ARG30269
Apoptosis Marker Antibody Duo (Bcl2, Bid)
Component
| Cat No | Component Name | Host clonality | Reactivity | Application | Package |
|---|---|---|---|---|---|
| ARG20055 | anti-Bid antibody | Rabbit pAb | Hu | IHC-P, IP, WB | 25 μg |
| ARG55188 | anti-Bcl 2 antibody | Rabbit pAb | Hu, Ms, Rat | ICC/IF, IHC-P, WB | 50 μl |
Overview
| Product Description | Bcl2 suppresses apoptosis in a variety of cell systems including factor-dependent lymphohematopoietic and neural cells. Regulates cell death by controlling the mitochondrial membrane permeability. Appears to function in a feedback loop system with caspases. Inhibits caspase activity either by preventing the release of cytochrome c from the mitochondria and/or by binding to the apoptosis-activating factor (APAF-1). BCL2 family members form hetero- or homodimers and act as anti- or pro-apoptotic regulators that are involved in a wide variety of cellular activities. Bid is a death agonist that heterodimerizes with either agonist BAX or antagonist BCL2. Bid protein is a member of the BCL2 family of cell death regulators. It is a mediator of mitochondrial damage induced by caspase-8 (CASP8); CASP8 cleaves this encoded protein, and the COOH-terminal part translocates to mitochondria where it triggers cytochrome c release. Multiple alternatively spliced transcript variants have been found, but the full-length nature of some variants has not been defined. (provided by RefSeq, Jul 2008) Bcl2, BID and Bax are known to play a major role in the process of apoptosis and their dysfunction underlies carcinogenesis. Therefore, anti-Bcl2, Bid and Bax antibodies have been used in many cancer and cancer therapeutic studies. arigo provide an Apoptosis marker Duo, ARG30269, including anti-Bcl2 and anti-Bid antibodies, is useful for user to study the correlation of Bid, Bcl2 and apoptosis. |
|---|---|
| Target Name | Apoptosis Marker |
| Alternate Names | Apoptosis Marker antibody; Bid antibody; Bcl 2 antibody |
Properties
| Storage Instruction | For continuous use, store undiluted antibody at 2-8°C for up to a week. For long-term storage, aliquot and store at -20°C or below. Storage in frost free freezers is not recommended. Avoid repeated freeze/thaw cycles. Suggest spin the vial prior to opening. The antibody solution should be gently mixed before use. |
|---|---|
| Note | For laboratory research only, not for drug, diagnostic or other use. |
Bioinformation
| Gene Full Name | Antibody Duo for Apoptosis Marker (Bcl2, Bid) |
|---|---|
| Highlight | Related Product: anti-Bid antibody; anti-Bcl 2 antibody; |
Images (7) Click the Picture to Zoom In
-
ARG55188 anti-Bcl 2 antibody ICC/IF image
Immunofluorescence: NRVMS stained with ARG55188 anti-Bcl 2 antibody.
From Zhao Z et al. Front Pharmacol- (2022), doi: 10.3389/fphar.2022.859755, Fig. 4. C.
-
ARG20055 anti-Bid antibody WB image
Western blot: 30 µg of Jurkat cell lysate stained with ARG20055 anti-Bid antibody at 1:500 dilution.
-
ARG55188 anti-Bcl 2 antibody WB image
Western blot: Gastric cancer cells stained with ARG66247 anti-Bax antibody [SQab1736], ARG55188 anti-Bcl 2 antibody, ARG57512 anti-Caspase 3 (cleaved) antibody and ARG62346 anti-beta Actin antibody [BA3R]. Secondary Antibody stained with ARG65351 Goat anti-Rabbit IgG antibody (HRP).
From Limin Zhang et al. Heliyon (2024), doi: 10.1016/j.heliyon.2024.e30803, Fig. 4. C.
-
ARG55188 anti-Bcl 2 antibody WB image
Western blot: Rat heart stained with ARG55188 anti-Bcl 2 antibody.
From Lin YW et al. J Am Heart Assoc- (2021), doi: 10.1161/JAHA.120.019274, Fig. 6. D.
-
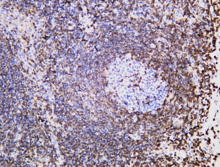
ARG55188 anti-Bcl 2 antibody IHC-P image
Immunohistochemistry: Human spleen stained with ARG55188 anti-Bcl 2 antibody.
-
ARG55188 anti-Bcl 2 antibody ICC/IF image
Immunofluorescence: HeLa cells stained with ARG55188 anti-Bcl 2 antibody (red) at 1:100 dilution. DAPI (blue) for nuclear staining.
-
ARG55188 anti-Bcl 2 antibody WB image
Western blot: 30 μg of Jurkat cell lysate stained with ARG55188 anti-Bcl 2 antibody at 1:1000 dilution.
Specific References

