ARG40768
anti-VIP antibody
anti-VIP antibody for IHC-Formalin-fixed paraffin-embedded sections and Human,Mouse,Rat
Neuroscience antibody; Suprachiasmatic Nuclei (SCN) Study antibody
Overview
| Product Description | Rabbit Polyclonal antibody recognizes VIP |
|---|---|
| Tested Reactivity | Hu, Ms, Rat |
| Tested Application | IHC-P |
| Host | Rabbit |
| Clonality | Polyclonal |
| Isotype | IgG |
| Target Name | VIP |
| Antigen Species | Human |
| Immunogen | Synthetic peptide corresponding to aa. 81-107 of Human VIP. (HADGVFTSDFSKLLGQLSAKKYLESLM) |
| Conjugation | Un-conjugated |
| Alternate Names | Vasoactive intestinal polypeptide; PHM27; VIP peptides; Peptide histidine valine 42; VIP; Peptide histidine methioninamide 27 |
Application Instructions
| Application Suggestion |
|
||||
|---|---|---|---|---|---|
| Application Note | * The dilutions indicate recommended starting dilutions and the optimal dilutions or concentrations should be determined by the scientist. |
Properties
| Form | Liquid |
|---|---|
| Purification | Affinity purification with immunogen. |
| Buffer | 0.2% Na2HPO4, 0.9% NaCl, 0.05% Sodium azide and 5% BSA. |
| Preservative | 0.05% Sodium azide |
| Stabilizer | 5% BSA |
| Concentration | 0.5 mg/ml |
| Storage Instruction | For continuous use, store undiluted antibody at 2-8°C for up to a week. For long-term storage, aliquot and store at -20°C or below. Storage in frost free freezers is not recommended. Avoid repeated freeze/thaw cycles. Suggest spin the vial prior to opening. The antibody solution should be gently mixed before use. |
| Note | For laboratory research only, not for drug, diagnostic or other use. |
Bioinformation
| Database Links | |
|---|---|
| Gene Symbol | VIP |
| Gene Full Name | vasoactive intestinal peptide |
| Background | The protein encoded by this gene belongs to the glucagon family. It stimulates myocardial contractility, causes vasodilation, increases glycogenolysis, lowers arterial blood pressure and relaxes the smooth muscle of trachea, stomach and gall bladder. The protein also acts as an antimicrobial peptide with antibacterial and antifungal activity. Alternative splicing occurs at this locus and two transcript variants encoding distinct isoforms have been identified. [provided by RefSeq, Nov 2014] |
| Function | VIP causes vasodilation, lowers arterial blood pressure, stimulates myocardial contractility, increases glycogenolysis and relaxes the smooth muscle of trachea, stomach and gall bladder. PHM and PHV also cause vasodilation. PHM-27 is a potent agonist of the calcitonin receptor CALCR, with similar efficacy as calcitonin. [UniProt] |
| Cellular Localization | Secreted. [UniProt] |
| Research Area | Neuroscience antibody; Suprachiasmatic Nuclei (SCN) Study antibody |
| Calculated MW | 19 kDa |
Images (4) Click the Picture to Zoom In
-
ARG40768 anti-VIP antibody IHC-P image
Immunohistochemistry: Paraffin-embedded Human pancreatic cancer tissue stained with ARG40768 anti-VIP antibody at 1 µg/ml dilution.
-
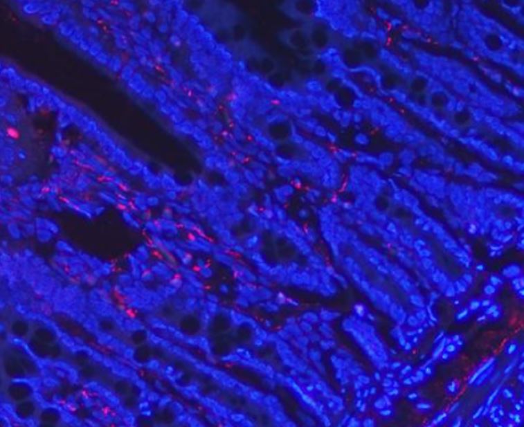
ARG40768 anti-VIP antibody IHC-P image
Immunohistochemistry: Paraffin-embedded Rat colon tissue stained with ARG40768 anti-VIP antibody.
-
ARG40768 anti-VIP antibody IHC-P image
Immunohistochemistry: Paraffin-embedded Mouse pancreas tissue stained with ARG40768 anti-VIP antibody at 1 µg/ml dilution.
-
ARG40768 anti-VIP antibody IHC-P image
Immunohistochemistry: Paraffin-embedded Rat pancreas tissue stained with ARG40768 anti-VIP antibody at 1 µg/ml dilution.
