ARG40975
anti-Thymidine Kinase antibody
anti-Thymidine Kinase antibody for Flow cytometry,IHC-Formalin-fixed paraffin-embedded sections,Western blot and Human
Overview
| Product Description | Rabbit Polyclonal antibody recognizes Thymidine Kinase |
|---|---|
| Tested Reactivity | Hu |
| Tested Application | FACS, IHC-P, WB |
| Host | Rabbit |
| Clonality | Polyclonal |
| Isotype | IgG |
| Target Name | Thymidine Kinase |
| Antigen Species | Human |
| Immunogen | KLH-conjugated synthetic peptide between aa. 139-173 of Human Thymidine Kinase. |
| Conjugation | Un-conjugated |
| Alternate Names | Thymidine kinase, cytosolic; TK2; EC 2.7.1.21 |
Application Instructions
| Application Suggestion |
|
||||||||
|---|---|---|---|---|---|---|---|---|---|
| Application Note | IHC-P: Antigen Retrieval: Heat mediation was performed in Citrate buffer (pH 6.0). * The dilutions indicate recommended starting dilutions and the optimal dilutions or concentrations should be determined by the scientist. |
||||||||
| Positive Control | U-2OS | ||||||||
| Observed Size | 28 kDa |
Properties
| Form | Liquid |
|---|---|
| Purification | Purification with Protein A and immunogen peptide. |
| Buffer | PBS and 0.09% (W/V) Sodium azide. |
| Preservative | 0.09% (W/V) Sodium azide. |
| Storage Instruction | For continuous use, store undiluted antibody at 2-8°C for up to a week. For long-term storage, aliquot and store at -20°C or below. Storage in frost free freezers is not recommended. Avoid repeated freeze/thaw cycles. Suggest spin the vial prior to opening. The antibody solution should be gently mixed before use. |
| Note | For laboratory research only, not for drug, diagnostic or other use. |
Bioinformation
| Database Links | |
|---|---|
| Gene Symbol | TK1 |
| Gene Full Name | thymidine kinase 1, soluble |
| Cellular Localization | Cytoplasm. [UniProt] |
| Calculated MW | 25 kDa |
| PTM | Phosphorylated on Ser-13 in mitosis. [UniProt] |
Images (3) Click the Picture to Zoom In
-
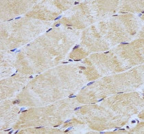
ARG40975 anti-Thymidine Kinase antibody IHC-P image
Immunohistochemistry: Paraformaldehyde-fixed and paraffin-embedded Human skeletal muscle tissue. Tissue was blocked with 3% BSA for 0.5 hour at room temperature. Antigen Retrieval: Heat mediation was performed in Citrate buffer (pH 6.0). Samples were stained with ARG40975 anti-Thymidine Kinase antibody at 1:25 dilution for 1 hours at 37°C.
-
ARG40975 anti-Thymidine Kinase antibody WB image
Western blot: 20 µg of U-2OS cell lysate stained with ARG40975 anti-Thymidine Kinase antibody at 1:2000 dilution.
-
ARG40975 anti-Thymidine Kinase antibody FACS image
Flow Cytometry: U2OS cells were fixed with 2% paraformaldehyde (10 min) and then permeabilized with 90% methanol for 10 min. The cells were then incubated in 2% bovine serum albumin to block non-specific protein-protein interactions followed by ARG40975 anti-Thymidine Kinase antibody (right histogram) at 1:25 dilution for 60 min at 37°C, followed by incubation with DyLight®488 labelled secondary antibody. Isotype control antibody (left histogram) was Rabbit IgG1 (1 µg/10^6 cells) used under the same conditions. Acquisition of > 10000 events was performed.
