / PD-1 (programmed cell death 1), a 55 kDa type I transmembrane protein expressed above all during T cell development, on activated T cells, activated B cells, and activated monocytes.
  • Conjugation: PE
  • anti-CD11b (actived) antibody [CBRM1/5] (low endotoxin)
  • Cat. No: ARG57578  (Mouse mAb)
  • Reactivity: Hu
  • Application: FACS, IP, FuncSt
  • Specificity: The antibody recognizes an activation-dependent epitope on CD11b (Mac-1alpha), a 165-170 kDa type 1 transmembrane protein mainly expressed on monocytes, granulocytes and NK-cells. The antibody recognizes a subset of CD11b molecules on neutrophils and monocytes activated with chemoattractants or phorbol esters and does not recognize CD11b on non-activated cells.
  • Conjugation: Un-conjugated
  • anti-METTL14 antibody
  • Cat. No: ARG57669  (Rabbit pAb)
  • Reactivity: Hu, Ms
  • Application: IHC-P, WB
  • Conjugation: Un-conjugated