ARG59205
anti-GJC1 / Connexin 45 antibody
anti-GJC1 / Connexin 45 antibody for IHC-Formalin-fixed paraffin-embedded sections and Human,Mouse,Rat
Overview
| Product Description | Rabbit Polyclonal antibody recognizes GJC1 / Connexin 45 |
|---|---|
| Tested Reactivity | Hu, Ms, Rat |
| Tested Application | IHC-P |
| Host | Rabbit |
| Clonality | Polyclonal |
| Isotype | IgG |
| Target Name | GJC1 / Connexin 45 |
| Antigen Species | Human |
| Immunogen | Synthetic peptide corresponding to aa. 91-131 of Human GJC1 / Connexin 45. (YLGYAIHKIAKMEHGEADKKAARSKPYAMRWKQHRALEETE) |
| Conjugation | Un-conjugated |
| Alternate Names | Cx45; GJA7; Gap junction gamma-1 protein; CX45; Gap junction alpha-7 protein; Connexin-45 |
Application Instructions
| Application Suggestion |
|
||||
|---|---|---|---|---|---|
| Application Note | IHC-P: Antigen Retrieval: Heat mediated was performed in Citrate buffer (pH 6.0) for 20 min. * The dilutions indicate recommended starting dilutions and the optimal dilutions or concentrations should be determined by the scientist. |
Properties
| Form | Liquid |
|---|---|
| Purification | Affinity purification with immunogen. |
| Buffer | 0.9% NaCl, 0.2% Na2HPO4, 0.05% Sodium azide and 5% BSA. |
| Preservative | 0.05% Sodium azide |
| Stabilizer | 5% BSA |
| Concentration | 0.5 mg/ml |
| Storage Instruction | For continuous use, store undiluted antibody at 2-8°C for up to a week. For long-term storage, aliquot and store at -20°C or below. Storage in frost free freezers is not recommended. Avoid repeated freeze/thaw cycles. Suggest spin the vial prior to opening. The antibody solution should be gently mixed before use. |
| Note | For laboratory research only, not for drug, diagnostic or other use. |
Bioinformation
| Database Links | |
|---|---|
| Gene Symbol | GJC1 |
| Gene Full Name | gap junction protein, gamma 1, 45kDa |
| Background | This gene is a member of the connexin gene family. The encoded protein is a component of gap junctions, which are composed of arrays of intercellular channels that provide a route for the diffusion of low molecular weight materials from cell to cell. Alternatively spliced transcript variants encoding the same isoform have been described. [provided by RefSeq, Jul 2008] |
| Function | One gap junction consists of a cluster of closely packed pairs of transmembrane channels, the connexons, through which materials of low MW diffuse from one cell to a neighboring cell. [UniProt] |
| Cellular Localization | Cell membrane; Multi-pass membrane protein. Cell junction, gap junction. [UniProt] |
| Calculated MW | 45 kDa |
Images (4) Click the Picture to Zoom In
-
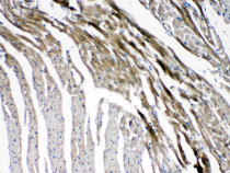
ARG59205 anti-GJC1 / Connexin 45 antibody IHC-P image
Immunohistochemistry: Paraffin-embedded Mouse cardiac muscle tissue. Antigen Retrieval: Heat mediated was performed in Citrate buffer (pH 6.0, epitope retrieval solution) for 20 min. The tissue section was blocked with 10% goat serum. The tissue section was then stained with ARG59205 anti-GJC1 / Connexin 45 antibody at 1 µg/ml dilution, overnight at 4°C.
-
ARG59205 anti-GJC1 / Connexin 45 antibody IHC-P image
Immunohistochemistry: Paraffin-embedded Rat skeletal muscle tissue. Antigen Retrieval: Heat mediated was performed in Citrate buffer (pH 6.0, epitope retrieval solution) for 20 min. The tissue section was blocked with 10% goat serum. The tissue section was then stained with ARG59205 anti-GJC1 / Connexin 45 antibody at 1 µg/ml dilution, overnight at 4°C.
-
ARG59205 anti-GJC1 / Connexin 45 antibody IHC-P image
Immunohistochemistry: Paraffin-embedded Human intestinal cancer tissue. Antigen Retrieval: Heat mediated was performed in Citrate buffer (pH 6.0, epitope retrieval solution) for 20 min. The tissue section was blocked with 10% goat serum. The tissue section was then stained with ARG59205 anti-GJC1 / Connexin 45 antibody at 1 µg/ml dilution, overnight at 4°C.
-
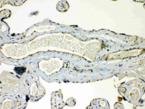
ARG59205 anti-GJC1 / Connexin 45 antibody IHC-P image
Immunohistochemistry: Paraffin-embedded Human placenta tissue. Antigen Retrieval: Heat mediated was performed in Citrate buffer (pH 6.0, epitope retrieval solution) for 20 min. The tissue section was blocked with 10% goat serum. The tissue section was then stained with ARG59205 anti-GJC1 / Connexin 45 antibody at 1 µg/ml dilution, overnight at 4°C.
