Oligodendrocyte markers

Oligodendrocyte markers


Oligodendrocytes, a type of glial cell found in the central nervous system, function to produce the myelin sheath insulating neuronal axons. Oligodendrocytes are critical for myelin regeneration following injury including in the most common demyelinating disease multiple sclerosis (MS). Studying the differentiation, cell death and myelination of oligodendrocyte is helpful to develop new treatment strategies for demyelinating diseases. arigo offers quality antibodies to facilitate the research of oligodendrocytes.

 

SOX10 antibody [SQab1734] (ARG66245)

NG2 antibody (ARG59471)

 

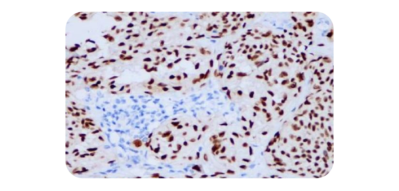
Olig2 antibody (ARG52380)

CNPase antibody (ARG52249)

 

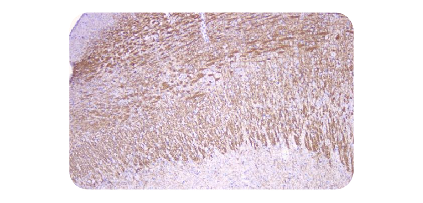
MBP antibody [7D2] (ARG10722)

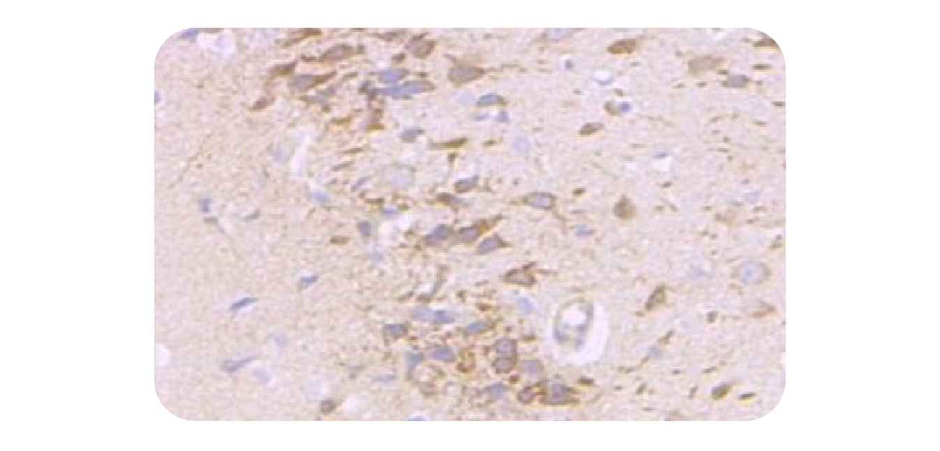
MOG antibody (ARG41772)


 

Fluorescent protein antibodies

GFP antibody (ARG55727)
Goat pAb

Good for ICC/IF, IHC-Fr, IHC-P, WB

RFP antibody (ARG55744)
Goat pAb

Good for ICC/IF, IHC-Fr, IHC-P, WB

 

tdTomato antibody (ARG55724)
Goat pAb

Good for ICC/IF, IHC-Fr, IHC-P, WB

mCherry antibody (ARG55723)
Goat pAb

Good for ICC/IF, IHC-Fr, IHC-P, WB