ARG40137
anti-LIPC antibody
anti-LIPC antibody for Flow cytometry,IHC-Formalin-fixed paraffin-embedded sections,Western blot and Human
Overview
| Product Description | Rabbit Polyclonal antibody recognizes LIPC |
|---|---|
| Tested Reactivity | Hu |
| Tested Application | FACS, IHC-P, WB |
| Host | Rabbit |
| Clonality | Polyclonal |
| Isotype | IgG |
| Target Name | LIPC |
| Antigen Species | Human |
| Immunogen | KLH-conjugated synthetic peptide between aa. 310-338 of Human LIPC. |
| Conjugation | Un-conjugated |
| Alternate Names | HTGL; Lipase member C; HL; Hepatic lipase; Hepatic triacylglycerol lipase; LIPH; HDLCQ12; EC 3.1.1.3 |
Application Instructions
| Application Suggestion |
|
||||||||
|---|---|---|---|---|---|---|---|---|---|
| Application Note | * The dilutions indicate recommended starting dilutions and the optimal dilutions or concentrations should be determined by the scientist. | ||||||||
| Positive Control | HT-29 |
Properties
| Form | Liquid |
|---|---|
| Purification | Purification with Protein A and immunogen peptide. |
| Buffer | PBS and 0.09% (W/V) Sodium azide. |
| Preservative | 0.09% (W/V) Sodium azide. |
| Storage Instruction | For continuous use, store undiluted antibody at 2-8°C for up to a week. For long-term storage, aliquot and store at -20°C or below. Storage in frost free freezers is not recommended. Avoid repeated freeze/thaw cycles. Suggest spin the vial prior to opening. The antibody solution should be gently mixed before use. |
| Note | For laboratory research only, not for drug, diagnostic or other use. |
Bioinformation
| Database Links | |
|---|---|
| Gene Symbol | LIPC |
| Gene Full Name | lipase, hepatic |
| Background | LIPC encodes hepatic triglyceride lipase, which is expressed in liver. LIPC has the dual functions of triglyceride hydrolase and ligand/bridging factor for receptor-mediated lipoprotein uptake. [provided by RefSeq, Jul 2008] |
| Function | Hepatic lipase has the capacity to catalyze hydrolysis of phospholipids, mono-, di-, and triglycerides, and acyl-CoA thioesters. It is an important enzyme in HDL metabolism. Hepatic lipase binds heparin. [UniProt] |
| Cellular Localization | Secreted. [UniProt] |
| Calculated MW | 56 kDa |
Images (3) Click the Picture to Zoom In
-
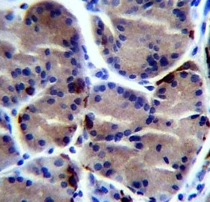
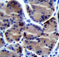
ARG40137 anti-LIPC antibody IHC-P image
Immunohistochemistry: Formalin-fixed and paraffin-embedded Human stomach stained with ARG40137 anti-LIPC antibody.
-
ARG40137 anti-LIPC antibody WB image
Western blot: 20 µg of HT-29 whole cell lysate stained with ARG40137 anti-LIPC antibody at 1:500 dilution.
-
ARG40137 anti-LIPC antibody FACS image
Flow Cytometry: K562 cells stained with ARG40137 anti-LIPC antibody (right histogram) or without primary antibody as control (left histogram), followed by incubation with FITC labelled secondary antibody.
