ARG44110
anti-NUDCD3 antibody
anti-NUDCD3 antibody for Flow cytometry,ICC/IF,IHC-Formalin-fixed paraffin-embedded sections,Western blot and Human
Overview
| Product Description | Rabbit Polyclonal recognizes NUDCD3 |
|---|---|
| Tested Reactivity | Hu |
| Tested Application | FACS, ICC/IF, IHC-P, WB |
| Host | Rabbit |
| Clonality | Polyclonal |
| Isotype | IgG |
| Target Name | NUDCD3 |
| Antigen Species | Human |
| Immunogen | Human NUDCD3 recombinant protein (Position: M1-Y271). |
| Conjugation | Un-conjugated |
| Alternate Names | NUDCD3; NudC Domain Containing 3; KIAA1068; NudCL; NudC Domain-Containing Protein 3; NudC-Like Protein |
Application Instructions
| Application Suggestion |
|
||||||||||
|---|---|---|---|---|---|---|---|---|---|---|---|
| Application Note | The dilutions indicate recommended starting dilutions and the optimal dilutions or concentrations should be determined by the scientist. |
Properties
| Form | Liquid |
|---|---|
| Purification | Affinity purification with immunogen. |
| Buffer | 0.9% NaCl, 0.2% Na2HPO4, 0.05% Sodium azide and 4% Trehalose. |
| Preservative | 0.05% Sodium azide |
| Stabilizer | 4% Trehalose |
| Concentration | 0.5 mg/ml |
| Storage Instruction | For continuous use, store undiluted antibody at 2-8°C for up to a week. For long-term storage, aliquot and store at -20°C or below. Storage in frost free freezers is not recommended. Avoid repeated freeze/thaw cycles. Suggest spin the vial prior to opening. The antibody solution should be gently mixed before use. |
| Note | For laboratory research only, not for drug, diagnostic or other use. |
Bioinformation
| Database Links | |
|---|---|
| Gene Symbol | NUDCD3 |
| Gene Full Name | NudC Domain Containing 3 |
| Background | The product of this gene functions to maintain the stability of dynein intermediate chain. Depletion of this gene product results in aggregation and degradation of dynein intermediate chain, mislocalization of the dynein complex from kinetochores, spindle microtubules, and spindle poles, and loss of gamma-tubulin from spindle poles. The protein localizes to the Golgi apparatus during interphase, and levels of the protein increase after the G1/S transition. |
| Cellular Localization | Cytoplasm |
| Calculated MW | 41 kDa |
| PTM | Phosphoprotein |
Images (4) Click the Picture to Zoom In
-
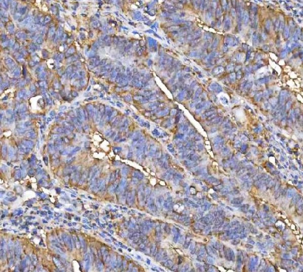
ARG44110 anti-NUDCD3 antibody IHC-P image
Immunohistochemistry: Human colorectal adenocarcinoma stained with ARG44110 anti-NUDCD3 antibody at 2 μg/ml dilution.
-
ARG44110 anti-NUDCD3 antibody ICC/IF image
Immunofluorescence: U2OS stained with ARG44110 anti-NUDCD3 antibody at 5 μg/ml dilution.
-
ARG44110 anti-NUDCD3 antibody WB image
Western blot: 293T and SH-SY5Y stained with ARG44110 anti-NUDCD3 antibody at 0.5 μg/mL dilution.
-
ARG44110 anti-NUDCD3 antibody FACS image
Flow Cytometry: RT4 stained with ARG44110 anti-NUDCD3 antibody at 1 µg/10^6 cells dilution.
