ARG30357
Ferroptosis Regulator Antibody Panel
Component
| Cat No | Component Name | Host clonality | Reactivity | Application | Package |
|---|---|---|---|---|---|
| ARG67302 | anti-ACSL4 / FACL4 antibody [2B03] | Rabbit mAb | Hu, Ms, Rat | WB, IHC-P | 20 μl |
| ARG41400 | anti-GPX4 antibody | Rabbit pAb | Hu, Ms, Rat | ICC/IF, IHC-P, WB | 20 μl |
| ARG41439 | anti-Ferritin Heavy Chain antibody | Rabbit pAb | Hu, Ms, Rat | ICC/IF, WB | 20 μl |
| ARG67303 | anti-CD71 / Transferrin Receptor antibody [3C05] | Rabbit mAb | Hu, Ms, Rat | IHC-P, WB | 20 μl |
Overview
| Product Description | Ferroptosis Regulator Antibody Panel is an all-in-one solution to make Ferroptosis Regulator research easy and economic. |
|---|---|
| Target Name | ACSL4 / GPX4 / FTH1 / TfR1 |
Properties
| Storage Instruction | For continuous use, store undiluted antibody at 2-8°C for up to a week. For long-term storage, aliquot and store at -20°C or below. Storage in frost free freezers is not recommended. Avoid repeated freeze/thaw cycles. Suggest spin the vial prior to opening. The antibody solution should be gently mixed before use. |
|---|---|
| Note | For laboratory research only, not for drug, diagnostic or other use. |
Bioinformation
| Gene Full Name | Antibody Panel for Ferroptosis Regulator |
|---|---|
| Highlight | Related Product: anti-ACSL4 / FACL4 antibody; anti-GPX4 antibody; anti-Ferritin Heavy Chain antibody; anti-CD71 / Transferrin Receptor antibody; |
Images (17) Click the Picture to Zoom In
-
ARG41400 anti-GPX4 antibody WB image
Western blot: CCL stained with ARG40635 anti-Nrf 2 antibody, ARG43341 anti-Heme Oxygenase 1 antibody and ARG41400 anti-GPX4 antibody.
From Mantione ME et al. Cell death & Disease (2024), doi: 10.1038/s41419-024-06602-z, Fig. S3. B.
-
ARG41400 anti-GPX4 antibody WB image
Western blot: GBC-SD cells stain with ARG57998 anti-SLC7A11 / xCT antibody, ARG43270 anti-CD98 antibody, ARG41400 anti-GPX4 antibody and ARG62346 anti-beta Actin antibody [BA3R].
From Desen Fan et al. Heliyon (2024), doi: 10.1016/j.heliyon.2024.e30260, Fig. 2. E.
-
ARG41439 anti-Ferritin antibody ICC/IF image
Immunofluorescence: Jurkat cells stained with ARG41439 anti-Ferritin antibody.
-
ARG41400 anti-GPX4 antibody WB image
Western blot: Mouse Testis stained with ARG41400 anti-GPX4 antibody at 1:1000 dilution.
From Lipeng Li et al. Ecotoxicol Environ Saf (2023), doi: 10.1016/j.ecoenv.2023.115309, Fig. 2F1.
-
ARG41400 anti-GPX4 antibody WB image
Western blot: 20 μg of Mouse testis and Rat testis lysates stained with ARG41400 anti-GPX4 antibody at 1:1000 dilution.
-
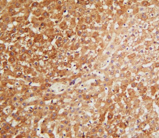
ARG67302 anti-ACSL4 / FACL4 antibody [2B03] IHC-P image
Immunohistochemistry: Human hepatocellular carcinoma stained with ARG67302 anti-ACSL4 / FACL4 antibody [2B03].
-
ARG67303 anti-CD71 / Transferrin Receptor antibody [3C05] IHC-P image
Immunohistochemistry: Human kidney stained with ARG67303 anti-CD71 / Transferrin Receptor antibody [3C05].
-
ARG67302 anti-ACSL4 / FACL4 antibody [2B03] WB image
Western blot: HeLa stained with ARG67302 anti-ACSL4 / FACL4 antibody [2B03].
-
ARG67303 anti-CD71 / Transferrin Receptor antibody [3C05] WB image
Western blot: Hela stained with ARG67303 anti-CD71 / Transferrin Receptor antibody [3C05].
-
ARG67302 anti-ACSL4 / FACL4 antibody [2B03] IHC-P image
Immunohistochemistry: Rat liver stained with ARG67302 anti-ACSL4 / FACL4 antibody [2B03].
-
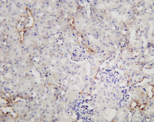
ARG67303 anti-CD71 / Transferrin Receptor antibody [3C05] IHC-P image
Immunohistochemistry: Rat kidney stained with ARG67303 anti-CD71 / Transferrin Receptor antibody [3C05].
-
ARG67302 anti-ACSL4 / FACL4 antibody [2B03] WB image
Western blot: C6 stained with ARG67302 anti-ACSL4 / FACL4 antibody [2B03].
-
ARG67303 anti-CD71 / Transferrin Receptor antibody [3C05] WB image
Western blot: PC-12 stained with ARG67303 anti-CD71 / Transferrin Receptor antibody [3C05].
-
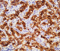
ARG67302 anti-ACSL4 / FACL4 antibody [2B03] IHC-P image
Immunohistochemistry: Mouse liver stained with ARG67302 anti-ACSL4 / FACL4 antibody [2B03].
-
ARG67303 anti-CD71 / Transferrin Receptor antibody [3C05] IHC-P image
Immunohistochemistry: Mouse kidney stained with ARG67303 anti-CD71 / Transferrin Receptor antibody [3C05].
-
ARG67302 anti-ACSL4 / FACL4 antibody [2B03] WB image
Western blot: 3T3-L1 stained with ARG67302 anti-ACSL4 / FACL4 antibody [2B03].
-
ARG67303 anti-CD71 / Transferrin Receptor antibody [3C05] WB image
Western blot: RAW264.7 stained with ARG67303 anti-CD71 / Transferrin Receptor antibody [3C05].

