ARG10786
anti-PDE10A antibody
anti-PDE10A antibody for Confocal microscopy (Confocal),Dot blot,ELISA,ICC/IF,IHC-Formalin-fixed paraffin-embedded sections,Immunoprecipitation,Western blot and Human,Mouse,Rat,Monkey
Overview
| Product Description | Rabbit Polyclonal antibody recognizes PDE10A |
|---|---|
| Tested Reactivity | Hu, Ms, Rat, Mk |
| Tested Application | Confocal, Dot, ELISA, ICC/IF, IHC-P, IP, WB |
| Host | Rabbit |
| Clonality | Polyclonal |
| Isotype | IgG |
| Target Name | PDE10A |
| Antigen Species | Human |
| Immunogen | Synthetic multiple antigenic peptide around the aa. 250-325 of Human PDE10A. |
| Conjugation | Un-conjugated |
| Alternate Names | HSPDE10A; cAMP and cAMP-inhibited cGMP 3',5'-cyclic phosphodiesterase 10A; EC 3.1.4.17; EC 3.1.4.35 |
Application Instructions
| Application Suggestion |
|
||||||||||||||||
|---|---|---|---|---|---|---|---|---|---|---|---|---|---|---|---|---|---|
| Application Note | * The dilutions indicate recommended starting dilutions and the optimal dilutions or concentrations should be determined by the scientist. |
Properties
| Form | Liquid |
|---|---|
| Purification | Affinity purified. |
| Buffer | Tris-Glycine Buffer (pH 7.4 - 7.8), Hepes, 0.02% Sodium azide, 30% Glycerol and 0.5% BSA. |
| Preservative | 0.02% Sodium azide |
| Stabilizer | 30% Glycerol and 0.5% BSA |
| Concentration | 0.5 mg/ml |
| Storage Instruction | For continuous use, store undiluted antibody at 2-8°C for up to a week. For long-term storage, aliquot and store at -20°C. Storage in frost free freezers is not recommended. Avoid repeated freeze/thaw cycles. Suggest spin the vial prior to opening. The antibody solution should be gently mixed before use. |
| Note | For laboratory research only, not for drug, diagnostic or other use. |
Bioinformation
| Database Links | |
|---|---|
| Gene Symbol | PDE10A |
| Gene Full Name | phosphodiesterase 10A |
| Background | The protein encoded by this gene belongs to the cyclic nucleotide phosphodiesterase family. It plays a role in signal transduction by regulating the intracellular concentration of cyclic nucleotides. This protein can hydrolyze both cAMP and cGMP to the corresponding nucleoside 5' monophosphate, but has higher affinity for cAMP, and is more efficient with cAMP as substrate. Alternatively spliced transcript variants have been described for this gene. [provided by RefSeq, Dec 2011] |
| Function | Plays a role in signal transduction by regulating the intracellular concentration of cyclic nucleotides. Can hydrolyze both cAMP and cGMP, but has higher affinity for cAMP and is more efficient with cAMP as substrate. [UniProt] |
| Calculated MW | 88 kDa |
| PTM | Isoform PDE10A2: Phosphorylated on Thr-16. |
Images (3) Click the Picture to Zoom In
-
ARG10786 anti-PDE10A antibody IHC-P image
Immunohistochemistry: Paraffin-embedded Rat testis tissue section. A) Negative control, B) Stained with ARG10786 anti-PDE10A antibody at 1:200 dilution.
-
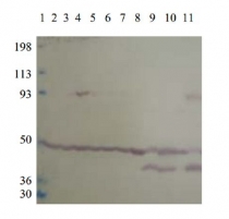
ARG10786 anti-PDE10A antibody WB image
Western blot: Rat samples: 1) frontal cortex, 2) parietal cortex, 3) striatum, 4) amygdala, 5) hypothalamus, 6) hippocampus, 7) olfactory bulb, 8) brain stem, 9) cerebellum, 10) spinal cord, and 11) whole brain lysates stained with ARG10786 anti-PDE10A antibody at 1:500 dilution.
-
ARG10786 anti-PDE10A antibody WB image
Western blot: Rat striatum lysates stained with ARG10786 anti-PDE10A antibody at 1:500 dilution.
