ARG54727
anti-mTOR antibody
anti-mTOR antibody for ICC/IF,IHC-Formalin-fixed paraffin-embedded sections,Western blot and Human
Cancer antibody; Cell Biology and Cellular Response antibody; Gene Regulation antibody; Metabolism antibody
2
Overview
| Product Description | Rabbit Polyclonal antibody recognizes mTOR |
|---|---|
| Tested Reactivity | Hu |
| Predict Reactivity | Ms, Rat |
| Tested Application | ICC/IF, IHC-P, WB |
| Host | Rabbit |
| Clonality | Polyclonal |
| Isotype | IgG |
| Target Name | mTOR |
| Antigen Species | Human |
| Immunogen | KLH-conjugated synthetic peptide corresponding to aa. 2459-2488 of Human mTOR (NP_004949.1). |
| Conjugation | Un-conjugated |
| Alternate Names | Mammalian target of rapamycin; RAFT1; Mechanistic target of rapamycin; Rapamycin target protein 1; FRAP1; FRAP2; Rapamycin and FKBP12 target 1; FK506-binding protein 12-rapamycin complex-associated protein 1; mTOR; RAPT1; FKBP12-rapamycin complex-associated protein; FRAP; Serine/threonine-protein kinase mTOR; EC 2.7.11.1 |
Application Instructions
| Application Suggestion |
|
||||||||
|---|---|---|---|---|---|---|---|---|---|
| Application Note | * The dilutions indicate recommended starting dilutions and the optimal dilutions or concentrations should be determined by the scientist. |
Properties
| Purification | Protein A purified |
|---|---|
| Buffer | PBS and 0.09% (W/V) Sodium azide |
| Preservative | 0.09% (W/V) Sodium azide |
| Storage Instruction | For continuous use, store undiluted antibody at 2-8°C for up to a week. For long-term storage, aliquot and store at -20°C or below. Storage in frost free freezers is not recommended. Avoid repeated freeze/thaw cycles. Suggest spin the vial prior to opening. The antibody solution should be gently mixed before use. |
| Note | For laboratory research only, not for drug, diagnostic or other use. |
Bioinformation
| Database Links |
Swiss-port # P42345 Human Serine/threonine-protein kinase mTOR |
|---|---|
| Gene Symbol | MTOR |
| Gene Full Name | mechanistic target of rapamycin (serine/threonine kinase) |
| Background | The protein encoded by this gene belongs to a family of phosphatidylinositol kinase-related kinases. These kinases mediate cellular responses to stresses such as DNA damage and nutrient deprivation. This protein acts as the target for the cell-cycle arrest and immunosuppressive effects of the FKBP12-rapamycin complex. The ANGPTL7 gene is located in an intron of this gene. [provided by RefSeq, Sep 2008] |
| Function | Serine/threonine protein kinase which is a central regulator of cellular metabolism, growth and survival in response to hormones, growth factors, nutrients, energy and stress signals. MTOR directly or indirectly regulates the phosphorylation of at least 800 proteins. [From Uniprot] |
| Cellular Localization | Endoplasmic reticulum membrane; Peripheral membrane protein; Cytoplasmic side. Golgi apparatus membrane; Peripheral membrane protein; Cytoplasmic side. Mitochondrion outer membrane; Peripheral membrane protein; Cytoplasmic side. Lysosome Cytoplasm. Nucleus, PML body Note=Shuttles between cytoplasm and nucleus. Accumulates in the nucleus in response to hypoxia (By similarity). Targeting to lysosomes depends on amino acid availability and RRAGA and RRAGB |
| Highlight | Related products: mTOR antibodies; mTOR Duos / Panels; Related news: Baking soda restores circadian clock in tumor cells |
| Research Area | Cancer antibody; Cell Biology and Cellular Response antibody; Gene Regulation antibody; Metabolism antibody |
| Calculated MW | 289 kDa |
| PTM | Autophosphorylates when part of mTORC1 or mTORC2. Phosphorylation at Ser-1261, Ser-2159 and Thr-2164 promotes autophosphorylation. Phosphorylation in the kinase domain modulates the interactions of MTOR with RPTOR and PRAS40 and leads to increased intrinsic mTORC1 kinase activity. Phosphorylation at Thr-2173 in the ATP-binding region by AKT1 strongly reduces kinase activity. |
Images (3) Click the Picture to Zoom In
-
ARG54727 anti-mTOR antibody WB image
Western blot: 30 µg of PC3 cell lysate stained with ARG54727 anti-mTOR antibody at 1:1000 dilution.
-
ARG54727 anti-mTOR antibody ICC/IF image
Immunofluorescence: HeLa cells stained with ARG54727 anti-mTOR antibody. DAPI (blue) for nuclear staining.
-
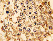
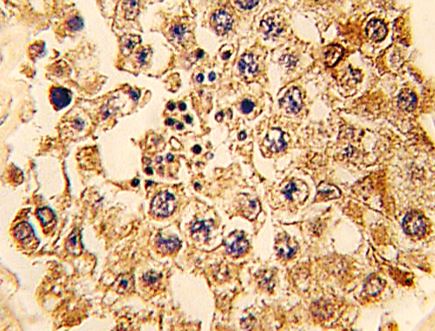
ARG54727 anti-mTOR antibody IHC-P image
Immunohistochemistry: Paraffin-embedded Human testis tissue stained with ARG54727 anti-mTOR antibody.
Customer's Feedback
Good
Average
