ARG54138
anti-Prominin 1 antibody
anti-Prominin 1 antibody for Flow cytometry,ICC/IF,IHC-Formalin-fixed paraffin-embedded sections,Western blot and Human
Cancer antibody; Cell Death antibody; Gene Regulation antibody
2
Overview
| Product Description | Mouse Monoclonal antibody recognizes Prominin 1 |
|---|---|
| Tested Reactivity | Hu |
| Tested Application | FACS, ICC/IF, IHC-P, WB |
| Host | Mouse |
| Clonality | Monoclonal |
| Isotype | IgG2a |
| Target Name | Prominin 1 |
| Antigen Species | Human |
| Immunogen | Purified recombinant human Prominin-1 protein fragments expressed in E.coli. |
| Conjugation | Un-conjugated |
| Alternate Names | CORD12; CD133; RP41; Antigen AC133; MCDR2; CD antigen CD133; PROML1; AC133; Prominin-like protein 1; Prominin-1; MSTP061; STGD4 |
Application Instructions
| Application Suggestion |
|
||||||||||
|---|---|---|---|---|---|---|---|---|---|---|---|
| Application Note | * The dilutions indicate recommended starting dilutions and the optimal dilutions or concentrations should be determined by the scientist. |
Properties
| Form | Liquid |
|---|---|
| Purification | Affinity purified |
| Buffer | PBS (pH 7.4), 0.02% Sodium azide, 0.1mg/ml BSA and 50% Glycerol |
| Preservative | 0.02% Sodium azide |
| Stabilizer | 0.1mg/ml BSA, 50% Glycerol |
| Concentration | 0.4 mg/ml |
| Storage Instruction | For continuous use, store undiluted antibody at 2-8°C for up to a week. For long-term storage, aliquot and store at -20°C. Storage in frost free freezers is not recommended. Avoid repeated freeze/thaw cycles. Suggest spin the vial prior to opening. The antibody solution should be gently mixed before use. |
| Note | For laboratory research only, not for drug, diagnostic or other use. |
Bioinformation
| Database Links | |
|---|---|
| Gene Symbol | PROM1 |
| Background | Binds cholesterol in cholesterol-containing plasma membrane microdomains.Proposed to play a role in apical plasma membrane organization of epithelial cells.During early retinal development acts as a key regulator of disk morphogenesis.Involved in regulation of MAPK and Akt signaling pathways.In neuroblastoma cells suppresses cell differentiation such as neurite outgrowth in a RET-dependent manner. |
| Cellular Localization | Cell projection > cilium > photoreceptor outer segment. Isoform 1: Apical cell membrane; Multi-pass membrane protein By similarity. Cell projection > microvillus membrane; Multi-pass membrane protein. |
| Highlight | Related products: Prominin1 antibodies; Anti-Mouse IgG secondary antibodies; Related news: Stem cell and the regenerative medicine: Ready for the patients |
| Research Area | Cancer antibody; Cell Death antibody; Gene Regulation antibody |
| Calculated MW | 97 kDa |
| PTM | Isoform 1 and isoform 2 are glycosylated. Acetylation at Lys-225, Lys-257 and Lys-264 by NAT8 and NAT8B may control PROM1 protein expression and its function in cell apoptosis. |
Images (3) Click the Picture to Zoom In
-
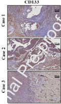
ARG54138 anti-Prominin 1 antibody IHC-P image
Immunohistochemistry: Human UTUC stained with ARG54138 anti-Prominin 1 antibody.
From Yeh BW et al. Toxicol Appl Pharmacol- (2020), doi: 10.1016/j.taap.2020.115129, Fig. 6. B.
-
ARG54138 anti-Prominin 1 antibody WB image
Western blot: 30 µg of HUVEC cell lysate stained with ARG54138 anti-Prominin 1 antibody at 1:1000 dilution.
-
ARG54138 anti-Prominin 1 antibody WB image
Western blot: 30 µg of HCT116 cell lysate stained with ARG54138 anti-Prominin 1 antibody at 1:1000 dilution.
Customer's Feedback

