ARG22862
anti-Ly6C antibody [ER-MP20]
anti-Ly6C antibody [ER-MP20] for Flow cytometry,IHC-Frozen sections,Immunoprecipitation and Mouse
Mouse Inflammatory Cell Marker antibody; Neurophil Marker antibody; Mouse MDSC Marker antibody; Myeloid-derived suppressor cell antibody
Overview
| Product Description | Rat Monoclonal antibody [ER-MP20] recognizes Ly6C Rat anti Mouse Ly-6C antibody, clone ER-MP20 recognizes murine Ly-6C, a ~14 kDa differentiation antigen, expressed on macrophage/dendritic cell precursors in mid-stage development (late CFU-M, monoblasts and immature monocytes), granulocytes, and on a wide range of endothelial cells and subpopulations of B- and T-lymphocytes.Rat anti Mouse Ly-6C antibody, clone ER-MP20 is able to distinguish multiple mouse blood monocyte subsets: immature Ly-6Chi monocytes are recruited to acute peripheral inflammation and develop into Ly-6C+ exudate macrophages, whereas more mature Ly-6C-/lo monocytes are precursors for tissue macrophages and dendritic cells in steady state.Rat anti Mouse Ly-6C, clone ER-MP20 can be used in conjunction with clone ER-MP12 in two colour flow cytometric analysis, to identify different stages of myeloid progenitor cells in mouse bone marrow (Leenen et al. 1990). |
|---|---|
| Tested Reactivity | Ms |
| Tested Application | FACS, IHC-Fr, IP |
| Host | Rat |
| Clonality | Monoclonal |
| Clone | ER-MP20 |
| Isotype | IgG2a |
| Target Name | Ly6C |
| Antigen Species | Mouse |
| Immunogen | Balb/c macrophage precursor cell hybrids. |
| Conjugation | Un-conjugated |
| Alternate Names | AA959465; Ly-6C1; AA682074; Ly-6C; Lymphocyte antigen 6C1; Ly6c |
Application Instructions
| Application Suggestion |
|
||||||||
|---|---|---|---|---|---|---|---|---|---|
| Application Note | FACS: Use 10 µl of the suggested working dilution to label 10^6 cells in 100 µl. * The dilutions indicate recommended starting dilutions and the optimal dilutions or concentrations should be determined by the scientist. |
Properties
| Form | Liquid |
|---|---|
| Purification | Purification with Protein G. |
| Buffer | PBS and 0.09% Sodium azide |
| Preservative | 0.09% Sodium azide |
| Concentration | 1 mg/ml |
| Storage Instruction | For continuous use, store undiluted antibody at 2-8°C for up to a week. For long-term storage, aliquot and store at -20°C or below. Storage in frost free freezers is not recommended. Avoid repeated freeze/thaw cycles. Suggest spin the vial prior to opening. The antibody solution should be gently mixed before use. |
| Note | For laboratory research only, not for drug, diagnostic or other use. |
Bioinformation
| Database Links | |
|---|---|
| Gene Symbol | Ly6c1 |
| Gene Full Name | lymphocyte antigen 6 complex, locus C1 |
| Highlight | Related products: Ly6 antibodies; Ly6 ELISA Kits; Ly6 Duos / Panels; Anti-Rat IgG secondary antibodies; Related news: New antibody panels and duos for Tumor immune microenvironment Exploring Antiviral Immune Response |
| Research Area | Mouse Inflammatory Cell Marker antibody; Neurophil Marker antibody; Mouse MDSC Marker antibody; Myeloid-derived suppressor cell antibody |
| Calculated MW | 14 kDa |
Images (3) Click the Picture to Zoom In
-
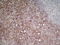
ARG22862 anti-Ly6C antibody [ER-MP20] IHC-Fr image
Immunohistochemistry: Mouse lymph node cryosection stained with ARG22862 anti-Ly6C antibody [ER-MP20] followed by HRP-conjugated Goat anti Rat IgG antibody. (Low power).
-
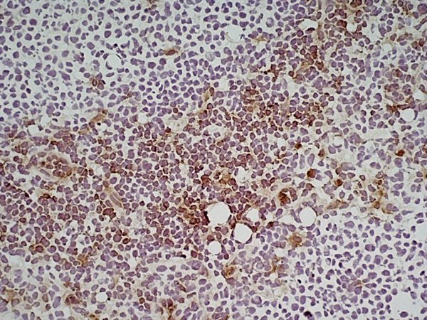
ARG22862 anti-Ly6C antibody [ER-MP20] IHC-Fr image
Immunohistochemistry: Mouse lymph node cryosection stained with ARG22862 anti-Ly6C antibody [ER-MP20] followed by HRP-conjugated Goat anti Rat IgG antibody. (Medium power).
-
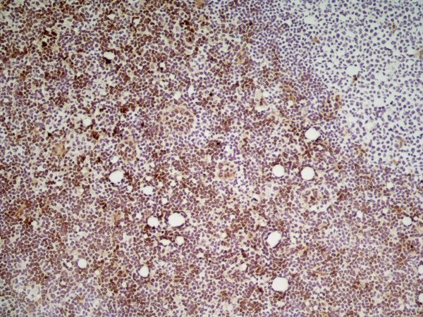
ARG22862 anti-Ly6C antibody [ER-MP20] IHC-Fr image
Immunohistochemistry: Mouse lymph node cryosection stained with ARG22862 anti-Ly6C antibody [ER-MP20] followed by HRP-conjugated Goat anti Rat IgG antibody. (High power).
