Targeting TROP2 for cancer treatment
Targeting TROP2 for cancer treatment
|
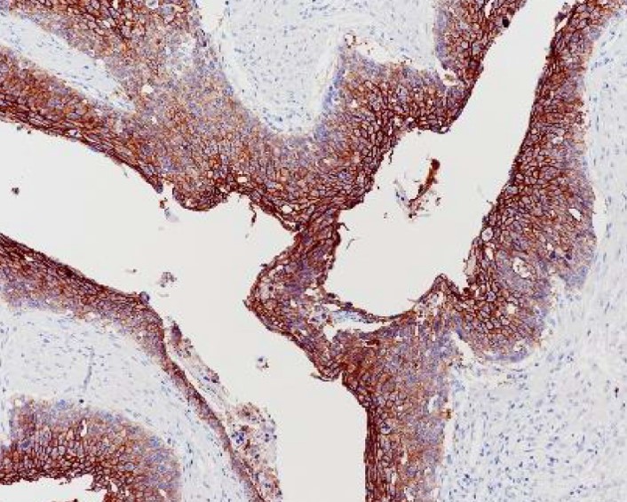
Trophoblast cell surface antigen 2 (TROP2), also known as tumor-associated calcium signal transducer 2 (TACSTD2), is an epithelial cell surface glycoprotein with low expression in normal tissues. In contrast, TROP2 is frequently overexpressed in a wide range of malignancies and is associated with poor prognosis and aggressive tumor behavior, including in triple-negative breast cancer (TNBC), non-small cell lung cancer (NSCLC), and pancreatic ductal adenocarcinoma (PDAC). These features make TROP2 a promising therapeutic target, driving the development of TROP2-targeted strategies such as monoclonal antibodies, antibody–drug conjugates (ADCs), and chimeric antigen receptor (CAR) T-cell therapies. arigo offers a specific TROP2 antibody to facilitate the detection of TROP2 expression in cancer tissues.
|
|
|
![]() |
TROP2 antibody [SQab22266]
|
|
|
TROP2 and cancer progression
|
TROP2 is a critical regulator of multiple processes involved in cancer progression, including cell proliferation, invasion and metastasis, and drug resistance. It promotes cell proliferation through the activation of calcium signaling, which subsequently triggers ERK and PI3K/AKT pathways, as well as through JAK2/STAT3 signaling. In addition, TROP2 enhances invasion and metastasis by upregulating epithelial–mesenchymal transition (EMT) markers and activating FAK signaling. Moreover, TROP2 is associated with multidrug resistance to chemotherapeutic agents and immune checkpoint inhibitors. arigo offers a series of research tools to investigate the molecular mechanisms of TROP2 in cancer progression. |
|
ERK Activation
|
|
JAK2-STAT3 Pathway
|
|
![]() |
![]() |
![]() |
|
|
You may be interested in…
Targeting Cadherin-17 for gastrointestinal cancer treatment
Fight gastric cancer by targeting Claudin 18.2




