ARG65683
anti-beta Actin antibody
anti-beta Actin antibody for IHC-Formalin-fixed paraffin-embedded sections,Western blot and Human,Mouse,Rabbit,Rat,Sheep
Controls and Markers antibody; Signaling Transduction antibody; Loading Control antibody; Cytochrome-C fractionation Study antibody; Inflammation Study antibody; Tag Internal Control antibody
Overview
| Product Description | Rabbit Polyclonal antibody recognizes beta Actin |
|---|---|
| Tested Reactivity | Hu, Ms, Rat, Rb, Sheep |
| Predict Reactivity | Chk, Mk, Xenopus |
| Tested Application | IHC-P, WB |
| Host | Rabbit |
| Clonality | Polyclonal |
| Isotype | IgG |
| Target Name | beta Actin |
| Antigen Species | Human |
| Immunogen | Recombinant Protein of Human beta Actin (NP_001092.1). |
| Conjugation | Un-conjugated |
| Alternate Names | PS1TP5BP1; BRWS1; Actin, cytoplasmic 1; Beta-actin |
Application Instructions
| Application Suggestion |
|
||||||
|---|---|---|---|---|---|---|---|
| Application Note | * The dilutions indicate recommended starting dilutions and the optimal dilutions or concentrations should be determined by the scientist. |
Properties
| Form | Liquid |
|---|---|
| Purification | Affinity purification with immunogen. |
| Buffer | PBS (pH 7.4), 0.02% Sodium azide and 50% Glycerol |
| Preservative | 0.02% Sodium azide |
| Stabilizer | 50% Glycerol |
| Concentration | 1 mg/ml |
| Storage Instruction | For continuous use, store undiluted antibody at 2-8°C for up to a week. For long-term storage, aliquot and store at -20°C. Storage in frost free freezers is not recommended. Avoid repeated freeze/thaw cycles. Suggest spin the vial prior to opening. The antibody solution should be gently mixed before use. |
| Note | For laboratory research only, not for drug, diagnostic or other use. |
Bioinformation
| Database Links | |
|---|---|
| Gene Symbol | ACTB |
| Gene Full Name | actin, beta |
| Background | Beta actin is one of six different actin proteins. Actins are highly conserved proteins that are involved in cell motility, structure, integrity, and intercellular signaling. The encoded protein is a major constituent of the contractile apparatus and one of the two nonmuscle cytoskeletal actins that are ubiquitously expressed. Mutations in this gene cause Baraitser-Winter syndrome 1, which is characterized by intellectual disability with a distinctive facial appearance in human patients. Numerous pseudogenes of this gene have been identified throughout the human genome. [provided by RefSeq, Aug 2017] |
| Function | Actin is a highly conserved protein that polymerizes to produce filaments that form cross-linked networks in the cytoplasm of cells (PubMed:29581253). Actin exists in both monomeric (G-actin) and polymeric (F-actin) forms, both forms playing key functions, such as cell motility and contraction (PubMed:29581253). In addition to their role in the cytoplasmic cytoskeleton, G- and F-actin also localize in the nucleus, and regulate gene transcription and motility and repair of damaged DNA (PubMed:29925947). [UniProt] |
| Highlight | Related Antibody Duos and Panels: ARG30258 Loading Controls for Whole Cell Lysate Antibody Panel ARG30323 Inflammation Antibody Panel Related products: beta Actin antibodies; beta Actin Duos / Panels; Anti-Rabbit IgG secondary antibodies; |
| Research Area | Controls and Markers antibody; Signaling Transduction antibody; Loading Control antibody; Cytochrome-C fractionation Study antibody; Inflammation Study antibody; Tag Internal Control antibody |
| Calculated MW | 42 kDa |
| PTM | ISGylated. Oxidation of Met-44 and Met-47 by MICALs (MICAL1, MICAL2 or MICAL3) to form methionine sulfoxide promotes actin filament depolymerization. MICAL1 and MICAL2 produce the (R)-S-oxide form. The (R)-S-oxide form is reverted by MSRB1 and MSRB2, which promote actin repolymerization (By similarity). Monomethylation at Lys-84 (K84me1) regulates actin-myosin interaction and actomyosin-dependent processes. Demethylation by ALKBH4 is required for maintaining actomyosin dynamics supporting normal cleavage furrow ingression during cytokinesis and cell migration. (Microbial infection) Monomeric actin is cross-linked by V.cholerae toxins RtxA and VgrG1 in case of infection: bacterial toxins mediate the cross-link between Lys-50 of one monomer and Glu-270 of another actin monomer, resulting in formation of highly toxic actin oligomers that cause cell rounding (PubMed:19015515). The toxin can be highly efficient at very low concentrations by acting on formin homology family proteins: toxic actin oligomers bind with high affinity to formins and adversely affect both nucleation and elongation abilities of formins, causing their potent inhibition in both profilin-dependent and independent manners (PubMed:26228148). |
Images (7) Click the Picture to Zoom In
-
ARG65683 anti-beta Actin antibody WB image
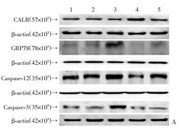
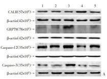
Western blot: Human hepatic stellate cell stained with ARG20531 anti-BiP / GRP78 antibody, ARG54938 anti-Caspase 3 antibody, ARG55123 anti-Calreticulin antibody, ARG55177 anti-Caspase 12 antibody, and ARG65683 anti-beta Actin antibody. Secondary Antibody stained with ARG65351 Goat anti-Rabbit IgG antibody (HRP).
From DAI Linyu et al. Journal of Third Military Medical University (2021), doi: 10-16016-j-1000-5404-202012010, Fig. 4.
-
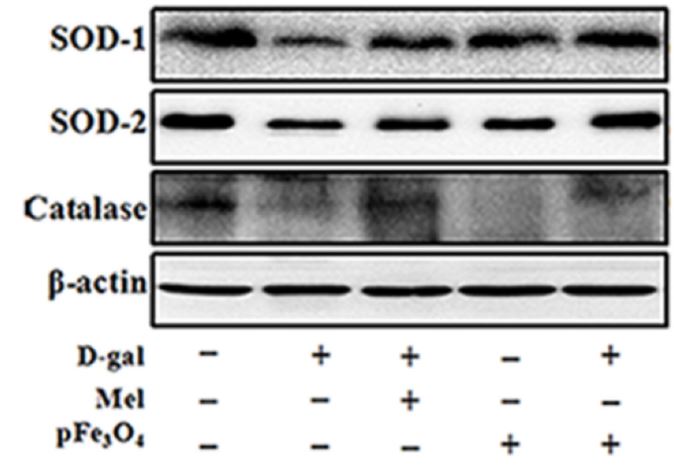
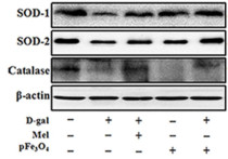
ARG65683 anti-beta Actin antibody WB image
Western blot: Mouse hippocampus stained with ARG22294 anti-SOD1 antibody , ARG54937 anti-SOD2 antibody and ARG65683 anti-beta Actin antibody.
From Zihao Xia et al. International Journal o f Molecular Sciences (2022), doi: 10.3390/ijms23126463, Fig. 6C.
-
ARG65683 anti-beta Actin antibody WB image
Western blot: C2C12 stained with ARG65683 anti-beta Actin antibody.
From Lin YH et al. Biomolecules (2021), doi: 10.3390/biom11111583, Fig. 1. C.
-
ARG65683 anti-beta Actin antibody WB image
Western blot: 20 µg of HeLa, Mouse brain and Rat brain lysates stained with ARG65683 anti-beta Actin antibody at 1:10000 dilution.
-
ARG65683 anti-beta Actin antibody WB image
Western blot: 30 µg of 293T lysate stained with ARG65683 anti-beta Actin antibody at 1:3000 dilution.
-
ARG65683 anti-beta Actin antibody WB image
Western blot: 30 µg of 1) Rat brain, and 2) Mouse liver lysate stained with ARG65683 anti-beta Actin antibody at 1:3000 dilution.
-
ARG65683 anti-beta Actin antibody IHC-P image
Immunohistochemistry: Human ovary tissue stained with ARG65683 anti-beta Actin antibody at 1:200 dilution.
Customer's Feedback
Specific References

