ARG43695
anti-TCP1 beta antibody
anti-TCP1 beta antibody for ICC/IF,IHC-Formalin-fixed paraffin-embedded sections,Immunoprecipitation,Western blot and Human,Mouse,Rat
Overview
| Product Description | Rabbit Polyclonal antibody recognizes TCP1 beta |
|---|---|
| Tested Reactivity | Hu, Ms, Rat |
| Tested Application | ICC/IF, IHC-P, IP, WB |
| Host | Rabbit |
| Clonality | Polyclonal |
| Isotype | IgG |
| Target Name | TCP1 beta |
| Antigen Species | Human |
| Immunogen | Synthetic peptide corresponding to Human TCP1 beta. |
| Conjugation | Un-conjugated |
| Protein Full Name | T-complex protein 1 subunit beta |
| Alternate Names | HEL-S-100n; CCT-beta; PRO1633; CCTB; 99D8.1; TCP-1-beta; T-complex protein 1 subunit beta |
Application Instructions
| Application Suggestion |
|
||||||||||
|---|---|---|---|---|---|---|---|---|---|---|---|
| Application Note | * The dilutions indicate recommended starting dilutions and the optimal dilutions or concentrations should be determined by the scientist. | ||||||||||
| Observed Size | 57 kDa |
Properties
| Form | Liquid |
|---|---|
| Purification | Affinity purified. |
| Buffer | 50 mM Tris-Glycine (pH 7.4), 150 mM NaCl, 0.01% Sodium azide, 40% Glycerol and 0.05% BSA. |
| Preservative | 0.01% Sodium azide |
| Stabilizer | 40% Glycerol and 0.05% BSA |
| Concentration | Batch dependent |
| Storage Instruction | For continuous use, store undiluted antibody at 2-8°C for up to a week. For long-term storage, aliquot and store at -20°C. Storage in frost free freezers is not recommended. Avoid repeated freeze/thaw cycles. Suggest spin the vial prior to opening. The antibody solution should be gently mixed before use. |
| Note | For laboratory research only, not for drug, diagnostic or other use. |
Bioinformation
| Database Links | |
|---|---|
| Gene Symbol | CCT2 |
| Gene Full Name | chaperonin containing TCP1, subunit 2 (beta) |
| Background | The protein encoded by this gene is a molecular chaperone that is a member of the chaperonin containing TCP1 complex (CCT), also known as the TCP1 ring complex (TRiC). This complex consists of two identical stacked rings, each containing eight different proteins. Unfolded polypeptides enter the central cavity of the complex and are folded in an ATP-dependent manner. The complex folds various proteins, including actin and tubulin. Two transcript variants encoding different isoforms have been found for this gene. [provided by RefSeq, Nov 2010] |
| Function | Molecular chaperone; assists the folding of proteins upon ATP hydrolysis. As part of the BBS/CCT complex may play a role in the assembly of BBSome, a complex involved in ciliogenesis regulating transports vesicles to the cilia. Known to play a role, in vitro, in the folding of actin and tubulin. [UniProt] |
| Cellular Localization | Cytoplasm. [UniProt] |
| Calculated MW | 57 kDa |
| PTM | Acetylation; Isopeptide bond; Phosphoprotein; Ubl conjugation |
Images (5) Click the Picture to Zoom In
-
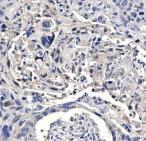
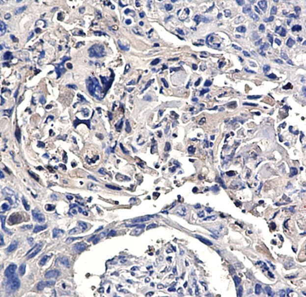
ARG43695 anti-TCP1 beta antibody IHC-P image
Immunohistochemistry: Human lung cancer stained with ARG43695 anti-TCP1 beta antibody.
-
ARG43695 anti-TCP1 beta antibody ICC/IF image
Immunofluorescence: Hela stained with ARG43695 anti-TCP1 beta antibody.
-
ARG43695 anti-TCP1 beta antibody WB image
Western blot: Hela stained with ARG43695 anti-TCP1 beta antibody.
-
ARG43695 anti-TCP1 beta antibody WB image
Western blot: Rat brain stained with ARG43695 anti-TCP1 beta antibody.
-
ARG43695 anti-TCP1 beta antibody WB image
Western blot: Mouse brain stained with ARG43695 anti-TCP1 beta antibody.
