ARG66453
anti-LIPC antibody
anti-LIPC antibody for IHC-Formalin-fixed paraffin-embedded sections,Western blot and Human,Mouse,Rat
Overview
| Product Description | Rabbit Polyclonal antibody recognizes LIPC |
|---|---|
| Tested Reactivity | Hu, Ms, Rat |
| Tested Application | IHC-P, WB |
| Host | Rabbit |
| Clonality | Polyclonal |
| Isotype | IgG |
| Target Name | LIPC |
| Antigen Species | Human |
| Immunogen | KLH-conjugated synthetic peptide within the center region of Human LIPC. |
| Conjugation | Un-conjugated |
| Alternate Names | HTGL; Lipase member C; HL; Hepatic lipase; Hepatic triacylglycerol lipase; LIPH; HDLCQ12; EC 3.1.1.3 |
Application Instructions
| Application Suggestion |
|
||||||
|---|---|---|---|---|---|---|---|
| Application Note | IHC-P: Antigen Retrieval: Heat mediation was performed in Sodium citrate buffer (pH 6.0). * The dilutions indicate recommended starting dilutions and the optimal dilutions or concentrations should be determined by the scientist. |
Properties
| Form | Liquid |
|---|---|
| Purification | Affinity purification with immunogen. |
| Buffer | 0.42% Potassium phosphate (pH 7.3), 0.87% NaCl, 0.01% Sodium azide and 30% Glycerol. |
| Preservative | 0.01% Sodium azide |
| Stabilizer | 30% Glycerol |
| Storage Instruction | For continuous use, store undiluted antibody at 2-8°C for up to a week. For long-term storage, aliquot and store at -20°C. Storage in frost free freezers is not recommended. Avoid repeated freeze/thaw cycles. Suggest spin the vial prior to opening. The antibody solution should be gently mixed before use. |
| Note | For laboratory research only, not for drug, diagnostic or other use. |
Bioinformation
| Database Links | |
|---|---|
| Gene Symbol | LIPC |
| Gene Full Name | lipase, hepatic |
| Background | LIPC encodes hepatic triglyceride lipase, which is expressed in liver. LIPC has the dual functions of triglyceride hydrolase and ligand/bridging factor for receptor-mediated lipoprotein uptake. [provided by RefSeq, Jul 2008] |
| Function | Hepatic lipase has the capacity to catalyze hydrolysis of phospholipids, mono-, di-, and triglycerides, and acyl-CoA thioesters. It is an important enzyme in HDL metabolism. Hepatic lipase binds heparin. [UniProt] |
| Cellular Localization | Secreted. [UniProt] |
| Calculated MW | 56 kDa |
Images (2) Click the Picture to Zoom In
-
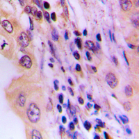
ARG66453 anti-LIPC antibody IHC-P image
Immunohistochemistry: Formalin-fixed and paraffin-embedded Human lung cancer. Antigen Retrieval: Heat mediation was performed in Sodium citrate buffer (pH 6.0). The section was then incubated with ARG66453 anti-LIPC antibody at room temperature and detected using an HRP conjugated compact polymer system. DAB was used as the chromogen. The section was then counterstained with haematoxylin and mounted with DPX.
-
ARG66453 anti-LIPC antibody WB image
Western blot: HEK293T, NIH/3T3 and H9C2 whole cell lysates stained with ARG66453 anti-LIPC antibody.
