ARG46723
anti-ZBP1 antibody
anti-ZBP1 antibody for ICC/IF,IHC-Formalin-fixed paraffin-embedded sections,Western blot and Human,Mouse,Rat
Overview
| Product Description | Rabbit Polyclonal antibody recognizes ZBP1 |
|---|---|
| Tested Reactivity | Hu, Ms, Rat |
| Tested Application | ICC/IF, IHC-P, WB |
| Host | Rabbit |
| Clonality | Polyclonal |
| Isotype | IgG |
| Target Name | ZBP1 |
| Antigen Species | Human |
| Immunogen | Synthetic peptide corresponding to an 18 amino acid sequence in the C-terminal region of human ZBP1. |
| Conjugation | Un-conjugated |
| Alternate Names | ZBP1; Z-DNA Binding Protein 1; DLM1; DAI; C20orf183; DLM-1; Tumor Stroma And Activated Macrophage Protein DLM-1; DNA-Dependent Activator Of IRFs; Z-DNA-Binding Protein 1; DJ718J7.3; DNA-Dependent Activator Of IFN-Regulatory Factors; Chromosome 20 Open Reading Frame 183 |
Application Instructions
| Application Suggestion |
|
||||||||
|---|---|---|---|---|---|---|---|---|---|
| Application Note | * The dilutions indicate recommended starting dilutions and the optimal dilutions or concentrations should be determined by the scientist. | ||||||||
| Observed Size | 44 kDa |
Properties
| Form | Liquid |
|---|---|
| Purification | Affinity chromatography purified |
| Buffer | PBS and 0.02% sodium azide |
| Preservative | 0.02% sodium azide |
| Concentration | 1 mg/ml |
| Storage Instruction | For continuous use, store undiluted antibody at 2-8°C for up to a week. For long-term storage, aliquot and store at -20°C or below. Storage in frost free freezers is not recommended. Avoid repeated freeze/thaw cycles. Suggest spin the vial prior to opening. The antibody solution should be gently mixed before use. |
| Note | For laboratory research only, not for drug, diagnostic or other use. |
Bioinformation
| Database Links | |
|---|---|
| Gene Symbol | ZBP1 |
| Gene Full Name | Z-DNA Binding Protein 1 |
| Background | This gene encodes a Z-DNA binding protein. The encoded protein plays a role in the innate immune response by binding to foreign DNA and inducing type-I interferon production. Alternatively spliced transcript variants encoding multiple isoforms have been observed for this gene. [provided by RefSeq, Dec 2011] |
| Function | Key innate sensor that recognizes and binds Z-RNA structures, which are produced by a number of viruses, such as herpesvirus, orthomyxovirus or flavivirus, and triggers different forms of cell death. [UniProt] |
| Cellular Localization | Cytoplasm; Nucleus. [UniProt] |
| Calculated MW | 46 kDa |
| PTM | Phosphorylated. [UniProt] |
Images (5) Click the Picture to Zoom In
-
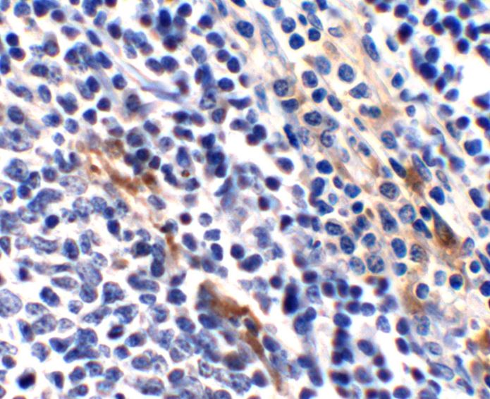
ARG46723 anti-ZBP1 antibody IHC-P image
Immunohistochemistry: Human tonsil stained with ARG46723 anti-ZBP1 antibody.
-
ARG46723 anti-ZBP1 antibody WB image
Western blot: Human tonsil stained with ARG46723 anti-ZBP1 antibody.
-
ARG46723 anti-ZBP1 antibody WB image
Western blot: Rat brain stained with ARG46723 anti-ZBP1 antibody.
-
ARG46723 anti-ZBP1 antibody IHC-P image
Immunohistochemistry: Mouse brain stained with ARG46723 anti-ZBP1 antibody.
-
ARG46723 anti-ZBP1 antibody WB image
Western blot: Mouse brain stained with ARG46723 anti-ZBP1 antibody.
