ARG45497
anti-C7orf30 antibody
anti-C7orf30 antibody for Flow cytometry,IHC-Formalin-fixed paraffin-embedded sections,Western blot and Human
Overview
| Product Description | Rabbit Polyclonal antibody recognizes C7orf30 |
|---|---|
| Tested Reactivity | Hu |
| Tested Application | FACS, IHC-P, WB |
| Host | Rabbit |
| Clonality | Polyclonal |
| Isotype | IgG |
| Target Name | C7orf30 |
| Antigen Species | Human |
| Immunogen | Recombinant protein containing to human C7orf30. |
| Conjugation | Un-conjugated |
| Alternate Names | MALSU1; Mitochondrial Assembly Of Ribosomal Large Subunit 1; C7orf30; MtRsfA; Mitochondrial Assembly Of Ribosomal Large Subunit Protein 1; Chromosome 7 Open Reading Frame 30 |
Application Instructions
| Application Suggestion |
|
||||||||
|---|---|---|---|---|---|---|---|---|---|
| Application Note | * The dilutions indicate recommended starting dilutions and the optimal dilutions or concentrations should be determined by the scientist. | ||||||||
| Observed Size | 24 kDa |
Properties
| Form | Liquid |
|---|---|
| Purification | Affinity purified |
| Buffer | 0.2% Na2HPO4, 0.9% NaCl and 4% Trehalose. |
| Stabilizer | 4% Trehalose |
| Concentration | 0.5 mg/ml |
| Storage Instruction | For continuous use, store undiluted antibody at 2-8°C for up to a week. For long-term storage, aliquot and store at -20°C or below. Storage in frost free freezers is not recommended. Avoid repeated freeze/thaw cycles. Suggest spin the vial prior to opening. The antibody solution should be gently mixed before use. |
| Note | For laboratory research only, not for drug, diagnostic or other use. |
Bioinformation
| Database Links |
Swiss-port # Q96EH3 Human Mitochondrial assembly of ribosomal large subunit protein 1 |
|---|---|
| Gene Symbol | MALSU1 |
| Gene Full Name | Mitochondrial Assembly Of Ribosomal Large Subunit 1 |
| Background | Enables mitochondrial large ribosomal subunit binding activity. Involved in negative regulation of mitochondrial translation and ribosomal large subunit biogenesis. Located in cytosol and mitochondrion. [provided by Alliance of Genome Resources, Feb 2025] |
| Function | Required for normal mitochondrial ribosome function and mitochondrial translation [UniProt] |
| Cellular Localization | Mitochondrion. [UniProt] |
| Calculated MW | 26 kDa |
Images (3) Click the Picture to Zoom In
-
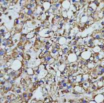
ARG45497 anti-C7orf30 antibody IHC-P image
Immunohistochemistry: Human liver cancer stained with ARG45497 anti-C7orf30 antibody at 2 μg/ml dilution.
-
ARG45497 anti-C7orf30 antibody WB image
Western blot: 293T stained with ARG45497 anti-C7orf30 antibody at 0.5 μg/ml dilution.
-
ARG45497 anti-C7orf30 antibody FACS image
Flow Cytometry: 293T stained with ARG45497 anti-C7orf30 antibody at 1 µg/10^6 cells dilution.
