ARG44021
anti-MFSD2A antibody
anti-MFSD2A antibody for IHC-Formalin-fixed paraffin-embedded sections,Western blot and Human,Mouse,Rat
Overview
| Product Description | Rabbit Polyclonal antibody recognizes MFSD2A |
|---|---|
| Tested Reactivity | Hu, Ms, Rat |
| Tested Application | IHC-P, WB |
| Host | Rabbit |
| Clonality | Polyclonal |
| Isotype | IgG |
| Target Name | MFSD2A |
| Antigen Species | Human |
| Immunogen | Human MFSD2A recombinantprotein |
| Conjugation | Un-conjugated |
| Protein Full Name | Sodium-dependent lysophosphatidylcholine symporter 1 |
| Alternate Names | MFSD2A; MFSD2 Lysolipid Transporter A, Lysophospholipid; Sodium-Dependent Lysophosphatidylcholine Symporter 1; Major Facilitator Superfamily Domain Containing 2A; Sodium-Dependent LPC Symporter 1; SLC59A1; MFSD2; Major Facilitator Superfamily Domain-Containing Protein 2A; FLJ14490; HsMFSD2A; NLS1; Major Facilitator Superfamily Domain Containing 2; NEDMISBA; MCPH15; MFSD2a |
Application Instructions
| Application Suggestion |
|
||||||
|---|---|---|---|---|---|---|---|
| Application Note | * The dilutions indicate recommended starting dilutions and the optimal dilutions or concentrations should be determined by the scientist. |
Properties
| Form | Liquid |
|---|---|
| Purification | Affinity purified. |
| Buffer | PBS containing 0.02% sodium azide |
| Preservative | 0.02% sodium azide |
| Concentration | 1 mg/ml |
| Storage Instruction | For continuous use, store undiluted antibody at 2-8°C for up to a week. For long-term storage, aliquot and store at -20°C or below. Storage in frost free freezers is not recommended. Avoid repeated freeze/thaw cycles. Suggest spin the vial prior to opening. The antibody solution should be gently mixed before use. |
| Note | For laboratory research only, not for drug, diagnostic or other use. |
Bioinformation
| Database Links |
Swiss-port # Q8NA29 Human Sodium-dependent lysophosphatidylcholine symporter 1 Swiss-port # Q9DA75 Mouse Sodium-dependent lysophosphatidylcholine symporter 1 |
|---|---|
| Gene Symbol | MFSD2A |
| Gene Full Name | MFSD2 Lysolipid Transporter A, Lysophospholipid |
| Background | The protein encoded by this gene is a transmembrane protein and sodium-dependent lysophosphatidylcholine transporter. The encoded protein is involved in the establishment of the blood-brain barrier and is required for brain growth and function. Defects in this gene are a cause of a progressive microcephaly syndrome. |
| Function | In placenta, acts as a receptor for ERVFRD-1/syncytin-2 and is required for trophoblast fusion. |
| Cellular Localization | Cell membrane, Endoplasmic reticulum, Membrane |
| Calculated MW | 60 kDa |
| PTM | Disulfide bond, Glycoprotein |
Images (4) Click the Picture to Zoom In
-
ARG44021 anti-MFSD2A antibody IHC-P image
Immunohistochemistry: Human brain stained with ARG44021 anti-MFSD2A antibody at 5 μg/ml dilution.
-
ARG44021 anti-MFSD2A antibody WB image
Western blot: Rat lung stained with ARG44021 anti-MFSD2A antibody at 2 μg/mL dilution.
-
ARG44021 anti-MFSD2A antibody IHC-P image
Immunohistochemistry: Mouse lung stained with ARG44021 anti-MFSD2A antibody at 20 μg/ml dilution.
-
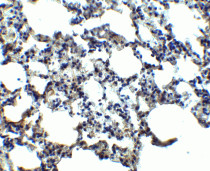
ARG44021 anti-MFSD2A antibody IHC-P image
Immunohistochemistry: Mouse lung stained with ARG44021 anti-MFSD2A antibody at 2.5 μg/ml dilution.
