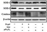
Home Primary Antibodies Search Result - Primary Antibodies There are 22537 results Primary Antibodies 18062 Secondary Antibodies 764 Isotype Controls 213 Antibody Duos and Panels 177 Reagents 544 Kits 2750 Multiplex 27 anti-p38 MAPK phospho (Thr180 / Tyr182) antibody (1 Reviews) (12 Publications) Cat. No: ARG51850 (Rabbit pAb) Reactivity: Hu, Ms, Rat Application: WB Conjugation: Un-conjugated anti-HMGB1 antibody [SQab1711] (1 Reviews) (2 Publications) Cat. No: ARG65863 (Mouse mAb) Reactivity: Hu, Ms, Rat Application: ELISA, FACS, ICC/IF, IHC-P, WB Conjugation: Un-conjugated anti-alpha smooth muscle Actin antibody [1A4] (3 Reviews) (9 Publications) Cat. No: ARG52485 (Mouse mAb) Reactivity: Hu, Ms, Rat, Pig, Rb, Sheep Application: ELISA, ICC/IF, IHC-Fr, IHC-P, WB Conjugation: Un-conjugated anti-alpha smooth muscle Actin antibody [SQab1735] (3 Publications) Cat. No: ARG66246 (Rabbit mAb) Reactivity: Hu, Ms, Rat Application: FACS, ICC/IF, IHC-P, IP, WB Conjugation: Un-conjugated anti-Histone H3 antibody [SQab18110] (1 Publications) Cat. No: ARG66383 (Rabbit mAb) Reactivity: Hu, Ms, Rat, Dog, Zfsh, Bov, AGMK Application: FACS, IHC-P, IP, WB Conjugation: Un-conjugated anti-NFkB p65 phospho (Ser536) antibody (1 Reviews) (12 Publications) Cat. No: ARG51518 (Rabbit pAb) Reactivity: Hu, Ms, Rat Application: ICC/IF, IHC-P, WB Conjugation: Un-conjugated anti-CD3 epsilon antibody [SQab1713] (2 Reviews) Cat. No: ARG65859 (Rabbit mAb) Reactivity: Hu Application: FACS, ICC/IF, IHC-P, IP, WB Specificity: This antibody has been tested not reacting to mouse spleen lysates by WB. Conjugation: Un-conjugated anti-Cytokeratin 7 antibody [SQab1888] (2 Reviews) Cat. No: ARG66340 (Rabbit mAb) Reactivity: Hu, Ms Application: FACS, ICC/IF, IHC-P, IP, WB Conjugation: Un-conjugated anti-PCNA antibody [SQab18115] (3 Reviews) Cat. No: ARG66388 (Rabbit mAb) Reactivity: Hu, Ms, Rat, Chk, Dog, Bov, AGMK Application: FACS, IP, WB Conjugation: Un-conjugated anti-LC3B antibody (5 Reviews) (7 Publications) Cat. No: ARG55799 (Rabbit pAb) Reactivity: Hu, Ms, Rat Application: ICC/IF, IHC-P, WB Conjugation: Un-conjugated First Previous 7891011121314151617 Next Last