ARG66630
anti-CD163 antibody [SQab19148]
anti-CD163 antibody [SQab19148] for IHC-Formalin-fixed paraffin-embedded sections and Human
M1/M2/TAM Marker antibody; Macrophage Marker antibody; M2 Macrophage Marker antibody
Overview
| Product Description | Recombinant Rabbit Monoclonal antibody [SQab19148] recognizes CD163 |
|---|---|
| Tested Reactivity | Hu |
| Tested Application | IHC-P |
| Host | Rabbit |
| Clonality | Monoclonal |
| Clone | SQab19148 |
| Isotype | IgG |
| Target Name | CD163 |
| Antigen Species | Human |
| Immunogen | Synthetic peptide within aa. 1056-1156 of Human CD163. |
| Conjugation | Un-conjugated |
| Alternate Names | sCD163; M130; Scavenger receptor cysteine-rich type 1 protein M130; MM130; CD antigen CD163; Hemoglobin scavenger receptor |
Application Instructions
| Application Suggestion |
|
||||
|---|---|---|---|---|---|
| Application Note | IHC-P: Antigen Retrieval: Heat mediation was performed in Tris/EDTA buffer (pH 9.0), primary antibody incubate at RT (18°C - 25°C) for 30 minutes. * The dilutions indicate recommended starting dilutions and the optimal dilutions or concentrations should be determined by the scientist. |
Properties
| Form | Liquid |
|---|---|
| Purification | Purification with Protein A. |
| Buffer | PBS, 0.01% Sodium azide, 40% Glycerol and 0.05% BSA. |
| Preservative | 0.01% Sodium azide |
| Stabilizer | 40% Glycerol and 0.05% BSA |
| Storage Instruction | For continuous use, store undiluted antibody at 2-8°C for up to a week. For long-term storage, aliquot and store at -20°C. Storage in frost free freezers is not recommended. Avoid repeated freeze/thaw cycles. Suggest spin the vial prior to opening. The antibody solution should be gently mixed before use. |
| Note | For laboratory research only, not for drug, diagnostic or other use. |
Bioinformation
| Database Links |
Swiss-port # Q86VB7 Human Scavenger receptor cysteine-rich type 1 protein M130 |
|---|---|
| Gene Symbol | CD163 |
| Gene Full Name | CD163 molecule |
| Background | CD163 protein is a member of the scavenger receptor cysteine-rich (SRCR) superfamily, and is exclusively expressed in monocytes and macrophages. It functions as an acute phase-regulated receptor involved in the clearance and endocytosis of hemoglobin/haptoglobin complexes by macrophages, and may thereby protect tissues from free hemoglobin-mediated oxidative damage. This protein may also function as an innate immune sensor for bacteria and inducer of local inflammation. Alternatively spliced transcript variants encoding different isoforms have been described for this gene. [provided by RefSeq, Aug 2011] |
| Function | CD163: Acute phase-regulated receptor involved in clearance and endocytosis of hemoglobin/haptoglobin complexes by macrophages and may thereby protect tissues from free hemoglobin-mediated oxidative damage. May play a role in the uptake and recycling of iron, via endocytosis of hemoglobin/haptoglobin and subsequent breakdown of heme. Binds hemoglobin/haptoglobin complexes in a calcium-dependent and pH-dependent manner. Exhibits a higher affinity for complexes of hemoglobin and multimeric haptoglobin of HP*1F phenotype than for complexes of hemoglobin and dimeric haptoglobin of HP*1S phenotype. Induces a cascade of intracellular signals that involves tyrosine kinase-dependent calcium mobilization, inositol triphosphate production and secretion of IL6 and CSF1. Isoform 3 exhibits the higher capacity for ligand endocytosis and the more pronounced surface expression when expressed in cells. After shedding, the soluble form (sCD163) may play an anti-inflammatory role, and may be a valuable diagnostic parameter for monitoring macrophage activation in inflammatory conditions. [UniProt] |
| Cellular Localization | Soluble CD163: Secreted. Cell membrane; Single-pass type I membrane protein. Note=Isoform 1 and isoform 2 show a lower surface expression when expressed in cells. [UniProt] |
| Highlight | Related Antibody Duos and Panels: ARG30333 M1/M2/TAM Marker Antibody Panel Related products: CD163 antibodies; CD163 ELISA Kits; CD163 Duos / Panels; Anti-Rabbit IgG secondary antibodies; Related news: New antibody panels and duos for Tumor immune microenvironment Anti-SerpinB9 therapy, a new strategy for cancer therapy RIP1 activation and pathogenesis of NASH |
| Research Area | M1/M2/TAM Marker antibody; Macrophage Marker antibody; M2 Macrophage Marker antibody |
| Calculated MW | 125 kDa |
| PTM | A soluble form (sCD163) is produced by proteolytic shedding which can be induced by lipopolysaccharide, phorbol ester and Fc region of immunoglobulin gamma. This cleavage is dependent on protein kinase C and tyrosine kinases and can be blocked by protease inhibitors. The shedding is inhibited by the tissue inhibitor of metalloproteinase TIMP3, and thus probably induced by membrane-bound metalloproteinases ADAMs. Phosphorylated. [UniProt] |
Images (2) Click the Picture to Zoom In
-
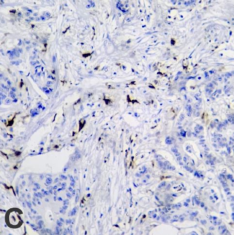
ARG66630 anti-CD163 antibody [SQab19148] IHC-P image
Immunohistochemistry: Human colorectal cancer stained with ARG66630 anti-CD163 antibody [SQab19148].
From Brambilla, Eduardo et al. Doutorado em Ciências da Saúde (2024), URL: https://repositorio.ucs.br/xmlui/handle/11338/13745, Fig. 2. C.
-
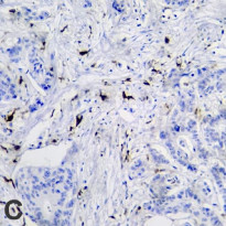
ARG66630 anti-CD163 antibody [SQab19148] IHC-P image
Immunohistochemistry: Formalin/PFA-fixed and paraffin-embedded Human liver tissue stained with ARG66630 anti-CD163 antibody [SQab19148]. Antigen Retrieval: Heat mediation was performed in Tris/EDTA buffer (pH 9.0).
Specific References

