ARG45469
anti-MAP4K5 antibody
anti-MAP4K5 antibody for ICC/IF,IHC-Formalin-fixed paraffin-embedded sections,Western blot and Human
Overview
| Product Description | Rabbit Polyclonal antibody recognizes MAP4K5 |
|---|---|
| Tested Reactivity | Hu |
| Tested Application | ICC/IF, IHC-P, WB |
| Host | Rabbit |
| Clonality | Polyclonal |
| Isotype | IgG |
| Target Name | MAP4K5 |
| Antigen Species | Human |
| Immunogen | Synthetic peptide corresponding to N-terminal region of human MAP4K5. |
| Conjugation | Un-conjugated |
| Alternate Names | MAP4K5; Mitogen-Activated Protein Kinase Kinase Kinase Kinase 5; KHS; KHS1; GCKR; MAPK/ERK Kinase Kinase Kinase 5; Kinase Homologous To SPS1/STE20; Germinal Center Kinase-Related; MEK Kinase Kinase 5 |
Application Instructions
| Application Suggestion |
|
||||||||
|---|---|---|---|---|---|---|---|---|---|
| Application Note | * The dilutions indicate recommended starting dilutions and the optimal dilutions or concentrations should be determined by the scientist. | ||||||||
| Observed Size | 95 kDa |
Properties
| Form | Liquid |
|---|---|
| Purification | Affinity purified |
| Buffer | 0.9% NaCl, 0.2% Na2HPO4, 0.01% Sodium azide and 4% Trehalose. |
| Preservative | 0.01% Sodium azide |
| Stabilizer | 4% Trehalose |
| Concentration | 0.5 mg/ml |
| Storage Instruction | For continuous use, store undiluted antibody at 2-8°C for up to a week. For long-term storage, aliquot and store at -20°C or below. Storage in frost free freezers is not recommended. Avoid repeated freeze/thaw cycles. Suggest spin the vial prior to opening. The antibody solution should be gently mixed before use. |
| Note | For laboratory research only, not for drug, diagnostic or other use. |
Bioinformation
| Database Links |
Swiss-port # Q9Y4K4 Human Mitogen-activated protein kinase kinase kinase kinase 5 |
|---|---|
| Gene Symbol | MAP4K5 |
| Gene Full Name | Mitogen-Activated Protein Kinase Kinase Kinase Kinase 5 |
| Background | This gene encodes a member of the serine/threonine protein kinase family, that is highly similar to yeast SPS1/STE20 kinase. Yeast SPS1/STE20 functions near the beginning of the MAP kinase signal cascades that is essential for yeast pheromone response. This kinase was shown to activate Jun kinase in mammalian cells, which suggested a role in stress response. Two alternatively spliced transcript variants encoding the same protein have been described for this gene. |
| Function | May play a role in the response to environmental stress. Appears to act upstream of the JUN N-terminal pathway. [UniProt] |
| Cellular Localization | Cytoplasm. [UniProt] |
| Calculated MW | 95 kDa |
| PTM | Phosphoprotein. [UniProt] |
Images (3) Click the Picture to Zoom In
-
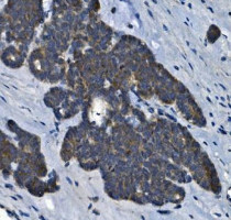
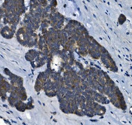
ARG45469 anti-MAP4K5 antibody IHC-P image
Immunohistochemistry: Human ovarian cancer stained with ARG45469 anti-MAP4K5 antibody at 2 μg/ml dilution.
-
ARG45469 anti-MAP4K5 antibody ICC/IF image
Immunofluorescence: A431 stained with ARG45469 anti-MAP4K5 antibody at 5 μg/ml dilution.
-
ARG45469 anti-MAP4K5 antibody WB image
Western blot: Jurkat stained with ARG45469 anti-MAP4K5 antibody at 0.5 μg/ml dilution.
