ARG45154
anti-EVA1A / TMEM166 antibody
anti-EVA1A / TMEM166 antibody for Flow cytometry,IHC-Formalin-fixed paraffin-embedded sections,Western blot and Human,Mouse,Rat
Overview
| Product Description | Rabbit Polyclonal antibody recognizes EVA1A / TMEM166 |
|---|---|
| Tested Reactivity | Hu, Ms, Rat |
| Tested Application | FACS, IHC-P, WB |
| Host | Rabbit |
| Clonality | Polyclonal |
| Isotype | IgG |
| Target Name | EVA1A / TMEM166 |
| Antigen Species | Human |
| Immunogen | Synthetic peptide corresponding to N-terminal region of human EVA1A / TMEM166. |
| Conjugation | Un-conjugated |
| Alternate Names | EVA1A; eva-1 homolog A (C. elegans); Protein eva-1 homolog A; Transmembrane protein 166; FAM176A; Protein FAM176A; TMEM166 |
Application Instructions
| Application Suggestion |
|
||||||||
|---|---|---|---|---|---|---|---|---|---|
| Application Note | * The dilutions indicate recommended starting dilutions and the optimal dilutions or concentrations should be determined by the scientist. | ||||||||
| Observed Size | 21 kDa |
Properties
| Form | Liquid |
|---|---|
| Purification | Affinity purification with immunogen. |
| Buffer | 0.2% Na2HPO4, 0.9% NaCl, 0.05% Sodium azide and 4% Trehalose. |
| Preservative | 0.05% Sodium azide |
| Stabilizer | 4% Trehalose |
| Concentration | 0.5 mg/ml |
| Storage Instruction | For continuous use, store undiluted antibody at 2-8°C for up to a week. For long-term storage, aliquot and store at -20°C or below. Storage in frost free freezers is not recommended. Avoid repeated freeze/thaw cycles. Suggest spin the vial prior to opening. The antibody solution should be gently mixed before use. |
| Note | For laboratory research only, not for drug, diagnostic or other use. |
Bioinformation
| Database Links | |
|---|---|
| Gene Symbol | EVA1A |
| Gene Full Name | eva-1 homolog A (C. elegans) |
| Background | Predicted to be involved in apoptotic process and autophagy. Located in intracellular membrane-bounded organelle and plasma membrane. [provided by Alliance of Genome Resources, Nov 2024] |
| Function | Acts as a regulator of programmed cell death, mediating both autophagy and apoptosis. [UniProt] |
| Cellular Localization | Endoplasmic reticulum membrane; Lysosome membrane. [UniProt] |
| Calculated MW | 17 kDa |
| PTM | Phosphoprotein. [UniProt] |
Images (3) Click the Picture to Zoom In
-
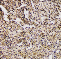
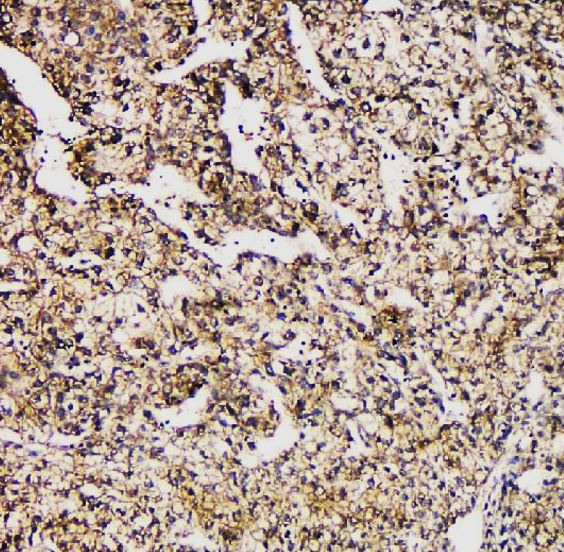
ARG45154 anti-EVA1A / TMEM166 antibody IHC-P image
Immunohistochemistry: Human liver cancer stained with ARG45154 anti-EVA1A / TMEM166 antibody at 1 μg/ml dilution.
-
ARG45154 anti-EVA1A / TMEM166 antibody WB image
Western blot: HepG2 and PC-3 stained with ARG45154 anti-EVA1A / TMEM166 antibody at 0.5 μg/ml dilution.
-
ARG45154 anti-EVA1A / TMEM166 antibody FACS image
Flow Cytometry: A549 stained with ARG45154 anti-EVA1A / TMEM166 antibody at 1 µg/10^6 cells dilution.
