ARG20531
anti-BiP / GRP78 antibody
anti-BiP / GRP78 antibody for ICC/IF,Immunohistochemistry (PFA perfusion fixed frozen sections),IHC-Formalin-fixed paraffin-embedded sections,Immunoprecipitation,Western blot and Human,Mouse,Rat,Bovine,Dog,Fungi,Hamster,Monkey,Rabbit,Xenopus laevis
Controls and Markers antibody; ER Marker antibody; Endoplasmic reticulum antibody
Overview
| Product Description | Rabbit Polyclonal antibody recognizes BiP / GRP78 |
|---|---|
| Tested Reactivity | Hu, Ms, Rat, Bov, Dog, Fungi, Hm, Mk, Rb, Xenopus laevis |
| Predict Reactivity | Bov, Hm, Mk, Rb, Xenopus |
| Tested Application | ICC/IF, IHC-FoFr , IHC-P, IP, WB |
| Host | Rabbit |
| Clonality | Polyclonal |
| Isotype | IgG |
| Target Name | BiP / GRP78 |
| Antigen Species | Rat |
| Immunogen | KLH-conjugated sythetic peptide of Rat BiP / GRP78. |
| Conjugation | Un-conjugated |
| Alternate Names | Heat shock 70 kDa protein 5; BiP; GRP-78; Endoplasmic reticulum lumenal Ca; MIF2; 78 kDa glucose-regulated protein; GRP78; Immunoglobulin heavy chain-binding protein; HEL-S-89n; BIP; 2+ |
Application Instructions
| Application Suggestion |
|
||||||||||||
|---|---|---|---|---|---|---|---|---|---|---|---|---|---|
| Application Note | * The dilutions indicate recommended starting dilutions and the optimal dilutions or concentrations should be determined by the scientist. |
Properties
| Form | Liquid |
|---|---|
| Purification | Affinity purification with immunogen. |
| Buffer | Rabbit antiserum. |
| Storage Instruction | For continuous use, store undiluted antibody at 2-8°C for up to a week. For long-term storage, aliquot and store at -20°C or below. Storage in frost free freezers is not recommended. Avoid repeated freeze/thaw cycles. Suggest spin the vial prior to opening. The antibody solution should be gently mixed before use. |
| Note | For laboratory research only, not for drug, diagnostic or other use. |
Bioinformation
| Database Links | |
|---|---|
| Gene Symbol | Hspa5 |
| Gene Full Name | heat shock protein 5 |
| Background | The protein encoded by this gene is a member of the heat shock protein 70 (HSP70) family. It is localized in the lumen of the endoplasmic reticulum (ER), and is involved in the folding and assembly of proteins in the ER. As this protein interacts with many ER proteins, it may play a key role in monitoring protein transport through the cell.[provided by RefSeq, Sep 2010] |
| Function | Probably plays a role in facilitating the assembly of multimeric protein complexes inside the endoplasmic reticulum. Involved in the correct folding of proteins and degradation of misfolded proteins via its interaction with DNAJC10, probably to facilitate the release of DNAJC10 from its substrate (By similarity). [UniProt] |
| Highlight | Related Antibody Duos and Panels: ARG30316 ER Marker Antibody Duo Related products: GRP78 antibodies; GRP78 Duos / Panels; Anti-Rabbit IgG secondary antibodies; |
| Research Area | Controls and Markers antibody; ER Marker antibody; Endoplasmic reticulum antibody |
| Calculated MW | 72 kDa |
Images (8) Click the Picture to Zoom In
-
ARG20531 anti-BiP / GRP78 antibody IHC-P image
Immunohistochemistry: Human hepatocellular carcinoma stained with ARG20531 anti-BiP / GRP78 antibody at 1:500 dilution.
From Yue Zhu et al. Cancer Med. (2020), doi: 10.1002/cam4.2977, Fig. 5B.
-
ARG20531 anti-BiP / GRP78 antibody WB image
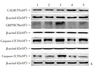
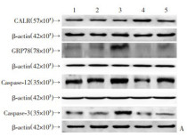
Western blot: Human hepatic stellate cell stained with ARG20531 anti-BiP / GRP78 antibody, ARG54938 anti-Caspase 3 antibody, ARG55123 anti-Calreticulin antibody, ARG55177 anti-Caspase 12 antibody, and ARG65683 anti-beta Actin antibody. Secondary Antibody stained with ARG65351 Goat anti-Rabbit IgG antibody (HRP).
From DAI Linyu et al. Journal of Third Military Medical University (2021), doi: 10-16016-j-1000-5404-202012010, Fig. 4.
-
ARG20531 anti-BiP / GRP78 antibody WB image
Western blot: Human hepatocellular carcinoma stained with ARG20531 anti-BiP / GRP78 antibody at 1:500 dilution.
From Yue Zhu et al. Cancer Med. (2020), doi: 10.1002/cam4.2977, Fig. 5D.
-
ARG20531 anti-BiP / GRP78 antibody ICC/IF image
Immunofluorescence: Heat Shocked (42°C for 30 min) HeLa cells. Fixation: 2% Formaldehyde for 20 min at RT. Primary Antibody: ARG20531 anti-BiP / GRP78 antibody at 1:100 for 12 hours at 4°C. Secondary Antibody: FITC Goat anti-Rabbit (green) at 1:200 for 2 hours at RT. Counterstain: DAPI (blue) nuclear stain at 1:40000 for 2 hours at RT. Magnification: 100x. Left: DAPI (blue) nuclear stain. Middle: ARG20531 anti-BiP / GRP78 antibody. Right: Composite.
-
ARG20531 anti-BiP / GRP78 antibody IHC image
Immunohistochemistry: Formaldehdye-fixed and parrafin embedded sections of Mouse hippocampal tissue stained with ARG20531 anti-BiP / GRP78 antibody at 1:100 dilution. Tissue was counterstained using DAPI at a 1:1000 dilution in order to visualize the nuclei in the pyramidal cell layer. Images courtsey of Rachel Reith, NIH/NIMH.
-
ARG20531 anti-BiP / GRP78 antibody WB image
Western blot: Human, Dog, Mouse cell line lysates stained with ARG20531 anti-BiP / GRP78 antibody at 1:1000 dilution.
-
ARG20531 anti-BiP / GRP78 antibody ICC/IF image
Immunofluorescence: Heat Shocked (42°C for 30 min) HeLa cells. Fixation: 2% Formaldehyde for 20 min at RT. Primary Antibody: ARG20531 anti-BiP / GRP78 antibody at 1:100 for 12 hours at 4°C. Secondary Antibody: APC Goat anti-Rabbit (red) at 1:200 for 2 hours at RT. Counterstain: DAPI (blue) nuclear stain at 1:40000 for 2 hours at RT. Magnification: 20x. Left: DAPI (blue) nuclear stain. Middle: ARG20531 anti-BiP / GRP78 antibody. Right: Composite.
-
ARG20531 anti-BiP / GRP78 antibody WB image
Western blot: Rat brain, heart, kidney, liver, lung, pancreas, skeletal muscle, spleen, testes, thymus, H9C2 cell, Mouse NIH 3T3 and Pam212 cell lysates stained with ARG20531 anti-BiP / GRP78 antibody.
Customer's Feedback
Specific References

