ARG42166
anti-MOB2 / HCCA2 antibody
anti-MOB2 / HCCA2 antibody for Flow cytometry,IHC-Formalin-fixed paraffin-embedded sections,Western blot and Human
Overview
| Product Description | Rabbit Polyclonal antibody recognizes MOB2 / HCCA2 |
|---|---|
| Tested Reactivity | Hu |
| Tested Application | FACS, IHC-P, WB |
| Host | Rabbit |
| Clonality | Polyclonal |
| Isotype | IgG |
| Target Name | MOB2 / HCCA2 |
| Antigen Species | Human |
| Immunogen | KLH-conjugated synthetic peptide between aa. 5-32 of Human MOB2 / HCCA2. |
| Conjugation | Un-conjugated |
| Alternate Names | MOB kinase activator 2; Mps one binder kinase activator-like 2; HCCA2; Mob2 homolog |
Application Instructions
| Application Suggestion |
|
||||||||
|---|---|---|---|---|---|---|---|---|---|
| Application Note | * The dilutions indicate recommended starting dilutions and the optimal dilutions or concentrations should be determined by the scientist. | ||||||||
| Positive Control | HeLa | ||||||||
| Observed Size | ~ 24 kDa |
Properties
| Form | Liquid |
|---|---|
| Purification | Purification with Protein A and immunogen peptide. |
| Buffer | PBS and 0.09% (W/V) Sodium azide. |
| Preservative | 0.09% (W/V) Sodium azide |
| Storage Instruction | For continuous use, store undiluted antibody at 2-8°C for up to a week. For long-term storage, aliquot and store at -20°C or below. Storage in frost free freezers is not recommended. Avoid repeated freeze/thaw cycles. Suggest spin the vial prior to opening. The antibody solution should be gently mixed before use. |
| Note | For laboratory research only, not for drug, diagnostic or other use. |
Bioinformation
| Database Links | |
|---|---|
| Gene Symbol | MOB2 |
| Gene Full Name | MOB kinase activator 2 |
| Function | Stimulates the autophosphorylation and kinase activity of STK38 and STK38L. [UniProt] |
| Cellular Localization | Nucleus. Cytoplasm, perinuclear region. [UniProt] |
| Calculated MW | 27 kDa |
| PTM | Phosphorylated. [UniProt] |
Images (3) Click the Picture to Zoom In
-
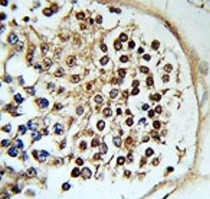
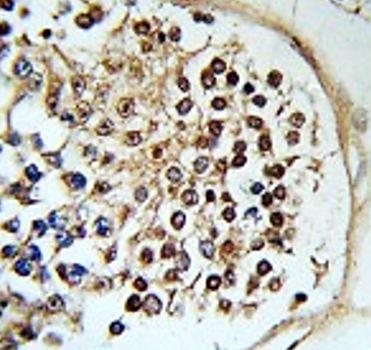
ARG42166 anti-MOB2 / HCCA2 antibody IHC-P image
Immunohistochemistry: Formalin-fixed and paraffin-embedded Human testis tissue stained with ARG42166 anti-MOB2 / HCCA2 antibody.
-
ARG42166 anti-MOB2 / HCCA2 antibody WB image
Western blot: 35 µg of HeLa cell lysate stained with ARG42166 anti-MOB2 / HCCA2 antibody at 1:1000 dilution.
-
ARG42166 anti-MOB2 / HCCA2 antibody FACS image
Flow Cytometry: MCF7 cells stained with ARG42166 anti-MOB2 / HCCA2 antibody (bottom histogram) or without primary antibody as control (top histogram), followed by incubation with FITC labelled secondary antibody.
