ARG45211
anti-DLX2 antibody
anti-DLX2 antibody for Flow cytometry,IHC-Formalin-fixed paraffin-embedded sections,Western blot and Human,Mouse,Rat
Overview
| Product Description | Rabbit Polyclonal antibody recognizes DLX2 |
|---|---|
| Tested Reactivity | Hu, Ms, Rat |
| Tested Application | FACS, IHC-P, WB |
| Host | Rabbit |
| Clonality | Polyclonal |
| Isotype | IgG |
| Target Name | DLX2 |
| Antigen Species | Human |
| Immunogen | Recombinant protein containing to human DLX2. |
| Conjugation | Un-conjugated |
| Alternate Names | DLX2; Distal-Less Homeobox 2; TES-1; Distal-Less Homeo Box 2; Homeobox Protein DLX-2; TES1 |
Application Instructions
| Application Suggestion |
|
||||||||
|---|---|---|---|---|---|---|---|---|---|
| Application Note | * The dilutions indicate recommended starting dilutions and the optimal dilutions or concentrations should be determined by the scientist. | ||||||||
| Observed Size | 37 kDa |
Properties
| Form | Liquid |
|---|---|
| Purification | Affinity purification with immunogen. |
| Buffer | 0.2% Na2HPO4, 0.9% NaCl and 4% Trehalose. |
| Stabilizer | 4% Trehalose |
| Concentration | 0.5 mg/ml |
| Storage Instruction | For continuous use, store undiluted antibody at 2-8°C for up to a week. For long-term storage, aliquot and store at -20°C or below. Storage in frost free freezers is not recommended. Avoid repeated freeze/thaw cycles. Suggest spin the vial prior to opening. The antibody solution should be gently mixed before use. |
| Note | For laboratory research only, not for drug, diagnostic or other use. |
Bioinformation
| Database Links | |
|---|---|
| Gene Symbol | DLX2 |
| Gene Full Name | Distal-Less Homeobox 2 |
| Background | Many vertebrate homeo box-containing genes have been identified on the basis of their sequence similarity with Drosophila developmental genes. Members of the Dlx gene family contain a homeobox that is related to that of Distal-less (Dll), a gene expressed in the head and limbs of the developing fruit fly. The Distal-less (Dlx) family of genes comprises at least 6 different members, DLX1-DLX6. The DLX proteins are postulated to play a role in forebrain and craniofacial development. This gene is located in a tail-to-tail configuration with another member of the gene family on the long arm of chromosome 2. [provided by RefSeq, Jul 2008] |
| Function | Acts as a transcriptional activator. [UniProt] |
| Cellular Localization | Nucleus. [UniProt] |
| Calculated MW | 37 kDa |
| PTM | Phosphoprotein. [UniProt] |
Images (4) Click the Picture to Zoom In
-
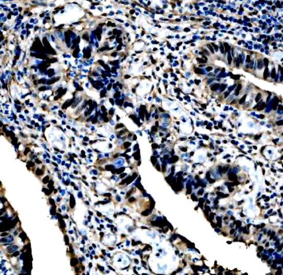
ARG45211 anti-DLX2 antibody IHC-P image
Immunohistochemistry: Human rectum stained with ARG45211 anti-DLX2 antibody at 2 μg/ml dilution.
-
ARG45211 anti-DLX2 antibody FACS image
Flow Cytometry: 293T stained with ARG45211 anti-DLX2 antibody at 1 µg/10^6 cells dilution.
-
ARG45211 anti-DLX2 antibody WB image
Western blot: Rat brain stained with ARG45211 anti-DLX2 antibody at 0.5 μg/ml dilution.
-
ARG45211 anti-DLX2 antibody WB image
Western blot: Mouse brain stained with ARG45211 anti-DLX2 antibody at 0.5 μg/ml dilution.
