ARG45605
anti-PLP2 antibody
anti-PLP2 antibody for Flow cytometry,IHC-Formalin-fixed paraffin-embedded sections,Western blot and Human
Overview
| Product Description | Rabbit Polyclonal antibody recognizes PLP2 |
|---|---|
| Tested Reactivity | Hu |
| Tested Application | FACS, IHC-P, WB |
| Host | Rabbit |
| Clonality | Polyclonal |
| Isotype | IgG |
| Target Name | PLP2 |
| Antigen Species | Human |
| Immunogen | Recombinant protein containing to human PLP2. |
| Conjugation | Un-conjugated |
| Alternate Names | PLP2; Proteolipid Protein 2; A4; Proteolipid Protein 2 (Colonic Epithelium-Enriched); A4 Differentiation-Dependent Protein; Differentiation-Dependent Protein A4; Intestinal Membrane A4 Protein; MGC126187; A4-LSB; A4LSB |
Application Instructions
| Application Suggestion |
|
||||||||
|---|---|---|---|---|---|---|---|---|---|
| Application Note | * The dilutions indicate recommended starting dilutions and the optimal dilutions or concentrations should be determined by the scientist. |
Properties
| Form | Liquid |
|---|---|
| Purification | Affinity purified |
| Buffer | 0.2% Na2HPO4, 0.9% NaCl and 4% Trehalose. |
| Stabilizer | 4% Trehalose |
| Concentration | 0.5 mg/ml |
| Storage Instruction | For continuous use, store undiluted antibody at 2-8°C for up to a week. For long-term storage, aliquot and store at -20°C or below. Storage in frost free freezers is not recommended. Avoid repeated freeze/thaw cycles. Suggest spin the vial prior to opening. The antibody solution should be gently mixed before use. |
| Note | For laboratory research only, not for drug, diagnostic or other use. |
Bioinformation
| Database Links | |
|---|---|
| Gene Symbol | PLP2 |
| Gene Full Name | Proteolipid Protein 2 |
| Background | This gene encodes an integral membrane protein that localizes to the endoplasmic reticulum in colonic epithelial cells. The encoded protein can multimerize and may function as an ion channel. A polymorphism in the promoter of this gene may be linked to an increased risk of X-linked cognitive disability. A pseudogene of this gene is found on chromosome 5. [provided by RefSeq, Jan 2010] |
| Function | May play a role in cell differentiation in the intestinal epithelium. [UniProt] |
| Cellular Localization | Membrane. [UniProt] |
| Calculated MW | 86 kDa |
| PTM | Glycoprotein. [UniProt] |
Images (3) Click the Picture to Zoom In
-
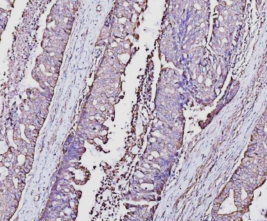
ARG45605 anti-PLP2 antibody IHC-P image
Immunohistochemistry: Human adenocarcinoma of the right colon stained with ARG45605 anti-PLP2 antibody at 2 μg/ml dilution.
-
ARG45605 anti-PLP2 antibody WB image
Western blot: A431 stained with ARG45605 anti-PLP2 antibody at 0.5 μg/ml dilution.
-
ARG45605 anti-PLP2 antibody FACS image
Flow Cytometry: Daudi stained with ARG45605 anti-PLP2 antibody at 1 µg/10^6 cells dilution.
