Search Result - Primary Antibodies

  • anti-CD11b antibody [M1/70] (Functional Grade)
  • Cat. No: ARG62718  (Rat mAb)
  • Reactivity: Hu, Ms, NHuPrm, Rb
  • Application: FACS, IHC-Fr, IP, FuncSt, CyTOF®-candidate
  • Specificity: The clone M1/70 detects CD11b (integrin alphaM subunit), a type I transmembrane protein mainly expressed on monocytes/macrophages, granulocytes and NK-cells, which associates with CD18 to form Mac-1 integrin that plays important role in cell-cell interactions.
  • Conjugation: Un-conjugated
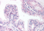
  • anti-CD38 antibody [HIT2]
  • Cat. No: ARG62829  (Mouse mAb)
  • Reactivity: Hu
  • Application: FACS, IHC-Fr, IHC-P, WB, CyTOF®-candidate
  • Specificity: The clone HIT2 reacts with CD38 (T10), a 45 kDa type II transmembrane glycoprotein strongly expressed mainly on plasma cells and activated T and B lymphocytes; it is an antigenic marker of lymphoid cells.
    HLDA III; WS Code T 155
  • Conjugation: Un-conjugated
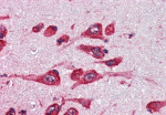
  • anti-Cytokeratin 8 antibody [C-43]
  • Cat. No: ARG62983  (Mouse mAb)
  • Reactivity: Hu, Pig, Rb, Sheep, Bov
  • Application: ICC/IF, IHC-P, IP, WB
  • Specificity: The clone C-43 reacts with Cytokeratin 8 (52.5 kDa). Cytokeratins are a member of intermediate filaments subfamily represented in epithelial tissues.
  • Conjugation: Un-conjugated
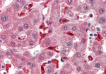
  • anti-Transferrin antibody [HTF-14]
  • Cat. No: ARG63114  (Mouse mAb)
  • Reactivity: Hu, Pig, Rb
  • Application: ELISA, ICC/IF, IHC-P, RIA, WB, FuncSt
  • Specificity: The clone HTF-14 recognizes an epitope located in the N-terminal domain of human serum transferrin, a 77 kDa single polypeptide chain glycoprotein (member of the iron binding family of proteins). It is synthesised in the liver and consists of two domains each having a high affinity reversible binding site for Fe3+.
  • Conjugation: Un-conjugated
  • anti-MAX antibody
  • Cat. No: ARG63125  (Goat pAb)
  • Reactivity: Hu
  • Application: ICC/IF, IHC-P, WB
  • Specificity: This antibody is expected to recognize both reported isoforms (NP_002373.3; NP_660087.1).
  • Conjugation: Un-conjugated
  • anti-TRIM28 / KAP1 antibody
  • Cat. No: ARG63250  (Goat pAb)
  • Reactivity: Hu
  • Application: FACS, ICC/IF, IHC-P
  • Conjugation: Un-conjugated
  • anti-UBE2C / UBCH10 antibody
  • Cat. No: ARG63258  (Goat pAb)
  • Reactivity: Hu
  • Application: FACS, ICC/IF, IP, WB
  • Specificity: This antibody is expected to recognise all reported isoforms. Variants NP_861517.1 and NP_861518.1 encode the same isoform.
  • Conjugation: Un-conjugated
  • anti-CBR1 antibody
  • Cat. No: ARG63277  (Goat pAb)
  • Reactivity: Hu
  • Application: ICC/IF, IHC-P, WB
  • Conjugation: Un-conjugated
  • anti-SSP29 / ANP32B antibody
  • Cat. No: ARG63289  (Goat pAb)
  • Reactivity: Hu, Ms, Rat, Pig
  • Application: IHC-P, WB
  • Specificity: This antibody does NOT recognize theTNF family member also known as APRIL - Gene ID number 8741. However this antibody may cross-react with ANP32A (GeneID 8125).
  • Conjugation: Un-conjugated