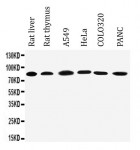
Home Primary Antibodies Search Result - Primary Antibodies There are 22537 results Primary Antibodies 18062 Secondary Antibodies 764 Isotype Controls 213 Antibody Duos and Panels 177 Reagents 544 Kits 2750 Multiplex 27 anti-Elastin antibody Cat. No: ARG24018 (Rabbit pAb) Reactivity: Ms, Rat Application: ELISA, ICC/IF, IHC-P, WB Specificity: Cross-reactivity with Mouse elastin. Conjugation: Un-conjugated anti-Elastin antibody Cat. No: ARG24028 (Rabbit pAb) Reactivity: Pig, Bov Application: ELISA, ICC/IF, IHC-P, WB Specificity: Cross-reactivity with Bovine elastin. Conjugation: Un-conjugated anti-CD15 antibody Cat. No: ARG42488 (Mouse mAb) Reactivity: Hu, Rat Application: IHC-P Conjugation: Un-conjugated anti-PKC beta II antibody Cat. No: ARG42550 (Rabbit pAb) Reactivity: Hu, Ms Application: IHC-P, WB Conjugation: Un-conjugated anti-CD2 antibody Cat. No: ARG42532 (Goat pAb) Reactivity: Hu, Ms, Rat, Dog, Mk Application: WB Conjugation: Un-conjugated anti-NPY1R antibody Cat. No: ARG42537 (Goat pAb) Reactivity: Hu, Ms, Rat, Dog, Mk Application: WB Conjugation: Un-conjugated anti-PDIA6 antibody Cat. No: ARG42546 (Goat pAb) Reactivity: Hu, Ms, Rat, Dog, Mk Application: WB Conjugation: Un-conjugated anti-RAB20 antibody Cat. No: ARG42520 (Goat pAb) Reactivity: Hu, Ms, Rat, Dog, Mk Application: WB Conjugation: Un-conjugated anti-RAB31 antibody Cat. No: ARG42527 (Goat pAb) Reactivity: Hu, Ms, Rat, Dog, Mk Application: WB Conjugation: Un-conjugated anti-RAB38 antibody Cat. No: ARG42533 (Goat pAb) Reactivity: Hu, Ms, Rat, Dog, Mk Application: WB Conjugation: Un-conjugated First Previous 932933934935936937938939940941942 Next Last