ARG55896
anti-Nrf 2 phospho (Ser40) antibody
anti-Nrf 2 phospho (Ser40) antibody for ICC/IF,IHC-Formalin-fixed paraffin-embedded sections,Western blot and Human,Mouse,Rat
Cell Biology and Cellular Response antibody; Gene Regulation antibody; Metabolism antibody; NRF-2 Nuclear Localization antibody
Overview
| Product Description | Rabbit Polyclonal antibody recognizes Nrf 2 phospho (Ser40) |
|---|---|
| Tested Reactivity | Hu, Ms, Rat |
| Tested Application | ICC/IF, IHC-P, WB |
| Host | Rabbit |
| Clonality | Polyclonal |
| Isotype | IgG |
| Target Name | Nrf 2 |
| Antigen Species | Human |
| Immunogen | KLH-conjugated phosphospecific peptide around Ser40 of Human Nrf 2. |
| Conjugation | Un-conjugated |
| Alternate Names | Nuclear factor, erythroid derived 2, like 2; NF-E2-related factor 2; Nuclear factor erythroid 2-related factor 2; HEBP1; NRF2; NFE2-related factor 2 |
Application Instructions
| Application Suggestion |
|
||||||||
|---|---|---|---|---|---|---|---|---|---|
| Application Note | * The dilutions indicate recommended starting dilutions and the optimal dilutions or concentrations should be determined by the scientist. | ||||||||
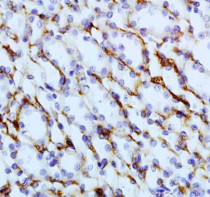
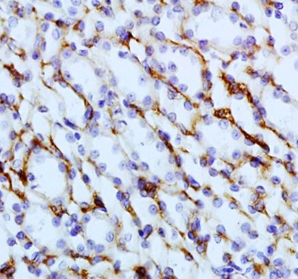
| Positive Control | Mouse muscle |
Properties
| Form | Liquid |
|---|---|
| Purification | Affinity purification with phospho-specific peptide and the non-phospho specific antibodies were removed by chromatography using non-phosphopeptide. |
| Buffer | PBS (pH 7.4), 150 mM NaCl, 0.02% Sodium azide and 50% Glycerol. |
| Preservative | 0.02% Sodium azide |
| Stabilizer | 50% Glycerol |
| Storage Instruction | For continuous use, store undiluted antibody at 2-8°C for up to a week. For long-term storage, aliquot and store at -20°C. Storage in frost free freezers is not recommended. Avoid repeated freeze/thaw cycles. Suggest spin the vial prior to opening. The antibody solution should be gently mixed before use. |
| Note | For laboratory research only, not for drug, diagnostic or other use. |
Bioinformation
| Database Links | |
|---|---|
| Gene Symbol | NFE2L2 |
| Gene Full Name | nuclear factor, erythroid 2-like 2 |
| Background | This gene encodes a transcription factor which is a member of a small family of basic leucine zipper (bZIP) proteins. The encoded transcription factor regulates genes which contain antioxidant response elements (ARE) in their promoters; many of these genes encode proteins involved in response to injury and inflammation which includes the production of free radicals. Multiple transcript variants encoding different isoforms have been characterized for this gene. [provided by RefSeq, Sep 2015] |
| Function | Transcription activator that binds to antioxidant response (ARE) elements in the promoter regions of target genes. Important for the coordinated up-regulation of genes in response to oxidative stress. May be involved in the transcriptional activation of genes of the beta-globin cluster by mediating enhancer activity of hypersensitive site 2 of the beta-globin locus control region. [UniProt] |
| Highlight | Related products: Nrf 2 antibodies; Nrf 2 Duos / Panels; Anti-Rabbit IgG secondary antibodies; Related news: Keap1-Nrf2-ARE antibody panel is launched |
| Research Area | Cell Biology and Cellular Response antibody; Gene Regulation antibody; Metabolism antibody; NRF-2 Nuclear Localization antibody |
| Calculated MW | 68 kDa |
| PTM | Phosphorylation of Ser-40 by PKC in response to oxidative stress dissociates NFE2L2 from its cytoplasmic inhibitor KEAP1, promoting its translocation into the nucleus. Acetylation at Lys-596 and Lys-599 increases nuclear localization whereas deacetylation by SIRT1 enhances cytoplasmic presence. Ubiquitinated by the KEAP1-CUL3-RBX1 E3 ubiquitin ligase complex and subject to proteasomal degradation. Ubiquitination is inhibited by sulforaphane. |
Images (1) Click the Picture to Zoom In
