ARG46724
anti-ZBP1 antibody [3H02]
anti-ZBP1 antibody [3H02] for ICC/IF,IHC-Formalin-fixed paraffin-embedded sections,Immunoprecipitation,Western blot and Human
Overview
| Product Description | Rabbit Monoclonal antibody [3H02] recognizes ZBP1 |
|---|---|
| Tested Reactivity | Hu |
| Tested Application | ICC/IF, IHC-P, IP, WB |
| Host | Rabbit |
| Clonality | Monoclonal |
| Clone | 3H02 |
| Isotype | IgG |
| Target Name | ZBP1 |
| Antigen Species | Human |
| Immunogen | Recombinant protein chuman ZBP1. MAQAPADPGREGHLEQRILQVLTEAGSPVKLAQLVKECQAPKRELNQVLYRMKKELKVSLTSPA TWCLGGTDPEGEGPAELALSSPAERPQQHAATIPETPGPQFSQQREEDIYRFLKDNGPQRALV IAQALGMRTAKDVNRDLYRMKSRHLLDMDEQSKAWTIYRPEDS |
| Conjugation | Un-conjugated |
| Alternate Names | ZBP1; Z-DNA Binding Protein 1; DLM1; DAI; C20orf183; DLM-1; Tumor Stroma And Activated Macrophage Protein DLM-1; DNA-Dependent Activator Of IRFs; Z-DNA-Binding Protein 1; DJ718J7.3; DNA-Dependent Activator Of IFN-Regulatory Factors; Chromosome 20 Open Reading Frame 183 |
Application Instructions
| Application Suggestion |
|
||||||||||
|---|---|---|---|---|---|---|---|---|---|---|---|
| Application Note | * The dilutions indicate recommended starting dilutions and the optimal dilutions or concentrations should be determined by the scientist. | ||||||||||
| Observed Size | 44 kDa; 58 kDa |
Properties
| Form | Liquid |
|---|---|
| Purification | Affinity chromatography purified |
| Buffer | PBS, 0.09% sodium azide, 50% glycerol and 0.5% BSA |
| Preservative | 0.09% sodium azide |
| Stabilizer | 50% glycerol and 0.5% BSA |
| Storage Instruction | For continuous use, store undiluted antibody at 2-8°C for up to a week. For long-term storage, aliquot and store at -20°C or below. Storage in frost free freezers is not recommended. Avoid repeated freeze/thaw cycles. Suggest spin the vial prior to opening. The antibody solution should be gently mixed before use. |
| Note | For laboratory research only, not for drug, diagnostic or other use. |
Bioinformation
| Database Links | |
|---|---|
| Gene Symbol | ZBP1 |
| Gene Full Name | Z-DNA Binding Protein 1 |
| Background | This gene encodes a Z-DNA binding protein. The encoded protein plays a role in the innate immune response by binding to foreign DNA and inducing type-I interferon production. Alternatively spliced transcript variants encoding multiple isoforms have been observed for this gene. [provided by RefSeq, Dec 2011] |
| Function | Key innate sensor that recognizes and binds Z-RNA structures, which are produced by a number of viruses, such as herpesvirus, orthomyxovirus or flavivirus, and triggers different forms of cell death. [UniProt] |
| Cellular Localization | Cytoplasm; Nucleus. [UniProt] |
| Calculated MW | 46 kDa |
| PTM | Phosphorylated. [UniProt] |
Images (4) Click the Picture to Zoom In
-
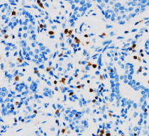
ARG46724 anti-ZBP1 antibody [3H02] IHC-P image
Immunohistochemistry: Human breast stained with ARG46724 anti-ZBP1 antibody [3H02].
-
ARG46724 anti-ZBP1 antibody [3H02] ICC/IF image
Immunofluorescence: U266 stained with ARG46724 anti-ZBP1 antibody [3H02].
-
ARG46724 anti-ZBP1 antibody [3H02] IP image
Immunoprecipitation: U266 lysate immunoprecipitated with 1 μg ARG46724 anti-ZBP1 antibody [3H02].
-
ARG46724 anti-ZBP1 antibody [3H02] WB image
Western blot: U266 stained with ARG46724 anti-ZBP1 antibody [3H02].
