ARG45159
anti-Cytochrome P450 2B6/CYP2B6 antibody
anti-Cytochrome P450 2B6/CYP2B6 antibody for Flow cytometry,ICC/IF,Western blot and Human
Overview
| Product Description | Rabbit Polyclonal antibody recognizes Cytochrome P450 2B6/CYP2B6 |
|---|---|
| Tested Reactivity | Hu |
| Tested Application | FACS, ICC/IF, WB |
| Host | Rabbit |
| Clonality | Polyclonal |
| Isotype | IgG |
| Target Name | CYP2B6 |
| Antigen Species | Human |
| Immunogen | Synthetic peptide corresponding to N-terminal region of human CYP2B6. |
| Conjugation | Un-conjugated |
| Alternate Names | CYP2B6; cytochrome P450 family 2 subfamily B member 6; Cytochrome P450 2B6; 1,4-cineole 2-exo-monooxygenase; CYPIIB6; Cytochrome P450 IIB1; CYP2B6 |
Application Instructions
| Application Suggestion |
|
||||||||
|---|---|---|---|---|---|---|---|---|---|
| Application Note | * The dilutions indicate recommended starting dilutions and the optimal dilutions or concentrations should be determined by the scientist. | ||||||||
| Observed Size | 56 kDa |
Properties
| Form | Liquid |
|---|---|
| Purification | Affinity purification with immunogen. |
| Buffer | 0.2% Na2HPO4, 0.9% NaCl, 0.05% Sodium azide and 4% Trehalose. |
| Preservative | 0.05% Sodium azide |
| Stabilizer | 4% Trehalose |
| Concentration | 0.5 mg/ml |
| Storage Instruction | For continuous use, store undiluted antibody at 2-8°C for up to a week. For long-term storage, aliquot and store at -20°C or below. Storage in frost free freezers is not recommended. Avoid repeated freeze/thaw cycles. Suggest spin the vial prior to opening. The antibody solution should be gently mixed before use. |
| Note | For laboratory research only, not for drug, diagnostic or other use. |
Bioinformation
| Database Links | |
|---|---|
| Gene Symbol | CYP2B6 |
| Gene Full Name | cytochrome P450 family 2 subfamily B member 6 |
| Background | This gene, CYP2B6, encodes a member of the cytochrome P450 superfamily of enzymes. The cytochrome P450 proteins are monooxygenases which catalyze many reactions involved in drug metabolism and synthesis of cholesterol, steroids and other lipids. This protein localizes to the endoplasmic reticulum and its expression is induced by phenobarbital. The enzyme is known to metabolize some xenobiotics, such as the anti-cancer drugs cyclophosphamide and ifosphamide. Transcript variants for this gene have been described; however, it has not been resolved whether these transcripts are in fact produced by this gene or by a closely related pseudogene, CYP2B7. Both the gene and the pseudogene are located in the middle of a CYP2A pseudogene found in a large cluster of cytochrome P450 genes from the CYP2A, CYP2B and CYP2F subfamilies on chromosome 19q. [provided by RefSeq, Jul 2008] |
| Function | A cytochrome P450 monooxygenase involved in the metabolism of endocannabinoids and steroids. [UniProt] |
| Cellular Localization | Endoplasmic reticulum membrane; Microsome membrane. [UniProt] |
| Calculated MW | 56 kDa |
| PTM | Phosphoprotein. [UniProt] |
Images (3) Click the Picture to Zoom In
-
ARG45159 anti-Cytochrome P450 2B6/CYP2B6 antibody ICC/IF image
Immunofluorescence: U20S stained with ARG45159 anti-Cytochrome P450 2B6/CYP2B6 antibody at 5 ug/ml dilution.
-
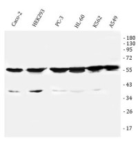
ARG45159 anti-SCN4B antibody WB image
Western blot: Caco-2, HEK293, PC-3, HL-60, K562,and A549 stained with ARG45159 anti-SCN4B antibody at 0.5 μg/ml dilution.
-
ARG45159 anti-Cytochrome P450 2B6/CYP2B6 antibody FACS image
Flow Cytometry: THP-1 stained with ARG45159 anti-Cytochrome P450 2B6/CYP2B6 antibody at 1 µg/10^6 cells dilution.
