ARG55636
anti-CD11b antibody
anti-CD11b antibody for Flow cytometry,IHC-Formalin-fixed paraffin-embedded sections,Western blot and Human
MDSC Marker antibody; Myeloid-derived suppressor cell antibody
Overview
| Product Description | Rabbit Polyclonal antibody recognizes CD11b |
|---|---|
| Tested Reactivity | Hu |
| Tested Application | FACS, IHC-P, WB |
| Host | Rabbit |
| Clonality | Polyclonal |
| Isotype | IgG |
| Target Name | CD11b |
| Antigen Species | Human |
| Immunogen | KLH-conjugated synthetic peptide corresponding to aa. 253-282 (N-terminus) of Human CD11b. |
| Conjugation | Un-conjugated |
| Alternate Names | MAC1A; CR3A; CR-3 alpha chain; Cell surface glycoprotein MAC-1 subunit alpha; Integrin alpha-M; MAC-1; CD11 antigen-like family member B; Leukocyte adhesion receptor MO1; MO1A; SLEB6; Neutrophil adherence receptor; CD antigen CD11b; CD11B |
Application Instructions
| Application Suggestion |
|
||||||||
|---|---|---|---|---|---|---|---|---|---|
| Application Note | IHC-P: Antigen Retrieval: Heat mediation was performed in Citrate buffer (pH 6.0). * The dilutions indicate recommended starting dilutions and the optimal dilutions or concentrations should be determined by the scientist. |
||||||||
| Positive Control | Human spleen |
Properties
| Form | Liquid |
|---|---|
| Purification | Purification with Protein A and immunogen peptide |
| Buffer | PBS and 0.09% (W/V) Sodium azide |
| Preservative | 0.09% (W/V) Sodium azide |
| Storage Instruction | For continuous use, store undiluted antibody at 2-8°C for up to a week. For long-term storage, aliquot and store at -20°C or below. Storage in frost free freezers is not recommended. Avoid repeated freeze/thaw cycles. Suggest spin the vial prior to opening. The antibody solution should be gently mixed before use. |
| Note | For laboratory research only, not for drug, diagnostic or other use. |
Bioinformation
| Database Links | |
|---|---|
| Gene Symbol | ITGAM |
| Gene Full Name | integrin, alpha M (complement component 3 receptor 3 subunit) |
| Background | CD11b (integrin alpha M chain): Integrins are heterodimeric integral membrane proteins composed of an alpha chain and a beta chain. This I-domain containing alpha integrin combines with the beta 2 chain (ITGB2) to form a leukocyte-specific integrin referred to as macrophage receptor 1 ('Mac-1'), or inactivated-C3b (iC3b) receptor 3 ('CR3'). The alpha M beta 2 integrin is important in the adherence of neutrophils and monocytes to stimulated endothelium, and also in the phagocytosis of complement coated particles. Multiple transcript variants encoding different isoforms have been found for this gene. [provided by RefSeq, Mar 2009] |
| Function | CD11b: Integrin ITGAM/ITGB2 is implicated in various adhesive interactions of monocytes, macrophages and granulocytes as well as in mediating the uptake of complement-coated particles and pathogens (PubMed:9558116, PubMed:20008295). It is identical with CR-3, the receptor for the iC3b fragment of the third complement component. It probably recognizes the R-G-D peptide in C3b. Integrin ITGAM/ITGB2 is also a receptor for fibrinogen, factor X and ICAM1. It recognizes P1 and P2 peptides of fibrinogen gamma chain. Regulates neutrophil migration (PubMed:28807980). In association with beta subunit ITGB2/CD18, required for CD177-PRTN3-mediated activation of TNF primed neutrophils (PubMed:21193407). May regulate phagocytosis-induced apoptosis in extravasated neutrophils. May play a role in mast cell development. Required with TYROBP/DAP12 in microglia to control production of microglial superoxide ions which promote the neuronal apoptosis that occurs during brain development. [UniProt] |
| Highlight | Related products: CD11b antibodies; CD11b Duos / Panels; Anti-Rabbit IgG secondary antibodies; Related news: New antibody panels and duos for Tumor immune microenvironment Anti-SerpinB9 therapy, a new strategy for cancer therapy |
| Research Area | MDSC Marker antibody; Myeloid-derived suppressor cell antibody |
| Calculated MW | 127 kDa |
Images (4) Click the Picture to Zoom In
-
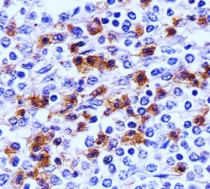
ARG55636 anti-CD11b antibody IHC-P image
Immunohistochemistry: Paraformaldehyde-fixed and paraffin-embedded Human tonsil tissue. Tissue was blocked with 3% BSA for 0.5 hour at room temperature; Antigen Retrieval: Heat mediation was performed in Citrate buffer (pH 6.0). Samples were stained with ARG55636 anti-CD11b antibody at 1:25 dilution for 1 hour at 37°C.
-
ARG55636 anti-CD11b antibody WB image
Western blot: 20 µg of Human spleen lysate stained with ARG55636 anti-CD11b antibody at 1:2000 dilution.
-
ARG55636 anti-CD11b antibody FACS image
Flow Cytometry: Jurkat cells stained with ARG55636 anti-CD11b antibody (right histogram) or without primary antibody as control (left histogram), followed by incubation with FITC labelled secondary antibody.
-
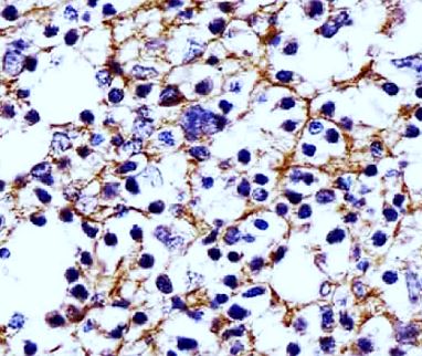
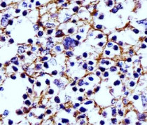
ARG55636 anti-CD11b antibody IHC-P image
Immunohistochemistry: Paraformaldehyde-fixed and paraffin-embedded Human spleen tissue. Tissue was blocked with 3% BSA for 0.5 hour at room temperature. Antigen Retrieval: Heat mediation was performed in Citrate buffer (pH 6.0). Samples were stained with ARG55636 anti-CD11b antibody at 1:25 dilution for 1 hour at 37°C.
