ARG46252
anti-LASS6 / CERS6 antibody
anti-LASS6 / CERS6 antibody for Western blot,IHC-Formalin-fixed paraffin-embedded sections and Human,Mouse,Rat
Overview
| Product Description | Rabbit Polyclonal antibody recognizes LASS6 / CERS6 |
|---|---|
| Tested Reactivity | Hu, Ms, Rat |
| Tested Application | IHC-P, WB |
| Host | Rabbit |
| Clonality | Polyclonal |
| Isotype | IgG |
| Target Name | LASS6 / CERS6 |
| Antigen Species | Human |
| Immunogen | A 13 amino acid synthetic peptide within the last 50 amino acids of human LASS6 / CERS6. |
| Conjugation | Un-conjugated |
| Alternate Names | ceramide synthase 6 ; LASS6; CERS5; LASS6; Ceramide synthase 6; LAG1 longevity assurance homolog 6; CerS6 |
Application Instructions
| Application Suggestion |
|
||||||
|---|---|---|---|---|---|---|---|
| Application Note | * The dilutions indicate recommended starting dilutions and the optimal dilutions or concentrations should be determined by the scientist. |
Properties
| Form | Liquid |
|---|---|
| Purification | Affinity chromatography purified |
| Buffer | PBS and 0.02% Sodium azide. |
| Preservative | 0.02% Sodium azide |
| Concentration | 1 mg/ml |
| Storage Instruction | For continuous use, store undiluted antibody at 2-8°C for up to a week. For long-term storage, aliquot and store at -302°C or below. Storage in frost free freezers is not recommended. Avoid repeated freeze/thaw cycles. Suggest spin the vial prior to opening. The antibody solution should be gently mixed before use. |
| Note | For laboratory research only, not for drug, diagnostic or other use. |
Bioinformation
| Database Links | |
|---|---|
| Gene Symbol | CERS6 |
| Gene Full Name | ceramide synthase 6 |
| Background | Enables sphingosine N-acyltransferase activity. Involved in ceramide biosynthetic process. Located in membrane. [provided by Alliance of Genome Resources, Jul 2025] |
| Function | Ceramide synthase that catalyzes the transfer of the acyl chain from acyl-CoA to a sphingoid base, with high selectivity toward palmitoyl-CoA (hexadecanoyl-CoA; C16:0-CoA). [UniProt] |
| Cellular Localization | Endoplasmic reticulum membrane. [UniProt] |
| Calculated MW | 45 kDa |
| PTM | Phosphoprotein; Glycoprotein; Acetylation. [UniProt] |
Images (3) Click the Picture to Zoom In
-
ARG46252 anti-LASS6 / CERS6 antibody ICC/IF image
Immunofluorescence: Mouse Brain stained with ARG46252 anti-LASS6 / CERS6 antibody.
-
ARG46252 anti-LASS6 / CERS6 antibody WB image
Western blot: Rat brain stained with ARG46252 anti-LASS6 / CERS6 antibody.
-
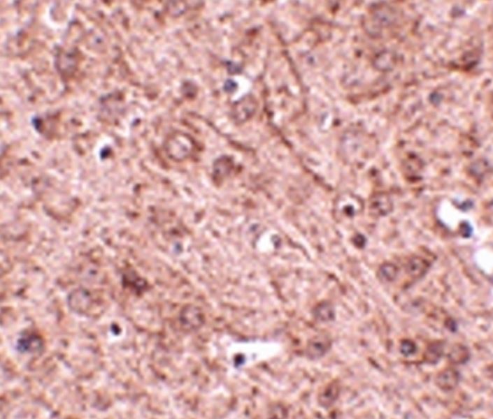
ARG46252 anti-LASS6 / CERS6 antibody IHC-P image
Immunohistochemistry: Mouse brain stained with ARG46252 anti-LASS6 / CERS6 antibody.
