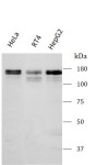
Home Primary Antibodies Search Result - Primary Antibodies There are 22501 results Primary Antibodies 18035 Secondary Antibodies 764 Isotype Controls 213 Antibody Duos and Panels 172 Reagents 542 Kits 2775 anti-MIGA1 antibody Cat. No: ARG44147 (Rabbit pAb) Reactivity: Hu, Ms, Rat Application: FACS, WB Conjugation: Un-conjugated anti-NTN3 antibody Cat. No: ARG44173 (Rabbit pAb) Reactivity: Hu, Rat Application: ICC/IF, IHC-P, WB Conjugation: Un-conjugated anti-MAGED4 antibody Cat. No: ARG44178 (Rabbit pAb) Reactivity: Hu Application: FACS, ICC/IF, IHC-P, WB Conjugation: Un-conjugated anti-METAP1D antibody Cat. No: ARG44188 (Rabbit pAb) Reactivity: Hu, Ms, Rat Application: IHC-P, WB Conjugation: Un-conjugated anti-MFAP1 antibody Cat. No: ARG44191 (Rabbit pAb) Reactivity: Hu, Ms Application: FACS, ICC/IF, WB Conjugation: Un-conjugated anti-CD140a / PDGFRA antibody Cat. No: ARG44238 (Rabbit pAb) Reactivity: Hu, Ms Application: FACS, IHC-P, WB Conjugation: Un-conjugated anti-MAP1S antibody Cat. No: ARG44228 (Rabbit pAb) Reactivity: Hu, Ms, Rat Application: FACS, IHC-P, WB Conjugation: Un-conjugated anti-MLLT10 / AF10 antibody Cat. No: ARG44233 (Rabbit pAb) Reactivity: Hu, Ms, Rat Application: FACS, ICC/IF, WB Conjugation: Un-conjugated anti-DAPK1 antibody Cat. No: ARG44234 (Rabbit pAb) Reactivity: Hu, Ms, Rat Application: IHC-P, WB Conjugation: Un-conjugated anti-PTPN22 antibody Cat. No: ARG44250 (Goat pAb) Reactivity: Hu, Chimp Application: FACS, ICC/IF, IHC-P Specificity: This antibody is specific for human LYP1 and will not cross to LYP2 Conjugation: Un-conjugated First Previous 749750751752753754755756757758759 Next Last