ARG42041
anti-Connexin 36 antibody
anti-Connexin 36 antibody for IHC-Formalin-fixed paraffin-embedded sections,Western blot and Human,Mouse,Rat
Overview
| Product Description | Rabbit Polyclonal antibody recognizes Connexin 36 |
|---|---|
| Tested Reactivity | Hu, Ms, Rat |
| Tested Application | IHC-P, WB |
| Host | Rabbit |
| Clonality | Polyclonal |
| Isotype | IgG |
| Target Name | Connexin 36 |
| Antigen Species | Human |
| Immunogen | KLH-conjugated synthetic peptide between aa. 291-321 of Human Connexin 36. |
| Conjugation | Un-conjugated |
| Alternate Names | GJA9; Cx36; Gap junction delta-2 protein; CX36; Gap junction alpha-9 protein; Connexin-36 |
Application Instructions
| Application Suggestion |
|
||||||
|---|---|---|---|---|---|---|---|
| Application Note | * The dilutions indicate recommended starting dilutions and the optimal dilutions or concentrations should be determined by the scientist. | ||||||
| Positive Control | Human brain | ||||||
| Observed Size | ~ 36 kDa |
Properties
| Form | Liquid |
|---|---|
| Purification | Purification with Protein G. |
| Buffer | PBS and 0.09% (W/V) Sodium azide. |
| Preservative | 0.09% (W/V) Sodium azide. |
| Storage Instruction | For continuous use, store undiluted antibody at 2-8°C for up to a week. For long-term storage, aliquot and store at -20°C or below. Storage in frost free freezers is not recommended. Avoid repeated freeze/thaw cycles. Suggest spin the vial prior to opening. The antibody solution should be gently mixed before use. |
| Note | For laboratory research only, not for drug, diagnostic or other use. |
Bioinformation
| Database Links | |
|---|---|
| Gene Symbol | GJD2 |
| Gene Full Name | gap junction protein, delta 2, 36kDa |
| Background | This gene encodes a member of the connexin protein family. Connexins are gap junction proteins which are arranged in groups of 6 around a central pore to form a connexon, a component of the gap junction intercellular channel. The channels formed by this protein allow cationic molecule exchange between human beta cells and may function in the regulation of insulin secretion. [provided by RefSeq, Oct 2012] |
| Function | One gap junction consists of a cluster of closely packed pairs of transmembrane channels, the connexons, through which materials of low MW diffuse from one cell to a neighboring cell. [UniProt] |
| Cellular Localization | Cell membrane; Multi-pass membrane protein. Cell junction, gap junction. [UniProt] |
| Calculated MW | 36 kDa |
Images (2) Click the Picture to Zoom In
-
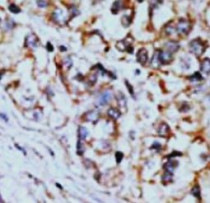
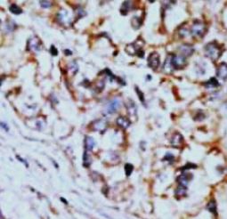
ARG42041 anti-Connexin 36 antibody IHC-P image
Immunohistochemistry: Formalin-fixed and paraffin-embedded Human hepatocarcinoma tissue stained with ARG42041 anti-Connexin 36 antibody.
-
ARG42041 anti-Connexin 36 antibody WB image
Western blot: 20 µg of Human brain lysate stained with ARG42041 anti-Connexin 36 antibody at 1:2000 dilution.
