ARG54674
anti-CXCR4 antibody
anti-CXCR4 antibody for ELISA,Flow cytometry,ICC/IF,IHC-Formalin-fixed paraffin-embedded sections,IHC-Frozen sections,Immunoprecipitation,Western blot and Human,Mouse
Cancer antibody; Developmental Biology antibody; Immune System antibody; Metabolism antibody; Microbiology and Infectious Disease antibody; Neuroscience antibody
Overview
| Product Description | Rabbit Polyclonal antibody recognizes CXCR4 |
|---|---|
| Tested Reactivity | Hu, Ms |
| Tested Application | ELISA, FACS, ICC/IF, IHC-Fr, IHC-P, IP, WB |
| Specificity | CXCR4 Antibody is predicted to not cross-react with other CXCR familiy members. |
| Host | Rabbit |
| Clonality | Polyclonal |
| Isotype | IgG |
| Target Name | CXCR4 |
| Immunogen | Synthetic peptide (14 aa) within the first 50 aa of Human CXCR4. |
| Conjugation | Un-conjugated |
| Alternate Names | Lipopolysaccharide-associated protein 3; LAP-3; LAP3; Stromal cell-derived factor 1 receptor; Leukocyte-derived seven transmembrane domain receptor; WHIMS; NPY3R; SDF-1 receptor; Fusin; LPS-associated protein 3; HM89; HSY3RR; FB22; NPYR; CD antigen CD184; LCR1; NPYY3R; WHIM; D2S201E; C-X-C chemokine receptor type 4; LESTR; CXC-R4; CD184; NPYRL; CXCR-4 |
Application Instructions
| Application Suggestion |
|
||||||||||||||||
|---|---|---|---|---|---|---|---|---|---|---|---|---|---|---|---|---|---|
| Application Note | * The dilutions indicate recommended starting dilutions and the optimal dilutions or concentrations should be determined by the scientist. | ||||||||||||||||
| Positive Control | HeLa Cell Lysate |
Properties
| Form | Liquid |
|---|---|
| Purification | Affinity purification with immunogen. |
| Buffer | PBS and 0.02% Sodium azide |
| Preservative | 0.02% Sodium azide |
| Concentration | 1 mg/ml |
| Storage Instruction | For continuous use, store undiluted antibody at 2-8°C for up to a week. For long-term storage, aliquot and store at -20°C or below. Storage in frost free freezers is not recommended. Avoid repeated freeze/thaw cycles. Suggest spin the vial prior to opening. The antibody solution should be gently mixed before use. |
| Note | For laboratory research only, not for drug, diagnostic or other use. |
Bioinformation
| Database Links | |
|---|---|
| Gene Symbol | CXCR4 |
| Gene Full Name | chemokine (C-X-C motif) receptor 4 |
| Background | CXCR4 Antibody: Human immunodeficiency virus (HIV) and related viruses require coreceptors, in addition to CD4, to infect target cells. Some G protein-coupled receptors including CCR5, CXCR4, CCR3, CCR2b and CCR8 in the chemokine receptor family, and four new human molecules GPR15, STRL33, GPR1 and V28 were recently identified as HIV coreceptors. Among them, CXCR4 (fusin, LESTR or HUMSTR) is a principal coreceptor for T-cell tropic strains of HIV-1 fusion and entry of human white blood cells. CXCR4 is also required for the infection by dual-tropic strains of HIV-1 and mediates CD-4 independent infection by HIV-2. The a-chemokine SDF-1 is the ligand for CXCR4 and prevents infection by T-tropic HIV-1. CXCR4 associates with the surface CD4-gp120 complex before HIV enters target cells. CXCR4 messenger RNA levels correlated with HIV-1 permissiveness in diverse human cell types. Antibodies to CXCR4 block HIV-1 and HIV-2 fusion and infection of human target cells. The amino-terminal domain and the second extracellular loop of CXCR4 serve as HIV binding sites. | |
| Research Area | Cancer antibody; Developmental Biology antibody; Immune System antibody; Metabolism antibody; Microbiology and Infectious Disease antibody; Neuroscience antibody |
| Calculated MW | 40 kDa |
| PTM | Phosphorylated on agonist stimulation. Rapidly phosphorylated on serine and threonine residues in the C-terminal. Phosphorylation at Ser-324 and Ser-325 leads to recruitment of ITCH, ubiquitination and protein degradation. Ubiquitinated by ITCH at the cell membrane on agonist stimulation. The ubiquitin-dependent mechanism, endosomal sorting complex required for transport (ESCRT), then targets CXCR4 for lysosomal degradation. This process is dependent also on prior Ser-/Thr-phosphorylation in the C-terminal of CXCR4. Also binding of ARRB1 to STAM negatively regulates CXCR4 sorting to lysosomes though modulating ubiquitination of SFR5S. Sulfation on Tyr-21 is required for efficient binding of CXCL12/SDF-1alpha and promotes its dimerization. Tyr-7 and Tyr-12 are sulfated in a sequential manner after Tyr-21 is almost fully sulfated, with the binding affinity for CXCL12/SDF-1alpha increasing with the number of sulfotyrosines present. Sulfotyrosines Tyr-7 and Tyr-12 occupy clefts on opposing CXCL12 subunits, thus bridging the CXCL12 dimer interface and promoting CXCL12 dimerization. O- and N-glycosylated. Asn-11 is the principal site of N-glycosylation. There appears to be very little or no glycosylation on Asn-176. N-glycosylation masks coreceptor function in both X4 and R5 laboratory-adapted and primary HIV-1 strains through inhibiting interaction with their Env glycoproteins. The O-glycosylation chondroitin sulfate attachment does not affect interaction with CXCL12/SDF-1alpha nor its coreceptor activity. |
Images (5) Click the Picture to Zoom In
-
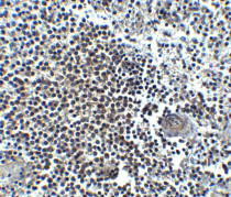
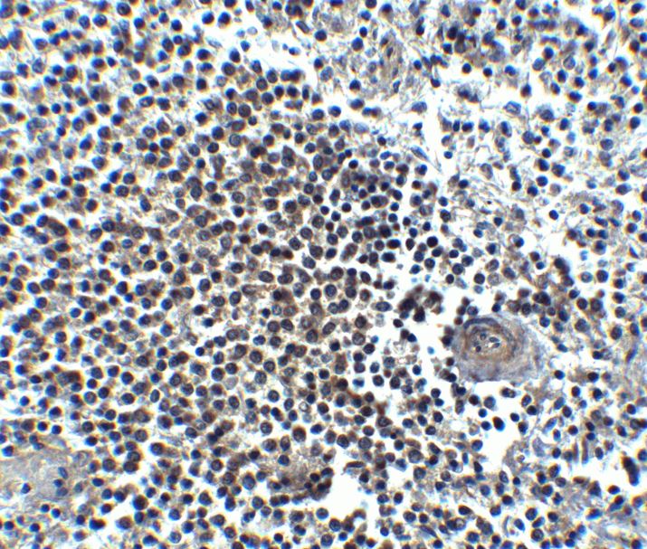
ARG54674 anti-CXCR4 antibody IHC-P image
Immunohistochemistry: human spleen stained with ARG54674 anti-CXCR4 antibody at 5 μg/ml dilution.
-
ARG54674 anti-CXCR4 antibody WB image
Western blot: Mouse intestine stained with ARG21502 anti-IFN gamma antibody [XMG1.2], ARG56667 anti-IL1 alpha antibody, ARG56625 anti-IL6 antibody, ARG55256 anti-IL17 / IL17A antibody, ARG10158 anti-TNF alpha antibody [2C8], ARG21475 anti-IL10 antibody [JES5-2A5], ARG10002 anti-TGF beta antibody [TB21], ARG54674 anti-CXCR4 antibody and ARG54150 anti-STAT3 antibody.
From Yu H et al. Front Microbiol. (2023), doi: 10.3389/fmicb.2023.1126808, Fig. 4. B.
-
ARG54674 anti-CXCR4 antibody ICC/IF image
Immunocytochemistry: HeLa cells stained with ARG54674 anti-CXCR4 antibody at 2 μg/ml.
-
ARG54674 anti-CXCR4 antibody ICC/IF image
Immunofluorescence: HeLa cells stained with ARG54674 anti-CXCR4 antibody at 20 μg/ml.
-
ARG54674 anti-CXCR4 antibody WB image
Western blot: HeLa whole cell lysate stained with ARG54674 anti-CXCR4 antibody at 0.5 μg/ml.
Customer's Feedback

