ARG45259
anti-WDR44 antibody
anti-WDR44 antibody for Flow cytometry,IHC-Formalin-fixed paraffin-embedded sections,Western blot and Human
Overview
| Product Description | Polyclonal antibody recognizes WDR44 |
|---|---|
| Tested Reactivity | Hu |
| Tested Application | FACS, IHC-P, WB |
| Host | Rabbit |
| Clonality | Polyclonal |
| Isotype | IgG |
| Target Name | WDR44 |
| Antigen Species | Human |
| Immunogen | Recombinant protein containing to human WDR44. |
| Conjugation | Un-conjugated |
| Alternate Names | WDR44; WD Repeat Domain 44; RPH11; Rabphilin-11; RAB11BP; SYM-4; WD Repeat-Containing Protein 44; Rab11-Binding Protein; DKFZp686L20145; Rab11BP |
Application Instructions
| Application Suggestion |
|
||||||||
|---|---|---|---|---|---|---|---|---|---|
| Application Note | * The dilutions indicate recommended starting dilutions and the optimal dilutions or concentrations should be determined by the scientist. | ||||||||
| Observed Size | 130 kDa |
Properties
| Form | Liquid |
|---|---|
| Purification | Affinity purification with immunogen. |
| Buffer | 0.2% Na2HPO4, 0.9% NaCl and 4% Trehalose. |
| Stabilizer | 4% Trehalose |
| Concentration | 0.5 mg/ml |
| Storage Instruction | For continuous use, store undiluted antibody at 2-8°C for up to a week. For long-term storage, aliquot and store at -20°C or below. Storage in frost free freezers is not recommended. Avoid repeated freeze/thaw cycles. Suggest spin the vial prior to opening. The antibody solution should be gently mixed before use. |
| Note | For laboratory research only, not for drug, diagnostic or other use. |
Bioinformation
| Database Links | |
|---|---|
| Gene Symbol | WDR44 |
| Gene Full Name | WD Repeat Domain 44 |
| Background | This gene encodes a protein that interacts with the small GTPase rab11. A similar protein in rat binds the GTP-containing active form of rab11. This protein may play a role in endosome recycling. Alternate splicing results in multiple transcript variants.[provided by RefSeq, May 2010] |
| Function | Downstream effector for Rab11 which regulates Rab11 intracellular membrane trafficking functions such as endocytic recycling, intracellular ciliogenesis and protein export. [UniProt] |
| Cellular Localization | Cytoplasm; Endosome; Golgi apparatus; Membrane. [UniProt] |
| Calculated MW | 101 kDa |
| PTM | Acetylation; Phosphoprotein. [UniProt] |
Images (3) Click the Picture to Zoom In
-
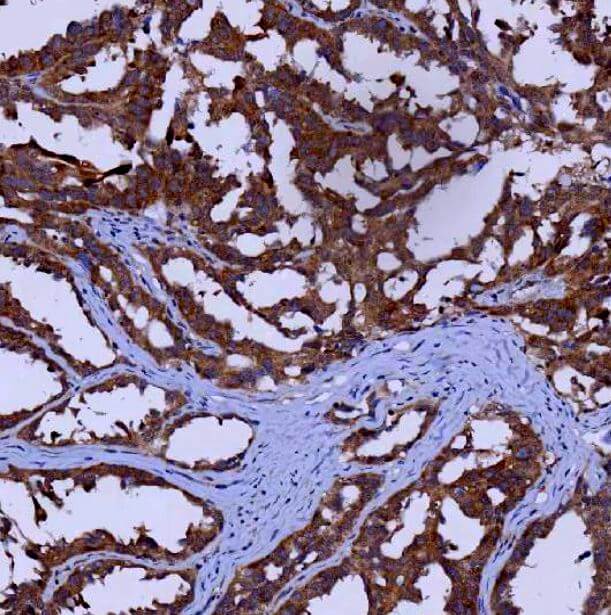
ARG45259 anti-WDR44 antibody IHC-P image
Immunohistochemistry: Human ovarian cancer stained with ARG45259 anti-WDR44 antibody at 2 μg/ml dilution.
-
ARG45259 anti-WDR44 antibody WB image
Western blot: Hela and HEL stained with ARG45259 anti-WDR44 antibody at 0.5 μg/ml dilution.
-
ARG45259 anti-WDR44 antibody FACS image
Flow Cytometry: SiHa stained with ARG45259 anti-WDR44 antibody at 1 µg/10^6 cells dilution.
