ARG51823
anti-STAT2 phospho (Tyr690) antibody
anti-STAT2 phospho (Tyr690) antibody for Western blot and Human
Gene Regulation antibody; Signaling Transduction antibody
Overview
| Product Description | Rabbit Polyclonal antibody recognizes STAT2 phospho (Tyr690) |
|---|---|
| Tested Reactivity | Hu |
| Tested Application | WB |
| Host | Rabbit |
| Clonality | Polyclonal |
| Isotype | IgG |
| Target Name | STAT2 |
| Antigen Species | Human |
| Immunogen | Peptide sequence around phosphorylation site of tyrosine 690 (R-K-Y(p)-L-K)derived from Human Stat2 |
| Conjugation | Un-conjugated |
| Alternate Names | P113; Signal transducer and activator of transcription 2; STAT113; p113; ISGF-3 |
Application Instructions
| Application Suggestion |
|
||||
|---|---|---|---|---|---|
| Application Note | * The dilutions indicate recommended starting dilutions and the optimal dilutions or concentrations should be determined by the scientist. |
Properties
| Form | Liquid |
|---|---|
| Purification | Antibodies were produced by immunizing rabbits with KLH-conjugated synthetic phosphopeptide. Antibodies were purified by affinity-chromatography using epitope-specific phosphopeptide. In addition, non-phospho specific antibodies were removed by chromatogramphy using non-phosphopeptide. |
| Buffer | PBS (without Mg2+ and Ca2+, pH 7.4), 150mM NaCl, 0.02% Sodium azide and 50% Glycerol. |
| Preservative | 0.02% Sodium azide |
| Stabilizer | 50% Glycerol |
| Concentration | 1 mg/ml |
| Storage Instruction | For continuous use, store undiluted antibody at 2-8°C for up to a week. For long-term storage, aliquot and store at -20°C. Storage in frost free freezers is not recommended. Avoid repeated freeze/thaw cycles. Suggest spin the vial prior to opening. The antibody solution should be gently mixed before use. |
| Note | For laboratory research only, not for drug, diagnostic or other use. |
Bioinformation
| Database Links |
Swiss-port # P52630 Human Signal transducer and activator of transcription 2 |
|---|---|
| Gene Symbol | STAT2 |
| Gene Full Name | signal transducer and activator of transcription 2, 113kDa |
| Background | The protein encoded by this gene is a member of the STAT protein family. In response to cytokines and growth factors, STAT family members are phosphorylated by the receptor associated kinases, and then form homo- or heterodimers that translocate to the cell nucleus where they act as transcription activators. In response to interferon (IFN), this protein forms a complex with STAT1 and IFN regulatory factor family protein p48 (ISGF3G), in which this protein acts as a transactivator, but lacks the ability to bind DNA directly. Transcription adaptor P300/CBP (EP300/CREBBP) has been shown to interact specifically with this protein, which is thought to be involved in the process of blocking IFN-alpha response by adenovirus. Multiple transcript variants encoding different isoforms have been found for this gene. |
| Function | Signal transducer and activator of transcription that mediates signaling by type I IFNs (IFN-alpha and IFN-beta). Following type I IFN binding to cell surface receptors, Jak kinases (TYK2 and JAK1) are activated, leading to tyrosine phosphorylation of STAT1 and STAT2. The phosphorylated STATs dimerize, associate with IRF9/ISGF3G to form a complex termed ISGF3 transcription factor, that enters the nucleus. ISGF3 binds to the IFN stimulated response element (ISRE) to activate the transcription of interferon stimulated genes, which drive the cell in an antiviral state. [UniProt] |
| Highlight | Related products: STAT2 antibodies; Anti-Rabbit IgG secondary antibodies; Related news: Exploring Antiviral Immune Response circNDUFB2, a circular RNA (circRNA), activates anti-tumor immunity |
| Research Area | Gene Regulation antibody; Signaling Transduction antibody |
| Calculated MW | 98 kDa |
| PTM | Tyrosine phosphorylated in response to IFN-alpha. Phosphorylation at Ser-287 negatively regulates the transcriptional response. |
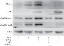
Images (2) Click the Picture to Zoom In
-
ARG51823 anti-STAT2 phospho (Tyr690) antibody WB image
Western blot: AFMSCs stained with ARG51823 anti-STAT2 phospho (Tyr690) antibody.
From Du J et al. Stem Cells International- (2019), doi: 10.1155/2019/4592701, Fig. 4. A.
-
ARG51823 anti-STAT2 phospho (Tyr690) antibody WB image
Western blot: Extracts from HeLa cells untreated or treated with IFN-a stained with ARG51823 anti-STAT2 phospho (Tyr690) antibody.

