ARG41295
anti-YARS2 antibody
anti-YARS2 antibody for IHC-Formalin-fixed paraffin-embedded sections,Western blot and Human
Overview
| Product Description | Rabbit Polyclonal antibody recognizes YARS2 |
|---|---|
| Tested Reactivity | Hu |
| Predict Reactivity | Ms, Rat |
| Tested Application | IHC-P, WB |
| Host | Rabbit |
| Clonality | Polyclonal |
| Isotype | IgG |
| Target Name | YARS2 |
| Antigen Species | Human |
| Immunogen | KLH-conjugated synthetic peptide corresponding to aa. 399-427 of Human YARS2. |
| Conjugation | Un-conjugated |
| Alternate Names | Tyrosyl-tRNA synthetase; CGI-04; Tyrosine--tRNA ligase, mitochondrial; EC 6.1.1.1; TyrRS; MT-TYRRS; TYRRS; MLASA2 |
Application Instructions
| Application Suggestion |
|
||||||
|---|---|---|---|---|---|---|---|
| Application Note | * The dilutions indicate recommended starting dilutions and the optimal dilutions or concentrations should be determined by the scientist. | ||||||
| Positive Control | K562 | ||||||
| Observed Size | ~ 50 kDa |
Properties
| Form | Liquid |
|---|---|
| Purification | This antibody is prepared by Saturated Ammonium Sulfate (SAS) precipitation followed by dialysis against PBS. |
| Buffer | PBS and 0.09% (W/V) Sodium azide. |
| Preservative | 0.09% (W/V) Sodium azide. |
| Storage Instruction | For continuous use, store undiluted antibody at 2-8°C for up to a week. For long-term storage, aliquot and store at -20°C or below. Storage in frost free freezers is not recommended. Avoid repeated freeze/thaw cycles. Suggest spin the vial prior to opening. The antibody solution should be gently mixed before use. |
| Note | For laboratory research only, not for drug, diagnostic or other use. |
Bioinformation
| Database Links |
Swiss-port # Q9Y2Z4 Human Tyrosine--tRNA ligase, mitochondrial |
|---|---|
| Gene Symbol | YARS2 |
| Gene Full Name | tyrosyl-tRNA synthetase 2, mitochondrial |
| Background | This gene encodes a mitochondrial protein that catalyzes the attachment of tyrosine to tRNA(Tyr). Mutations in this gene are associated with myopathy with lactic acidosis and sideroblastic anemia type 2 (MLASA2). [provided by RefSeq, Jan 2011] |
| Function | Catalyzes the attachment of tyrosine to tRNA(Tyr) in a two-step reaction: tyrosine is first activated by ATP to form Tyr-AMP and then transferred to the acceptor end of tRNA(Tyr). [UniProt] |
| Cellular Localization | Mitochondrion matrix. [UniProt] |
| Calculated MW | 53 kDa |
Images (2) Click the Picture to Zoom In
-
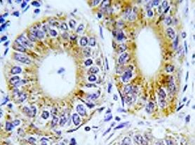
ARG41295 anti-YARS2 antibody IHC-P image
Immunohistochemistry: Formalin-fixed and paraffin-embedded Human colon carcinoma tissue stained with ARG41295 anti-YARS2 antibody.
-
ARG41295 anti-YARS2 antibody WB image
Western blot: 20 ug of K562 whole cell lysate stained with ARG41295 anti-YARS2 antibody at 1:1000 dilution.
