ARG30343
GSDME-mediated Pyroptosis Antibody Panel
Component
| Cat No | Component Name | Host clonality | Reactivity | Application | Package |
|---|---|---|---|---|---|
| ARG42602 | anti-GSDME / DFNA5 antibody | Rabbit pAb | Hu | IP, WB | 20 µl |
| ARG54938 | anti-Caspase 3 antibody | Rabbit pAb | Hu, Ms, Rat | ICC/IF, IHC-P, IP, WB | 20 µl |
| ARG65863 | anti-HMGB1 antibody [SQab1711] | Mouse mAb | Hu, Ms, Rat | ELISA, FACS, ICC/IF, IHC-P, WB | 20 µg |
Overview
| Product Description | Related news: HMGB1, a biomarker and therapeutic target in COVID-19 AMPK signaling regulates NLRP3 inflammation and pyroptosis |
|---|---|
| Target Name | GSDME-mediated Pyroptosis |
Properties
| Storage Instruction | For continuous use, store undiluted antibody at 2-8°C for up to a week. For long-term storage, aliquot and store at -20°C or below. Storage in frost free freezers is not recommended. Avoid repeated freeze/thaw cycles. Suggest spin the vial prior to opening. The antibody solution should be gently mixed before use. |
|---|---|
| Note | For laboratory research only, not for drug, diagnostic or other use. |
Bioinformation
| Highlight | Related Product: anti-GSDME / DFNA5 antibody; anti-Caspase 3 antibody; anti-HMGB1 antibody; HMGB1 ELISA Kits; HMGB1 Duos / Panels; HMGB1 recombinant proteins; |
|---|
Images (19) Click the Picture to Zoom In
-
ARG54938 anti-Caspase 3 antibody IHC-Fr image
Immunohistochemistry: Frozen Mouse brain stained with ARG54938 anti-Caspase 3 antibody.
From Sabu A et al. Mater Today Bio. (2024), doi: 10.1016/j.mtbio.2024.101213, Fig. 7. C.
-
ARG65863 anti-HMGB1 antibody [SQab1711] WB image
Western blot: 20 µg of 22Rv1, DU145, Mouse liver and Rat liver lysates stained with ARG65863 anti-HMGB1 antibody [SQab1711] at 1:5000 dilution.
-
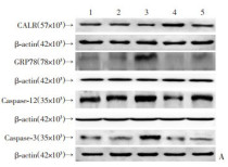
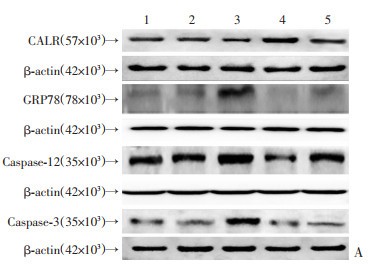
ARG54938 anti-Caspase 3 antibody WB image
Western blot: Human hepatic stellate cell stained with ARG20531 anti-BiP / GRP78 antibody, ARG54938 anti-Caspase 3 antibody, ARG55123 anti-Calreticulin antibody, ARG55177 anti-Caspase 12 antibody, and ARG65683 anti-beta Actin antibody. Secondary Antibody stained with ARG65351 Goat anti-Rabbit IgG antibody (HRP).
From DAI Linyu et al. Journal of Third Military Medical University (2021), doi: 10-16016-j-1000-5404-202012010, Fig. 4.
-
ARG65863 anti-HMGB1 antibody [SQab1711] ICC/IF image
Immunofluorescence: 293T cells stained with ARG65863 anti-HMGB1 antibody [SQab1711] at 5 μg/ml dilution.
-
ARG54938 anti-Caspase 3 antibody WB image
Western blot: B16 stained with ARG54938 anti-Caspase 3 antibody.
From Wang X et al. Oncology Letters- (2018), doi: 10.3892/ol.2018.8023, Fig. 7.
-
ARG65863 anti-HMGB1 antibody [SQab1711] FACS image
Flow Cytometry: HuH-7 cell and HuH-7 shHMGB1 cell stained with ARG65863 anti-HMGB1 antibody [SQab1711] at 1 µg/ml dilution.
-
ARG65863 anti-HMGB1 antibody [SQab1711] IHC-P image
Immunohistochemistry: Paraffin-embedded Human cervical cancer stained with ARG65863 anti-HMGB1 antibody [SQab1711] at 10 μg/ml dilution.
-
ARG65863 anti-HMGB1 antibody [SQab1711] WB image
Western blot: 50 µg of 1) HuH-7 and 2) HuH-7 shHMGB1 cell lysates stained with ARG65863 anti-HMGB1 antibody [SQab1711] at 1:5000 dilution.
-
ARG42602 anti-GSDME / DFNA5 antibody WB image
Western blot: HeLa cell lysate stained with ARG42602 anti-GSDME / DFNA5 antibody at 1:500 dilution.
-
ARG65863 anti-HMGB1 antibody [SQab1711] ELISA image
ELISA: ARG65863 anti-HMGB1 antibody [SQab1711] at 1:5000 were used for detecting HMGB1. 5 µg/ml of HMGB1, HMGB2 and BSA proteins were coated onto ELISA plate.
-
ARG54938 anti-Caspase 3 antibody WB image
Western blot: 20 µg of Mouse brain and Rat brain lysates stained with ARG54938 anti-Caspase 3 antibody at 1:250 dilution.
-
ARG54938 anti-Caspase 3 antibody ICC/IF image
Immunofluorescence: NIH/3T3 cells stained with ARG54938 anti-Caspase 3 antibody at 1:100 dilution. Blue: DAPI for nuclear staining.
-
ARG54938 anti-Caspase 3 antibody IHC-P image
Immunohistochemistry: Paraffin-embedded Human placenta stained with ARG54938 anti-Caspase 3 antibody at 1:100 dilution.
-
ARG54938 anti-Caspase 3 antibody WB image
Western blot: 20 µg of 293T, and HeLa cell lysates stained with ARG54938 anti-Caspase 3 antibody at 1:500 dilution.
-
ARG65863 anti-HMGB1 antibody [SQab1711] IHC-P image
Immunohistochemistry: Paraffin-embedded Mouse liver stained with ARG65863 anti-HMGB1 antibody [SQab1711] at 10 μg/ml dilution.
-
ARG65863 anti-HMGB1 antibody [SQab1711] IHC-P image
Immunohistochemistry: Paraffin-embedded Mouse kidney stained with ARG65863 anti-HMGB1 antibody [SQab1711] at 10 μg/ml dilution.
-
ARG65863 anti-HMGB1 antibody [SQab1711] IHC-P image
Immunohistochemistry: Paraffin-embedded Rat liver stained with ARG65863 anti-HMGB1 antibody [SQab1711] at 10 μg/ml dilution.
-
ARG65863 anti-HMGB1 antibody [SQab1711] WB image
Western blot: 1) 50 ng of HMGB1 (Purified from E. coli) and 2) 100 ng of HMGB2 (Purified from E.coli) stained with ARG65863 anti-HMGB1 antibody [SQab1711] at 1:5000 dilution.
-
ARG65863 anti-HMGB1 antibody [SQab1711] WB image
Western blot: 20 µg of 1) Mouse spleen and 2) Rat spleen lysates stained with ARG65863 anti-HMGB1 antibody [SQab1711] at 1:5000 dilution.
Specific References

