ARG56678
anti-G-CSF antibody
anti-G-CSF antibody for ELISA,IHC-Formalin-fixed paraffin-embedded sections,Neutralizing,Western blot and Human
Overview
| Product Description | Rabbit Polyclonal antibody recognizes G-CSF |
|---|---|
| Tested Reactivity | Hu |
| Tested Application | ELISA, IHC-P, Neut, WB |
| Host | Rabbit |
| Clonality | Polyclonal |
| Isotype | IgG |
| Target Name | G-CSF |
| Antigen Species | Human |
| Immunogen | E.coli derived Recombinant Human G-CSF. (TPLGPASSLP QSFLLKCLEQ VRKIQGDGAA LQEKLCATYK LCHPEELVLL GHSLGIPWAP LSSCPSQALQ LAGCLSQLHS GLFLYQGLLQ ALEGISPELG PTLDTLQLDV ADFATTIWQQ MEELGMAPAL QPTQGAMPAF ASAFQRRAGG VLVASHLQSF LEVSYRVLRH LAQP) |
| Conjugation | Un-conjugated |
| Alternate Names | Granulocyte colony-stimulating factor; Lenograstim; C17orf33; GCSF; G-CSF; Filgrastim; Pluripoietin; CSF3OS |
Application Instructions
| Application Suggestion |
|
||||||||||
|---|---|---|---|---|---|---|---|---|---|---|---|
| Application Note | * The dilutions indicate recommended starting dilutions and the optimal dilutions or concentrations should be determined by the scientist. |
Properties
| Form | Liquid |
|---|---|
| Purification | Affinity purification with immunogen. |
| Buffer | PBS (pH 7.2) |
| Concentration | 1 mg/ml |
| Storage Instruction | For continuous use, store undiluted antibody at 2-8°C for up to a week. For long-term storage, aliquot and store at -20°C or below. Storage in frost free freezers is not recommended. Avoid repeated freeze/thaw cycles. Suggest spin the vial prior to opening. The antibody solution should be gently mixed before use. |
| Note | For laboratory research only, not for drug, diagnostic or other use. |
Bioinformation
| Database Links |
Swiss-port # P09919 Human Granulocyte colony-stimulating factor |
|---|---|
| Gene Symbol | CSF3 |
| Gene Full Name | colony stimulating factor 3 (granulocyte) |
| Background | The protein encoded by this gene is a cytokine that controls the production, differentiation, and function of granulocytes. The active protein is found extracellularly. Alternatively spliced transcript variants have been described for this gene. [provided by RefSeq, May 2010] |
| Function | Granulocyte/macrophage colony-stimulating factors are cytokines that act in hematopoiesis by controlling the production, differentiation, and function of 2 related white cell populations of the blood, the granulocytes and the monocytes-macrophages. This CSF induces granulocytes. [UniProt] |
| Calculated MW | 22 kDa |
| PTM | O-glycan consists of Gal-GalNAc disaccharide which can be modified with up to two sialic acid residues (done in recombinantly expressed G-CSF from CHO cells). |
Images (4) Click the Picture to Zoom In
-
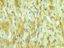
ARG56678 anti-G-CSF antibody IHC-P image
Immunohistochemistry: Formalin-fixed and paraffin-embedded sections of Human angiosarcoma. The recommended ARG56678 anti-G-CSF antibody concentration is 0.25 µg/mL with an overnight incubation at 4°C. An HRP-labeled polymer detection system was used with a DAB chromogen. Antigen Retrieval: Boil tissue section in Sodium Citrate buffer (pH 6.0) followed by cooling at RT for 20 min.
-
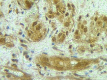
ARG56678 anti-G-CSF antibody IHC-P image
Immunohistochemistry: Formalin-fixed and paraffin-embedded sections of Human angiosarcoma. The recommended ARG56678 anti-G-CSF antibody concentration is 0.25 µg/mL with an overnight incubation at 4°C. An HRP-labeled polymer detection system was used with a DAB chromogen. Antigen Retrieval: Boil tissue section in Sodium Citrate buffer (pH 6.0) followed by cooling at RT for 20 min.
-
ARG56678 anti-G-CSF antibody WB image
Western blot: 250 - 0.24 ng of Human G-CSF stained with ARG56678 anti-G-CSF antibody, under non-reducing conditions.
-
ARG56678 anti-G-CSF antibody standard curve image
Sandwich ELISA: ARG56678 anti-G-CSF antibody as a capture antibody at 0.5 - 2.0 µg/ml combined with ARG56788 anti-G-CSF antibody (Biotin) as a detection antibody. Results of a typical standard run with optical density.
