ARG59202
anti-CCP110 / Cep110 antibody
anti-CCP110 / Cep110 antibody for IHC-Formalin-fixed paraffin-embedded sections,Western blot and Human,Mouse,Rat
Overview
| Product Description | Rabbit Polyclonal antibody recognizes CCP110 / Cep110 |
|---|---|
| Tested Reactivity | Hu, Ms, Rat |
| Tested Application | IHC-P, WB |
| Host | Rabbit |
| Clonality | Polyclonal |
| Isotype | IgG |
| Target Name | CCP110 / Cep110 |
| Antigen Species | Human |
| Immunogen | Recombinant protein corresponding to E51-H284 of Human CCP110 / Cep110. |
| Conjugation | Un-conjugated |
| Alternate Names | CP110; Centriolar coiled-coil protein of 110 kDa; Cep110; Centrosomal protein of 110 kDa |
Application Instructions
| Application Suggestion |
|
||||||
|---|---|---|---|---|---|---|---|
| Application Note | IHC-P: Antigen Retrieval: Heat mediated was performed in Citrate buffer (pH 6.0) for 20 min. * The dilutions indicate recommended starting dilutions and the optimal dilutions or concentrations should be determined by the scientist. |
Properties
| Form | Liquid |
|---|---|
| Purification | Affinity purification with immunogen. |
| Buffer | 0.9% NaCl, 0.2% Na2HPO4, 0.05% Sodium azide and 4% Trehalose. |
| Preservative | 0.05% Sodium azide |
| Stabilizer | 4% Trehalose |
| Concentration | 0.5 mg/ml |
| Storage Instruction | For continuous use, store undiluted antibody at 2-8°C for up to a week. For long-term storage, aliquot and store at -20°C or below. Storage in frost free freezers is not recommended. Avoid repeated freeze/thaw cycles. Suggest spin the vial prior to opening. The antibody solution should be gently mixed before use. |
| Note | For laboratory research only, not for drug, diagnostic or other use. |
Bioinformation
| Database Links |
Swiss-port # O43303 Human Centriolar coiled-coil protein of 110 kDa Swiss-port # Q7TSH4 Mouse Centriolar coiled-coil protein of 110 kDa |
|---|---|
| Gene Symbol | CCP110 |
| Gene Full Name | centriolar coiled coil protein 110kDa |
| Function | Necessary for centrosome duplication at different stages of procentriole formation. Acts as a key negative regulator of ciliogenesis in collaboration with CEP97 by capping the mother centriole thereby preventing cilia formation. Required for correct spindle formation and has a role in regulating cytokinesis and genome stability via cooperation with CALM1 and CETN2. [UniProt] |
| Cellular Localization | Cytoplasm, cytoskeleton, microtubule organizing center, centrosome, centriole. Cytoplasm, cytoskeleton, microtubule organizing center, centrosome. Cytoplasm, cytoskeleton, cilium basal body. Note=Recruited early and then associates with the growing distal tips. Recruited to the mother centriole by KIF24. [UniProt] |
| Calculated MW | 113 kDa |
| PTM | Phosphorylated by CDKs. Ubiquitinated by the SCF(CCNF) during G2 phase, leading to its degradation by the proteasome and preventing centrosome reduplication. Deubiquitinated by USP33 in S and G2/M phase, leading to stabilize CCP110 during the period which centrioles duplicate and elongate. [UniProt] |
Images (3) Click the Picture to Zoom In
-
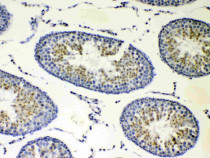
ARG59202 anti-CCP110 / Cep110 antibody IHC-P image
Immunohistochemistry: Paraffin-embedded Mouse testis tissue. Antigen Retrieval: Heat mediated was performed in Citrate buffer (pH 6.0, epitope retrieval solution) for 20 min. The tissue section was blocked with 10% goat serum. The tissue section was then stained with ARG59202 anti-CCP110 / Cep110 antibody at 1 µg/ml dilution, overnight at 4°C.
-
ARG59202 anti-CCP110 / Cep110 antibody WB image
Western blot: 50 µg of samples under reducing conditions. HeLa, Rat testis, Mouse testis, Mouse spleen and Mouse thymus lysates stained with ARG59202 anti-CCP110 / Cep110 antibody at 0.5 µg/ml, overnight at 4°C.
-
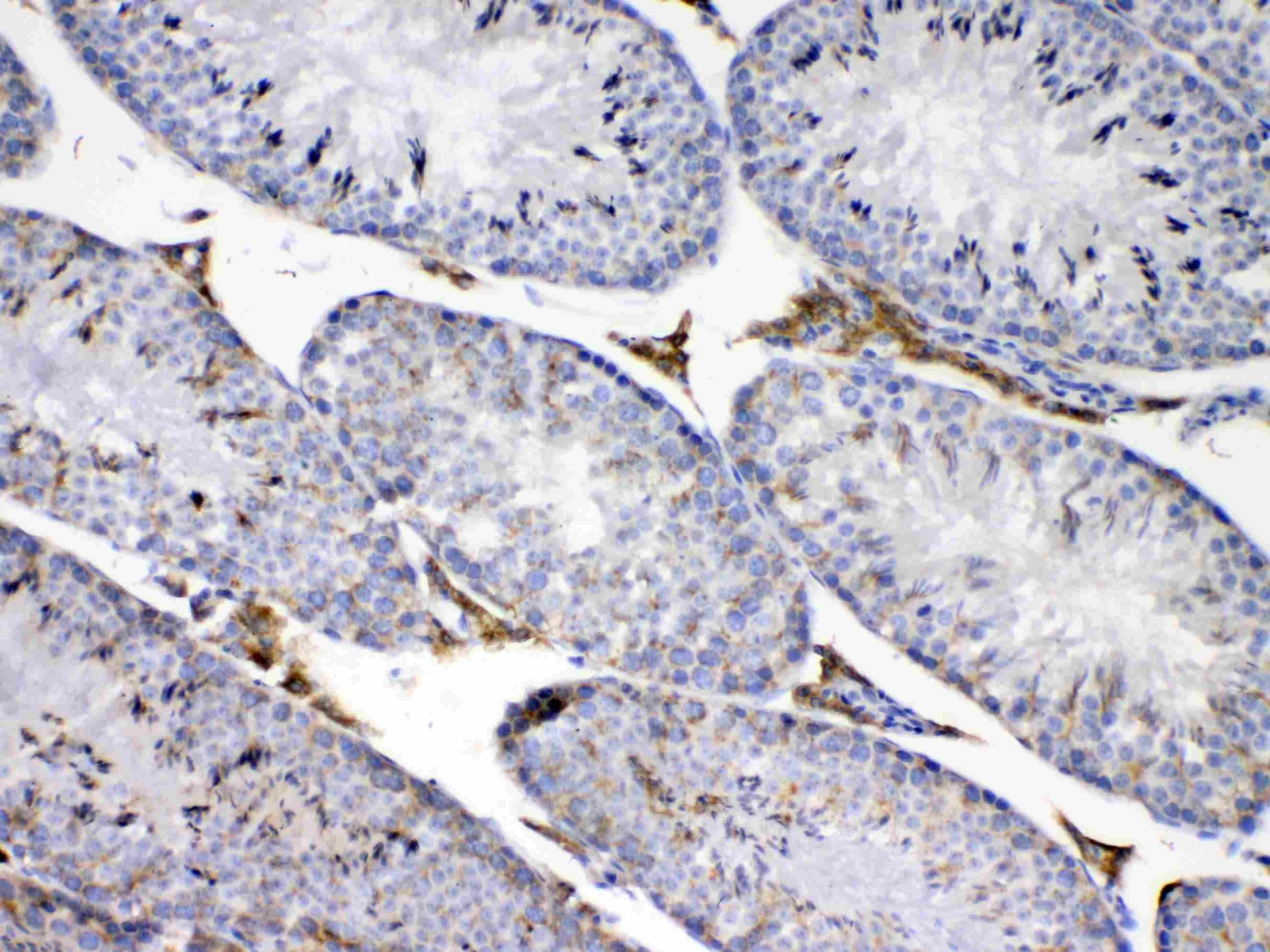
ARG59202 anti-CCP110 / Cep110 antibody IHC-P image
Immunohistochemistry: Paraffin-embedded Rat testis tissue. Antigen Retrieval: Heat mediated was performed in Citrate buffer (pH 6.0, epitope retrieval solution) for 20 min. The tissue section was blocked with 10% goat serum. The tissue section was then stained with ARG59202 anti-CCP110 / Cep110 antibody at 1 µg/ml dilution, overnight at 4°C.
